Fachbeitrag
Funktion
23.03.22
Team-Challenge
Vollkeramische Full-Mouth-Rehabilitation mit Korrektur eines Kreuzbisses
Adhäsivtechnik, Behandlungsregime, Bisshebung, Dysgnathie, Einzelkronen, Funktion, Kieferregistrierung, Presskeramik
Was tun, wenn es infolge einer Dysgnathie zur Fehlbelastung des Kiefergelenks und einer soliden CMD kommt, die Patientin eine kieferorthopädische Behandlung aber ablehnt? Das Autorenteam zeigt in diesem Artikel einen prothetischen Behandlungsweg, mit dem sich ein Fehlbiss prothetisch umwandeln lässt. Die Voraussetzung dafür sind eine enge, interdisziplinäre Zusammenarbeit, eine dezidierte Machbarkeitsanalyse und Planung sowie ein umfangreiches und strukturiertes Behandlungsregime.
Vorwort
Nachfolgend wird die komplexe, vollkeramische Sanierung eines Ober- und Unterkiefers beschrieben. Die Herausforderung bestand darin, den vertikal verlorenen Biss anzuheben und den vorhandenen Kreuzbiss ohne weitere kieferorthopädische Maßnahme umzustellen. Für die prothetisch-restaurative Rehabilitation fiel die Materialwahl auf Lithiumdisilikat-Glaskeramik und ein adhäsives Befestigungsprotokoll. Bei Fällen wie diesen ist eine perfekt abgestimmte Planung und Zusammenarbeit zwischen Zahnarzt und Zahntechniker selbstverständlich und Grundvoraussetzung für ein optimales Therapieergebnis. Aufgrund einer dezidierten, optimalen diagnostischen Planung vonseiten des Zahnarztes und Zahntechnikers konnten kieferorthopädische Maßnahmen vermieden und die Bissverhältnisse ausschließlich prothetisch verändert werden. Im Verlauf des Artikels wird anhand der Planungs- und Arbeitsschritte gezeigt, dass auf der Grundlage eines umfangreichen und strukturierten Behandlungsregimes mit einem funktionell und ästhetisch guten Ergebnis zu rechnen ist.
Anamnese und Planung
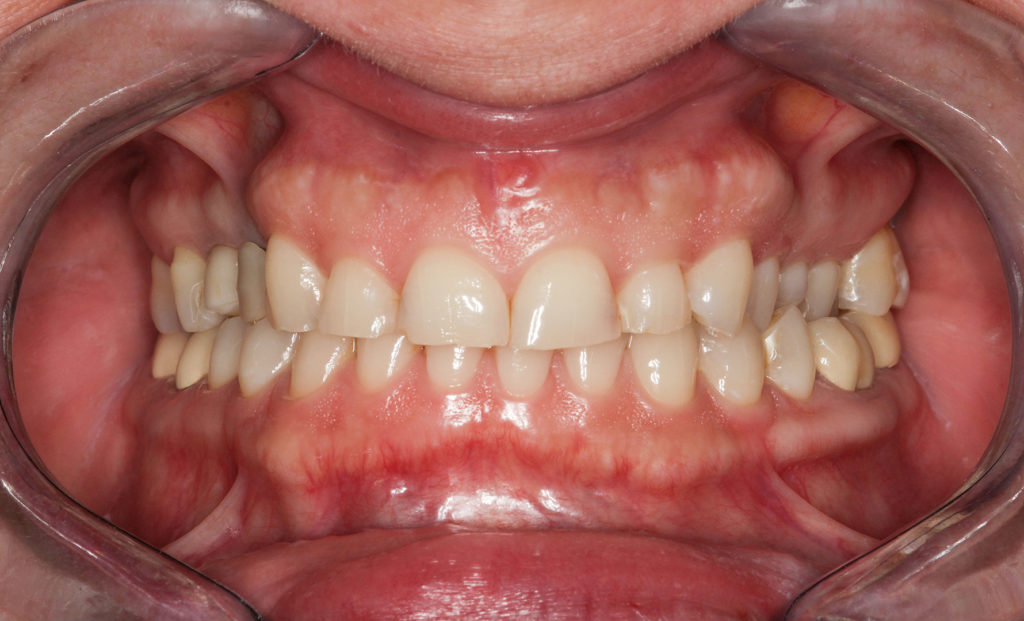
