Fachbeitrag
Grundlagen & Forschung
03.05.22
Test it
Zwei Aufstellkonzepte mit einer Zahnlinie
Thomas Bliefernicht
Gysi und Gerber – diese beiden Namen begleiten uns in der Ausbildung zum Zahntechniker quasi vom ersten Tag bis zur Prüfung. Schließlich haben die beiden die Aufstellmethoden für die Totalprothetik nicht nur entwickelt, sondern auch entscheidend geprägt. Alle Zahntechniker, die ich nach Okklusionskonzepten befragt habe, antworteten mir: Gysi: Zahn-zu-zwei-Zahn, Gerber: Zahn-zu-Zahn Beziehung. Eigentlich ganz einfach zu merken. Ich habe die letzten Wochen genutzt, um mich mit den gängigsten Okklusionskonzepten intensiv zu beschäftigen und Zähne nach den beiden Prinzipien aufzustellen. Verwendet habe ich dafür die Zahnlinie Polystar Selection life von der Firma Merz Dental. Bei dieser Zahnlinie gibt es eine große Auswahl an Frontzahnformen, aber – und das ist das Besondere: Zwei Seitenzahnformen, den Polystar Selection life Seitenzahn als Zahn-zu-Zahn-Aufstellung und den Polystar Selection 2 life Seitenzahn mit klassischer Zahn-zu-Zwei-Zahn-Aufstellung. Beide Seitenzähne können mit den gleichen Frontzähnen Polystar Selection life aufgestellt werden, das war eine ideale Voraussetzung für meine Aufgabe.
Sicher gibt es Konfektionszähne, die nach den beiden Aufstellmethoden also Zahn-zu-Zahn und Zahn-zu-zwei-Zahn aufgestellt werden können. Allerdings muss man da genau wissen, wie das zu bewerkstelligen ist. In den meisten Fällen muss dann schon bei der Aufstellung in der Okklusion eingeschliffen werden, um die gewünschten Kontakte in der Verzahnung zu bekommen. Das ist nicht ganz einfach und dauert viel länger. Einfacher ist es, wenn man vorher weiß, was man will und dafür die entsprechenden Zähne verwendet.
Meine Ergebnisse
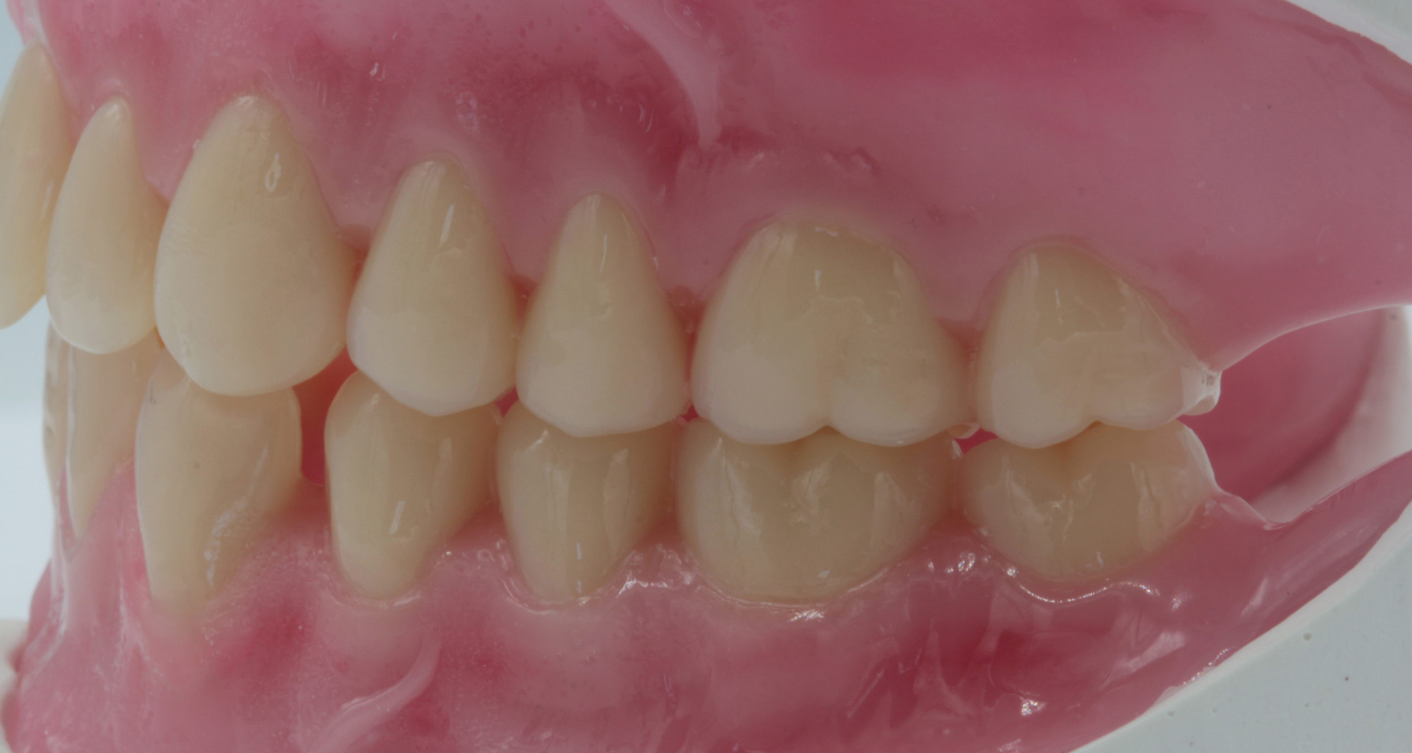
Die Zahn-zu-zwei-Zahn Beziehung ist sehr gut erkennbar, sie folgt dem klassischen Aufstellkonzept und ist nach wie vor sehr populär bei Zahntechnikern (Abb. 01).
