Laborbericht
Aus dem Labor
25.03.22
Natürlich schöne Prothesenzähne
Effizienz und Brillanz nach dem ästhetischen Regelwerk
Wenn ein Lächeln mit keramischen Restaurationen rehabilitiert wird, wird das ästhetische Regelwerk akribisch befolgt und umgesetzt, um natürlich wirkende Ergebnisse zu erzielen. Die Anatomie der Zahnhartsubstanz wird bei der keramischen Schichtung dreidimensional reproduziert. Dentin- und Schmelzmassen bilden eine natürliche Einheit. Warum sollten diese Maßstäbe nicht auch für Totalprothesen gelten? Der folgende Fallbericht zeigt, welche Vorzüge des Konfektionszahns Vitapan Excell den Zahntechniker dabei unterstützen, eine hochästhetische Prothese herzustellen, die diesen Ansprüchen gerecht wird.
Prothesenträger haben meist den gleichen Wunsch nach Ästhetik wie alle anderen Patienten. Vor allem jüngere Prothesenträger möchten einen Zahnersatz, der nicht künstlich, sondern natürlich aussieht. Und wenn man als Zahntechniker schon die Möglichkeit hat, die Rot-Weiß-Ästhetik von Grund auf neu zu gestalten, dann sollte man diese Chance auch ergreifen.
Integrierte Ästhetik
Die ästhetischen Regeln, die für alle zahntechnischen Disziplinen Gültigkeit haben, gelten auch für die Totalprothetik: Zahnachsen, Kontaktflächen, Winkelmerkmale, Zahnhalsdimension, Gingivaverlauf und Längen-Breitenverhältnis sollten so gestaltet sein, wie es uns die Natur vorgibt. Die Grundvoraussetzung dafür ist ein Konfektionszahn, der dem ästhetischen Regelwerk und dem anatomischen Aufbau natürlicher Zähne gleichkommt. Da liegt bereits die Herausforderung: Konfektionszähne entsprechen meistens – warum auch immer – nicht dem ästhetischen Regelwerk und wirken von ihrer Schichtung her leblos und eintönig. Die vestibuläre Morphologie ist eine glatte Fläche zwischen zwei Leisten ohne jegliche Textur, weshalb solche Konfektionszähne gar nicht natürlich wirken können. Der Konfektionszahn Vitapan Excell entspricht dem ästhetischen Regelwerk, wird mit Schmelz-, Dentin- und Halsmasse dreidimensional geschichtet, aus einem Guss gepresst und polymerisiert. Die Morphologie und Textur echter Zähne wurde beim Formenbau konsequent umgesetzt. Dieser Fallbericht zeigt, welche Vorteile sich daraus nicht nur hinsichtlich der Ästhetik, sondern auch bei der Aufstellung ergeben.
Der Patientenfall
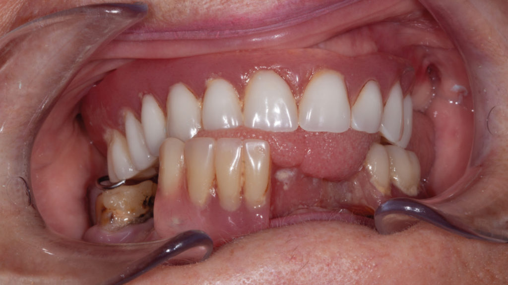
Eine 58-jährige Patientin wurde in der Praxis vorstellig, da sie mit ihrer momentanen Versorgung funktionell und ästhetisch unzufrieden war (Abb. 1). Beim Kauen schaukelte die Teilprothese im Unterkiefer und die Totalprothese im Oberkiefer, sodass sie keinen sicheren Halt boten. Die Konfektionszähne wirkten leblos, die mukogingivalen Anteile waren glatt und eben gestaltet und wirkten künstlich. Nach Extraktionen im Unterkiefer war regio 31 bis 34 unversorgt, da die Teilprothese nicht erweitert worden war. Lediglich Zahn 46 war noch vorhanden, den die Patientin auf jeden Fall behalten wollte. Der Molar erwies sich als erhaltungswürdig und zeigte klinisch und röntgenologisch keine Anzeichen für eine starke parodontale Schädigung. Nachdem der Patientin die Auswirkung einer Teilprothese auf den einzigen verbliebenen Zahn 46 erklärt worden war, wurde entschieden, die neue Prothese im Unterkiefer so zu gestalten, dass diese bei einem Zahnverlust durch minimale Veränderung des Prothesendesigns mit einem Konfektionszahn ergänzt werden konnte.