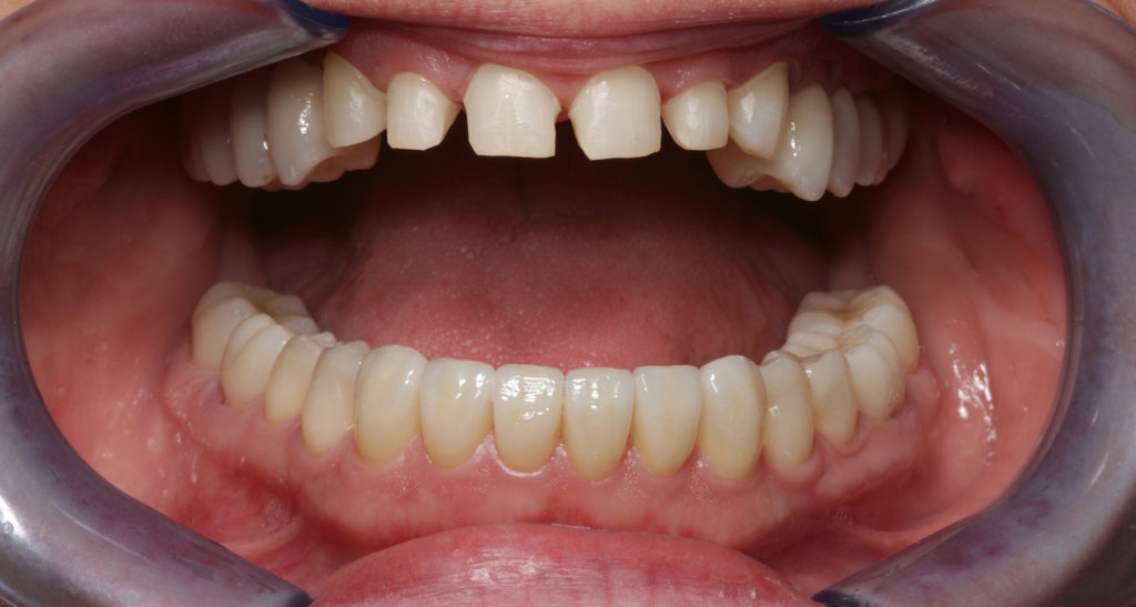
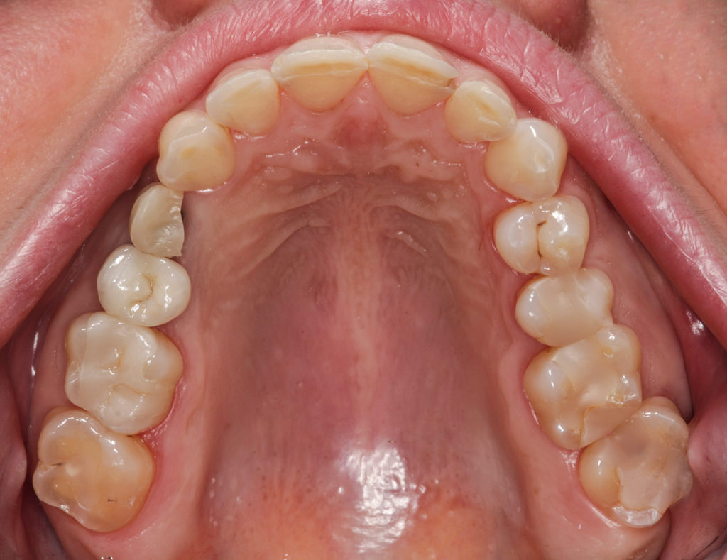
Die 40-jährige Patientin ist seit vielen Jahren in der Praxis für Zahnheilkunde Thorn Zahnmedizin, Frankfurt am Main, in Behandlung. Die Patientin leidet an einer ausgeprägten CMD-Problematik und weist eine fehlende Front-Eckzahnführung und eine Kreuzbisssituation auf. Es frakturierten Zähne, Kronen und Füllungen. Infolge der Abrasionen im Oberkieferfrontzahnbereich entstanden inzisal zunehmend ästhetische Probleme, die die Patienten zur Therapie bewegten. Die Patientin wurde über Jahre mit einer Funktionsschiene behandelt. Zuletzt zeigten sich Zahnhartsubstanzdefekte mit großflächiger Exposition von Dentin, eine Hypertrophie der Musculi masseter sowie Frakturen an vorhandenen Restaurationen. Die vorliegende Situation des Abrasionsgebisses mit Vertikalverlust (Abb. 1a bis e) sollte daher nun definitiv versorgt werden.
Das priorisierte Ziel war die Reetablierung einer Front-Eckzahnführung in neuer, therapeutischer Bisslage, um einen physiologischen Idealzustand zu etablieren. Ein weiteres Behandlungsziel war es, den ausgeprägten Bukkalkorridor zu verkleinern. Ein Zahn- und Parodontalstatus wurde erhoben und eine röntgenologische Untersuchung vorgenommen. Dabei wurden keine weiteren pathologischen Befunde festgestellt. Für die Planung wurde die Ausgangssituation fotografisch dokumentiert und im Anschluss eine biomechanische Funktionsanalyse mit dem Zebris-Kieferregistriersystem durchgeführt (Abb. 2). Des Weiteren wurde jeweils eine Situationsabformung beider Kiefer vorgenommen und eine Bissregistrierung durchgeführt. Die Farbbestimmung wurde mithilfe der Vita classical Farbskala vorgenommen; ausgewählt wurde die Farbe A2. Anschließend wurde die Ist-Situation mit vier verschiedenen Farbmusterzähnen fotografiert (Abb. 3).