Beim Polystar Selection life ist die Zahn-zu-Zahn Beziehung nicht so deutlich zu erkennen (Abb. 02), da die Zähne eine Besonderheit aufweisen. Die Okklusionskontakte sind in Zahn-zu-Zahn Beziehung, aber betrachtet man diese von bukkal, sieht die Aufstellung wie bei einer Zahn-zu-zwei-Zahn Beziehung aus. Dadurch erscheint es eher wie eine geschlossene Verzahnung und wird als Zahn-zu-zwei-Zahn Aufstellung wahrgenommen.
Dem natürlichen Vorbild entsprechen
In der Berufsschule haben wir gelernt, dass die Wachsmodellation für eine Totalprothese unbedingt dem natürlichen Vorbild entsprechen sollte. Dabei ist es unerlässlich, auf die Muskelgriffigkeit zu achten. Bevor es an eine tolle Ausgestaltung des Lippenschildes geht, muss sichergestellt werden, dass die Prothese von der Mundmuskulatur angenommen und adaptiert wird. Ist das nicht gewährleistet und die Modellation entspricht dem nicht, kann es vorkommen, dass die Prothese durch die falsche Ausformung herausgehebelt wird.
Da ich zwei Aufstellungen gemacht habe, probierte ich auch zwei verschiedene Arten der Modellation aus.
Bei der Zahn-zu-Zahn Variante habe ich eine einfache Art der Modellation gewählt, so wie sie in unserem Labor Standard ist (Abb. 03 & 04). Schon eine einfache Modellation der marginalen Gingiva zeigt, wie gut sich durch die Form der Zähne ein natürlicher Übergang zwischen roter und weißer Ästhetik darstellen lässt.
Wichtig ist dabei die Gestaltung der Interdentalräume (Abb. 05 & 06). Einerseits sollen die Zähne so natürlich wie möglich aussehen, zum anderen müssen sie eine gute Reinigung für die häusliche Mundpflege des Patienten gewährleisten. Denn durch das häufig nicht mehr vorhandene taktile Gespür der Patienten, merken sie nicht, ob sich im Laufe des Tages Speisereste in den Interdentalräumen absetzen. Bei falscher Gestaltung lassen sich, auch beim Ausarbeiten, diese Bereiche dann schlecht versäubern und polieren. Um das einfacher und effektiver zu machen, wird in unserem Labor ein leicht zurückgegangenes Zahnfleisch modelliert.
Das kommt dem Erscheinungsbild der Patientenklientel „Best Ager“ näher und gewährleistet eine gute Reinigung (Abb. 07).
Gysi ist gefragt
Für die Aufstellung nach Gysi in einer Zahn-zu-Zwei-Zahn Aufstellung habe ich dann den Polystar Selection 2 life verwendet. Der Zahn ist derart gestaltet, dass die Zähne so ineinandergreifen, dass die Kontakte automatisch die Zahn-zu-zwei-Zahn Beziehung finden. Mit etwas Übung ist das recht einfach zu erreichen. Vor allem, weil dieser Seitenzahn ausgeprägte Höcker hat, die Fissuren zwar sehr in die Tiefe gehen, aber die Höckergradneigung bei moderaten 15-20° liegt. Damit ist er ein klassischer halbanatomischer Seitenzahn.
Warum gehen die Fissuren in die Tiefe?
Für die Patienten bietet das den besten Kaukomfort. Mit wenig Kaudruck durch die ausgeprägten Höcker kann die Speise gut zerkleinert werden und die Fissuren lassen den Speisebrei gut abfließen. Ein Zerquetschen der Nahrung wird so verhindert, durch die moderate Höckergradneigung kann die Kaukraft effektiver eingesetzt werden.
Da die Aufstellung im Großen und Ganzen sehr einfach und schnell ging, habe ich mich dazu entschieden, die Unterkieferfront in einer sogenannten Flügelstellung aufzustellen (Abb. 08). Bei einer verschachtelten Aufstellung der Zähne ist bei der Zahnfleischmodellation die Zahnachse ungeheuer wichtig. Denn folgt die marginale Gingiva nicht der Zahnachse, wirkt die Ästhetik falsch und sieht nicht ansprechend aus.