Laborphase
Nach der Situationsabformung wurden im Dentallabor Modelle hergestellt. Das Oberkiefersituationsmodell wurde schädelbezüglich ausgerichtet und in einem Arcon-Artikulator montiert. Nachträglich wurde das Unterkiefersituationsmodell mittels eines Bissregistrats in Relation zum Oberkiefer gebracht und ebenfalls einartikuliert (Abb. 4a bis c). Anhand der gewonnenen Werte der Funktionsanalyse wurde der Artikulator programmiert. Somit kann er als Maßgabe für das Wax-up und die spätere Herstellung der Restaurationen dienen.
Herstellung des Wax-ups und des Langzeitprovisoriums
Die neue zentrische Bisslage wurde mit dem Zebrissystem erarbeitet. Zur prothetisch-funktionellen, vertikalen Bisshebung wurde auf die Erkenntnisse von Dr. Henry Shimbashi aus Alberta zurückgegriffen. Dr. Shimbashi hatte die Muskelaktivität von über 500 Patienten gemessen und fand heraus, dass es eine ideale vertikale Dimension gab. Bei dieser funktionierten die Kiefermuskeln mit ihrem maximalen Potenzial. Darüber hinaus beobachtete er, dass die Patienten in dieser „idealen“ Position keine Symptome von Muskelschmerzen aufwiesen. Diese vertikale Dimension erwies sich als universell einsetzbar in allen Altersgruppen und Ethnien.
Diese ideale vertikale Dimension ergibt sich, indem im Schlussbiss von der Zahnfleischlinie des oberen mittleren Schneidezahns bis zur Zahnfleischlinie des unteren mittleren Schneidezahns gemessen wird. Dr. Shimbashi ermittelte dafür den als ideal erachteten Abstand von etwa 19 mm plus oder minus 1 mm. Dieser Idealwert muss mithilfe einer Formel in ein Verhältnis zur vorhandenen Zahnbreite gebracht und so die individuelle Zahnlänge berechnet werden.
Ermittelte Werte nach dem „Goldenen Schnitt von Shimbashi“:
1er: 9,00 mm (Ist) – 11,50 mm (Soll)
2er: 7,00 mm (Ist) – 9,00 mm (Soll)
3er: 7,50 mm (Ist) – 9,75 mm (Soll)
Auf der Basis der Zebrisvermessung wurde daraufhin die neue Kieferrelation erarbeitet und mit dem diagnostischen Wax-up begonnen. Der Biss wurde um einen Wert von 2,5 mm angehoben.
Die in zentrischer Kieferrelation einartikulierten Situationsmodelle bilden eine wichtige Arbeitsgrundlage, auf der unter Beachtung der funktionellen und ästhetischen Parameter das diagnostische Wax-up erstellt werden kann (Abb. 5a bis e).
Nach dem diagnostischen Wax-up wurden die so manipulierten Modelle dubliert und Duplikatmodelle hergestellt. Zudem wurden die Situationsmodelle und die aufgewachsten Modelle eingescannt und anschließend in der CAD-Software mittels Matchings zusammengeführt (Abb. 6a und b).
Die CAD-Software gibt uns die Option, dem Patienten die mögliche neue Situation vorab zunächst visuell zu demonstrieren. Falls der Vorschlag akzeptiert wird, kann er mittels Tiefziehschiene gesichert und in Form eines Mock-ups direkt in den Mund übertragen werden.
Die via Wax-up erarbeitete Situation repräsentiert das Defizit, das es prothetisch auszugleichen gilt. Da wir den digitalen Weg eingeschlagen hatten, wurde es in diesem Fall für das Langzeitprovisorium CAD/CAM-gestützt aus einem PMMA-Rohling herausgefräst (Abb. 7a und b).
Die vortherapeutische Phase
Die Befestigung der Langzeitprovisorien, die die neue Kieferrelation wiedergaben, erfolgte adhäsiv mit selektiver Schmelzätzung. Befestigt wurden die verblockten PMMA-Schienen an den unpräparierten Bestandszähnen mit einem flowable Komposit.
Während der dreimonatigen Vortherapiephase verbesserten sich die muskulären Probleme deutlich. Nach Reevaluierung der funktionellen, ästhetischen und phonetischen Befunde konnte die definitive Versorgungsphase beginnen.
Die definitive prothetische Therapie
Für folgende Zähne sollten Vollkeramikrestaurationen aus Lithiumdisilikat-Glaskeramik (IPS e.max Press Ivoclar Vivadent) hergestellt werden:
Monolithische Vollkeramikkronen auf den Zähnen 14, 15, 24, 25, 26, 27, 36, 37, 47, 46
Monolithische Teilkronen an den Zähnen 16, 17, 45, 44, 34, 35
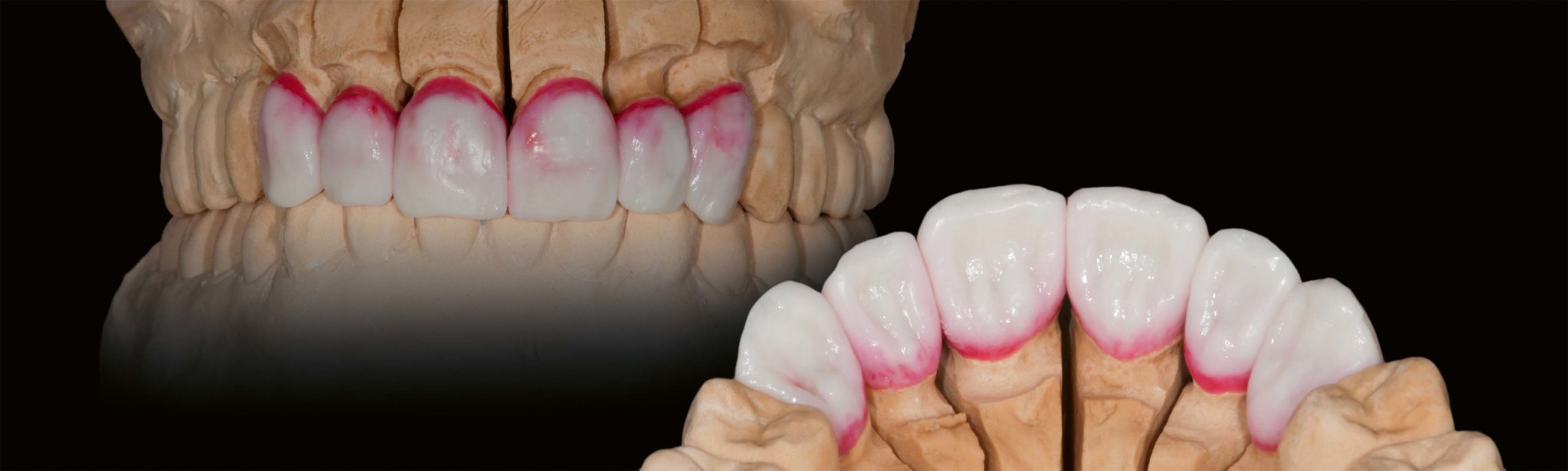
Monolithische Veneers an den Zähnen 33 bis 43
Monolithische Fullveneers an den Zähnen 13 bis 23
Die Behandlung wurde auf vier Teilschritte aufgeteilt
Zunächst wurden die unteren Seitenzähne sequenziell minimalinvasiv präpariert und sequenzielle Registrate hergestellt. Mithilfe dieser Bissregistrate wurden die Seitenzähne fixiert und somit die vorher erarbeitete, neue Kieferrelation gesichert, um diese in den Artikulator übertragen zu können. Das Bissregistrat wurde zur Kontrolle jeweils mit Futar d und Luxatemp hergestellt (Abb. 8 und 9). Aufgrund der Abstützung in der Front und der zusätzlichen Sicherung der Seitenzähne über die Bissregistrate konnte eine trianguläre Abstützung sichergestellt werden.
Schritt 1 & 2 – Abformung, Modellherstellung
Die Abformung erfolgte mittels konventioneller Fadentechnik und Doppelmischtechnik. Mit dem Giroform-Modellsystem wurden die Meistermodelle hergestellt (Abb. 10). Der Oberkiefer wurde schädelbezüglich ausgerichtet und in einem Artex CR Arcon-Artikulator einartikuliert. Der Unterkiefer wurde mit dem Bissregristat fixiert und ebenfalls einartikuliert (Abb. 11a bis c). Dieses wiederholte sich in allen vier Behandlungsschritten.
Schritt 3 – Herstellung der Unterkieferversorgungen
Für die Herstellung der Seitenzahnversorgungen im dritten und vierten Quadranten wurden die präparierten Modellstümpfe entsprechend vorbereitet (Abb. 12). Die händische Modellation erfolgte klassisch mit Wachs (Abb. 13).
Die fertig modellierten Teilkronen und Kronen wurden den Herstellerangaben entsprechend angestiftet, eingebettet, gepresst und ausgebettet (Abb. 14). Nach der Fertigstellung der Seitenzahnversorgungen wurden die Approximalkontakte auf ungesägten Segmentmodellen kontrolliert und adaptiert (Abb. 15).
Die monolithischen Unterkieferrestaurationen auf den Zähnen 47, 46, 36 und 37 wurden aus IPS e.max Press MT A2-Rohlingen und die Teilkronen auf den Zähnen 45, 44, 34 und 35 aus IPS e.max Press HT A2 gefertigt. Das Ergebnis nach dem Aufpassen und der Fertigstellung ist in der Abbildung 16 dargestellt.
Nachdem die Seitenzähne im Unterkiefer adhäsiv (die Teilkronen auf 45, 44, 35, 34 mit Variolink von Ivoclar Vivadent und die Kronen 47, 46, 36, 37 mit RelyX Unicem 2 von 3M) befestigt worden waren, konnten die Unterkieferfrontzähne für die Veneerversorgungen präpariert werden (Abb. 17). In dieser Sitzung wurde auch die Zahnfarbe für die monolithischen Unterkieferveneers bestimmt (Abb. 18).