Weniger ist mehr: Die Übergänge vom Zahn zur marginalen Gingiva sind in den meisten Fällen sehr sanft und mit wenig ausgeprägtem Zahnfleisch versehen. Von der Seite betrachtet, ist so von der labialen Fläche der oberen Frontzähne bis zur Lachlinie eine konvexe Ausformung des Lippenschildes anzustreben (Abb. 09).
So trägt die Lippe nicht so stark auf und die Prothesenbasis wird nicht zu dick in Richtung der Umschlagfalte.
Ganz bewusst wollte ich bei der Modellation auch hier eine Variante für das ältere Patientenklientel „Best Ager“ erarbeiten (Abb. 10 & 11). Dabei habe ich ein leicht zurückgegangenes Zahnfleisch mit einigen Putzanomalien hineinmodelliert. Der Polystar Selection 2 life ist mit einem Krümmungsmerkmal (Abb. 12) ausgestattet, das muss beim Aufstellen der Seitenzähne unbedingt berücksichtigt werden.
Während des Ausmodellierens entdeckte ich die eigentliche Faszination. Sie liegt in der Kombination der dezenten und facettenreichen Schichtung des Konfektionszahns und dessen individueller Aufstellung (Abb. 13).
Hier brilliert die Modellation mit leicht zurückgegangenem Zahnfleisch und der einzigartigen Formensprache, gekoppelt mit der neuen Farbe und Schichtung. Im Durchlicht ist dann auch die hohe Transluzenz der Schneide zu erkennen, die mir als Zahntechniker viel Reserve beim Einschleifen der Bewegungen ermöglicht (Abb. 14).
Zum Schluss zeige ich beide Unterkiefer-Aufstellungen nebeneinander (Abb. 15 & 16), um die Unterschiede zu verdeutlichen. Bei gleicher Ausgangssituation sieht jede Prothese individuell und einzigartig aus. Auch im Unterkiefer ist bei der Modellation des Lippenschildes wichtig, konsequent konvex zu arbeiten.
Mein Fazit
Es bedarf einer großen Disziplin, die genau vorgegebenen Arbeitsschritte bei den beiden Aufstellmethoden einzuhalten. Entscheidend ist die Grundlage, die der Zahnarzt uns liefert und dann nach seinen Wünschen die Totalprothese zu erstellen. Mit dem Polystar Selection life Zahn konnte ich sehr gut arbeiten. Es ist ein halbanatomischer Allrounderzahn, der sehr lebendig wirkt und irgendwie mit Brillanz strahlt. Deshalb wohl auch der Zusatz beim Produktnamen „life“.
Ich wünsche Euch allen viel Spaß mit den Aufstellmethoden nach Gysi und Gerber und hoffe, dass Ihr einige Erkenntnisse aus meinem Beitrag gewinnen konntet.
Euer Thomas
Advertorial
Erweitertes Portfolio mit Hybrid-Workflow
CADdent hat seine Fertigungsverfahren um die hochpräzise HYBRID-Fertigung ergänzt. Diese innovative Fertigungsmethode vereint die Vorteile des LaserMelting-Verfahrens mit der CNC-Technik, und ist somit ideal für teleskopierende sowie okklusal direkt verschraubte Arbeiten geeignet. Besonderes Augenmerk liegt bei der inhouse Weiterentwicklung des Fertigungsverfahren auf der Präzision, so kann CADdent nun eine durchgängige Vestibulärfläche mit einer Dicke von nur 0,4 - 0,5 mm realisieren. Zudem ist CADdent das einzige Fertigungszentrum in Deutschland, das die Bearbeitung von Titan im Hybrid-Verfahren anbietet.
Premium
Heftarchiv
Abonnenten mit einem Login auf unserer Website erhalten Zugriff auf unseren stetig wachsenden Pool ganzer Ausgaben der dental dialogue.
Fortbildung
Hochwertige Fortbildung
Auf www.teamwork-campus.de finden Sie Anmeldemöglichkeiten zu aktuellen Fortbildungen.
Bookshop
Fachbücher bestellen
Sie finden unser gesamtes Angebot an Fachbüchern für Zahntechnik und Zahnmedizin im Online-Shop.
Fachbeitrag
Weitere Beiträge zum Thema
Fachbeitrag
Grundlagen & Forschung
16.07.25
Neue Wege für eine präzisere Diagnostik und Therapie
Eine suffiziente Okklusion zählt zu den elementaren Aufgaben in der zahnmedizinischen Diagnostik und Therapie. Beim Blick auf die Okklusion müssen ...
Bericht
Grundlagen & Forschung
27.06.24
Ausblick auf die Zahnheilkunde im März 2025
Die Akteure in der Zahnheilkunde sind gut trainiert darauf, Impulse aus verschiedensten Gebieten aufzunehmen. Die Potenziale Künstlicher Intelligenz und nachhaltiger ...