Auf der Basis der Präzisionsabformung des für die Frontzahnveneers präparierten Unterkiefers wurde auch das Unterkiefermeistermodell mit dem Giroform-System hergestellt (Abb. 19 und 20). Die monolithischen Unterkieferfrontzahnveneers auf den Zähnen 43 bis 33 wurden händisch aus Wachs modelliert, angestiftet, aus IPS e.max Press MT A2 gepresst und wie üblich fertiggestellt (Abb. 21 bis 23). Adhäsiv befestigt wurden sie mit einem flowable Komposit in der Farbe neutral (Abb. 24).
Schritt 4 – Herstellung der Oberkieferversorgungen
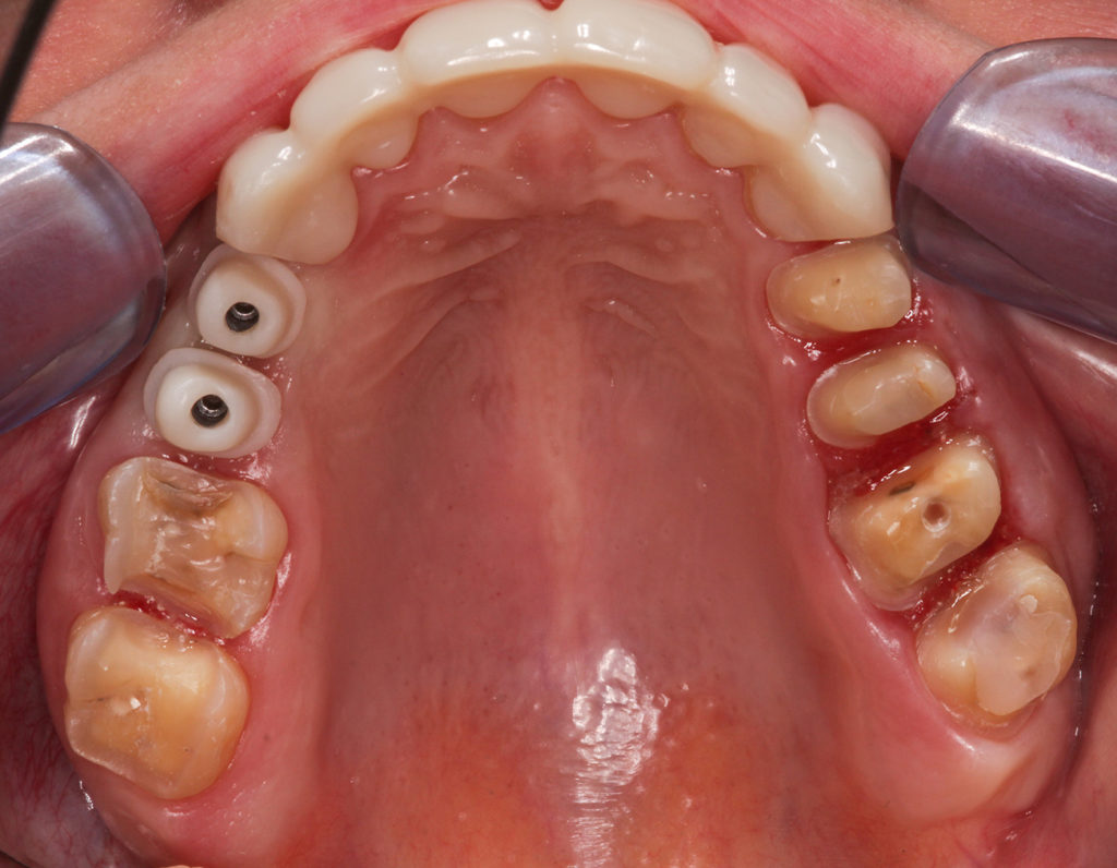
Da der Unterkiefer nun versorgt war, konnte mit der Versorgung des Oberkiefers begonnen werden. Zunächst wurden die Oberkieferseitenzähne präpariert und im Anschluss der Ober- sowie Unterkiefer abgeformt (Abb. 25). Nach der Herstellung des Meister- sowie Gegenkiefermodells und der Übertragung in den Artikulator wurden an den Implantaten in Regio 14 und 15 jeweils Hybridabutments hergestellt. Die keramischen Aufbauten wurden aus IPS e.max Press MO1-Rohlingen gefertigt und extraoral mit Ankylos Titanium Base C-Implantataufbauten verklebt. Für die adhäsive Befestigung griffen wir auf Multilink-Hybridabutment zurück (Abb. 26). Im nächsten Schritt erfolgte die Wachsmodellation der Oberkieferseitenzähne (Abb. 27).
Die monolithischen Frontzahnversorgungen wurden reduziert (Cut-back) und um das Maximum an Ästhetik zu realisieren mit IPS e.max Ceram verblendet (Abb. 37a und b). Alle monolithischen Vollkeramikkronen wurden nach dem Aufpassen und Ausarbeiten mit dem IPS Ivocolor Malfarben-System charakterisiert und glasiert (Abb. 38). Die sechs Oberkieferfrontzahnkronen waren partiell reduziert und anschließend wieder mit etwas Verblendkeramik individuell aufgebaut worden.
Für die Verschraubung der Hybridabutments wurde aus einem lichthärtenden, transparenten Material ein Übertragungsschlüssel hergestellt. Die monolithischen Oberkieferseitenzahnversorgungen für die Zähne 14 bis 17 und 24 bis 27 wurden aus IPS e.max Press MT A2 gefertigt und fertiggestellt (Abb. 28 und 29a und b).
Die Seitenzähne im Oberkiefer sollten adhäsiv befestigt werden (Abb. 30). Die Restaurationen auf den Zähnen 16 bis 17 wurden mit Variolink Esthetic neutral von Ivoclar Vivadent und von 24 bis 27 und 14 bis 15 mit RelyX Unicem 2 von 3M befestigt (Abb. 31a). Im Anschluss erfolgten die Präparation der Oberkieferfrontzähne und die Abformung (Abb. 31b).
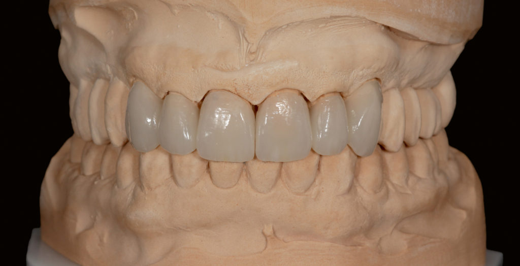
Das Oberkiefermeistermodell wurde erneut mit dem Giroform-System hergestellt, die sechs Frontzahnstümpfe wurden entsprechend vorbereitet (Abb. 32) und die Frontzahnkronen analog aufgewachst (Abb. 33a und b) und angestiftet (Abb. 34) und in Presskeramik übertragen (IPS e.max Press Rohling-MT A2). Für die Befestigung der fertigen Oberkieferfrontzahnrestaurationen (Abb. 35) wurde ein individueller Einbringschlüssel angefertigt (Abb. 36a und b).
Fazit
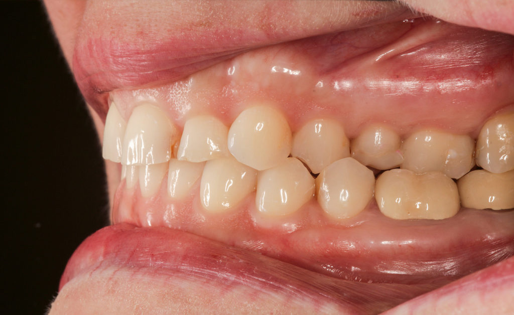
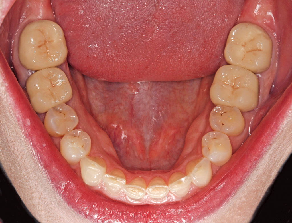
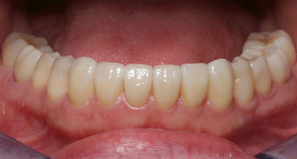
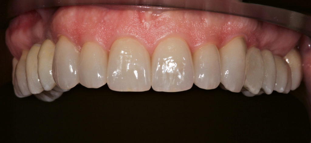
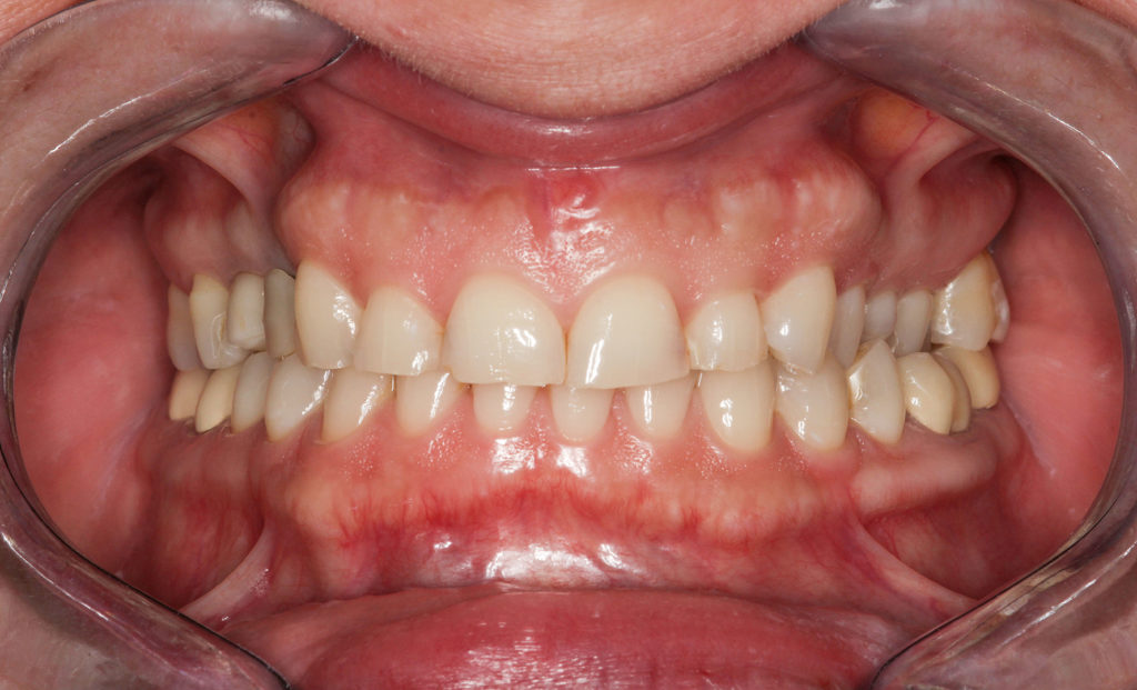
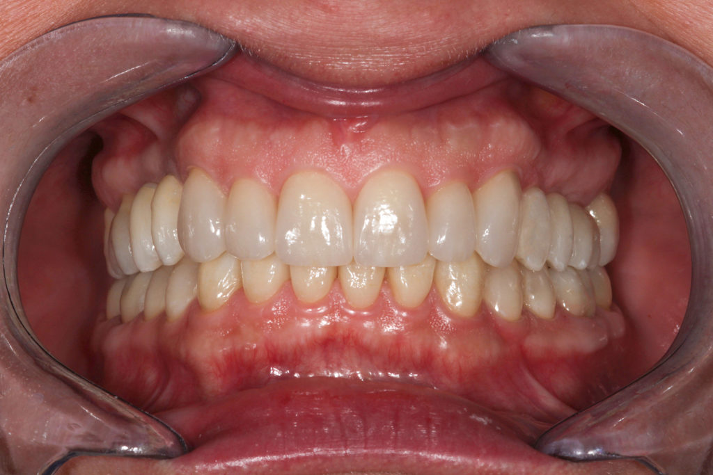
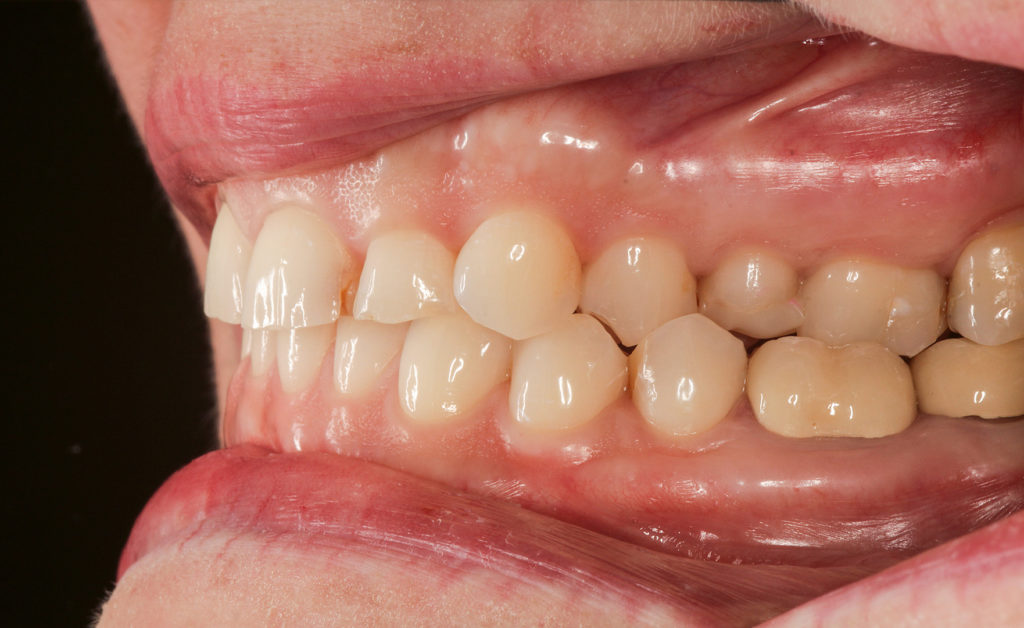
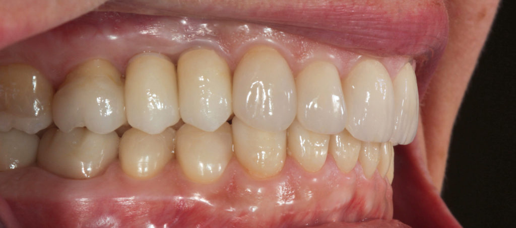
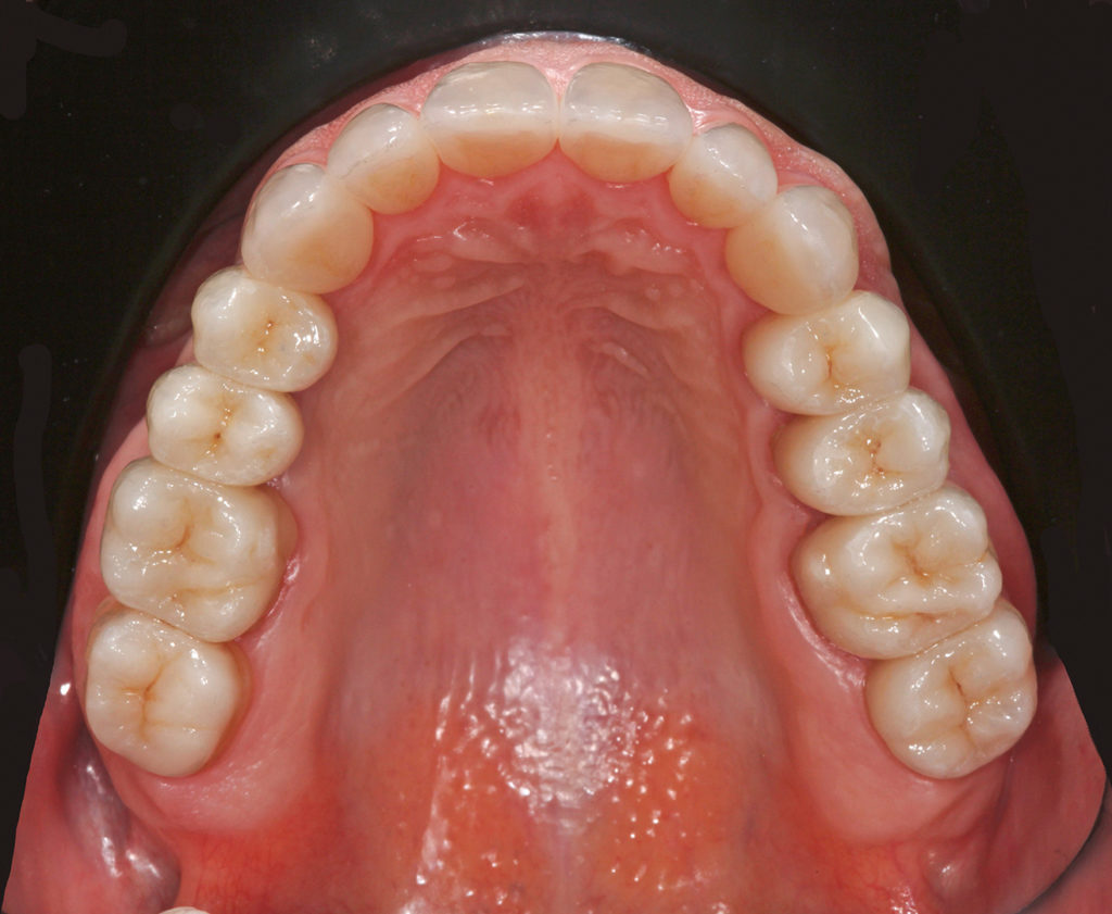
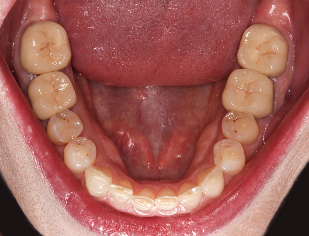
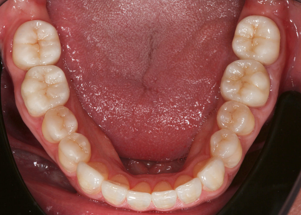
Dem vorliegenden Patientenfall liegt eine komplexe Behandlung zugrunde. Die primäre Motivation der Patientin war rein ästhetischer Natur. Aus therapeutischer Sicht lag der Fokus auf der funktionellen Rehabilitation des Kausystems (Abb. 39 bis 44d).
Das strenge Therapieregime, die Vorbehandlung mit biomechanischer Funktionsanalyse, eine Schienentherapie und die langzeitprovisorische Behandlung sorgten dafür, dass die oralen Strukturen die Möglichkeit erhielten, sich an die neu definierte Bisslage zu gewöhnen. Hätte sich im Verlauf der Behandlung jedwede Art von Komplikationen eingestellt, so hätte der Ausgangszustand einfach durch Entfernen der Langzeitprovisorien (LZP) wiederhergestellt werden können. Die Patientin konnte in der LZP-Phase ihre neue Ästhetik und Phonetik ausprobieren und mitgestalten. Die Übertragung der neuen Kieferrelation in die definitive Versorgung erfolgte erst, als die Patientin sowohl ästhetisch als auch phonetisch zufriedengestellt war. Für die Umsetzung der Planung in ein Definitivum wurden minimalinvasive Keramikrestaurationen gewählt.
Wenn man nach diesem Regime vorgeht, ist eine gute Langzeitprognose möglich, und für die Patienten kann eine bessere Lebensqualität erzielt werden (Abb. 45 bis 47).
Fachbeitrag
Weitere Beiträge zum Thema


















