Im Rahmen der Fertigung der beiden Prothesen wurde also beschlossen, um Zahn 46 herumzuarbeiten. Die Patientin wünschte sich eine natürlich wirkende Neuversorgung, die ihr durch einen guten Halt Sicherheit beim Kauen und Sprechen bot. Sie entschied sich nach eingehender Beratung für eine totalprothetische Neuanfertigung. Der Konfektionszahn Vitapan Excell wurde in der passenden Zahnform gewählt, um eine natürliche Wirkung und eine Aufstellung nach dem ästhetischen Regelwerk zu gewährleisten. Im Seitenzahnbereich kam der Vitapan Lingoform zum Einsatz. Als erste Arbeitsgrundlage wurden anatomische Situationsabformungen mit Alginat genommen, um im Labor individuelle Löffel herzustellen. In einer zweiten Sitzung wurden mit diesen mukodynamische Abformungen genommen (Abb. 2). Die erste Abformung erfolgte mit Heavy Body, die zweite Feinabformung mit Light Body A-Silikon. Nach der Meistermodellherstellung wurden auf dieser Grundlage Bissregistrate mit Wachswällen für die Kieferrelationsbestimmung hergestellt. Die räumliche Anordnung der Kiefer zueinander konnte mit den intraoral entsprechend verschlüsselten Registraten in den Artikulator übertragen werden (Abb. 3). Nach der Modellanalyse wurde mit der patientengerechten Aufstellung in Wachs begonnen (Abb. 4).
Intuitiv Aufstellen
Das ästhetische Regelwerk haben Zahntechniker verinnerlicht. Neben dem grundlegenden Wissen über Ästhetik setzen wir uns jeden Tag damit auseinander, was ästhetisch wirkt und was nicht. Eine logische Konsequenz ist, dass uns die Aufstellung mit Frontzähnen, die diesem ästhetischen Regelwerk entsprechen, leichter von der Hand geht als beispielsweise mit einer Zahngarnitur, deren Achsen- und Winkelmerkmale bereits auf dem Zahnplättchen nicht miteinander harmonieren.
Auch bei solchen Konfektionszähnen wird jeder Anwender versuchen, die ideale Aufstellung zu finden, wobei er sich bei den grundlegenden Unstimmigkeiten schwertun wird, die richtige Zahnposition zu finden. Im Vitapan Excell wurden deswegen Zahnachsen, Kontaktflächen, Winkelmerkmale, Zahnhalsdimension, Gingivaverlauf und Längen-Breitenverhältnis konsequent nach den allgemeingültigen ästhetischen Regeln, die uns die Natur vorgibt, implementiert.
Die Aufstellung mit dieser Frontzahngarnitur ging daher intuitiv und zügig von der Hand (Abb. 5 bis 7). Die breiten Palatinalleisten unterstützen zusätzlich die Ausgestaltung der Papillen. Bei neuen Rehabilitationen muss immer berücksichtigt werden, wie das Gebiss des Patienten vorher ausgesehen hat. Die Basis ist die Anatomie der Mundhöhle am Tag des Behandlungsbeginns, die ich beginne nach den Parametern Ästhetik, Funktion und Stabilität zu versorgen. Alle klinischen Informationen müssen dabei berücksichtigt werden, um die besten Rehabilitationsergebnisse im Mund des Patienten zu erzielen. Aufgrund der Position und der Mesialwanderung von Zahn 46 war der Platz für die untere Frontzahnaufstellung reduziert und wurde verschachtelt realisiert, um physiologische Molarenkontakte zwischen den Konfektionszähnen herstellen zu können.
Die Patientin war einverstanden, da ihre natürlichen Frontzähne im Unterkiefer ebenfalls verschachtelt gewesen und nie mit einer kieferorthopädischen Behandlung nivelliert worden waren. Eine effiziente Aufstellung mit exakt definierter Zentrik, aber der nötigen Freiheit bei exzentrischen Bewegungen, gewährleistet der Vitapan Lingoform im Seitenzahnbereich. Sein multifunktionelles Kauflächendesign nach dem Zahnradprinzip ist universell für alle gängigen Aufstellkonzepte in Zahn-zu-Zahn oder Zahn-zu-zwei-Zahn geeignet.
Ausarbeiten und Einprobe
Da der Verlauf der Gingivagirlande nicht durch einen stufenförmigen Übergang zwischen Zahn und Zahnhals festgelegt ist, sondern natürlich verläuft, konnte die mukogingivale Architektur patientengerecht modelliert werden (Abb. 8). Auch die Alveolarfortsätze, Gaumenfalten und Gaumennaht sowie die Papilla incisiva wurden in Wachs umgesetzt, um bei der klinischen Einprobe die finalen Prothesen so gut wie möglich zu simulieren (Abb. 9 und 10). Nach sorgfältiger Prüfung wurden die Seitenzähne mehr nach distal positioniert, um ein individuelleres und deutlich natürlicheres Erscheinungsbild zu erzielen. Der einzelne Zahn 46 wurde zirkulär von der Basis eingefasst, um der oberen Aufstellung mehr okklusale Stabilität zu geben und die Verschiebung des Zahnes nach distal zu kompensieren. Die Patientin kam phonetisch und funktionell gut zurecht und zeigte sich von der natürlichen Wirkung der Konfektionszähne begeistert (Abb. 11). Durch seinen dreidimensionalen anatomischen Aufbau in multiplen Schichten und den harmonischen Farbverlauf vom Hals bis zur Schneide wirkte die Frontzahngarnitur Vitapan Excell sehr lebendig. Seine naturgetreue Morphologie und nuancenreiche Oberflächentextur sorgten schon bei der Einprobe für ein brillantes Farb- und Lichtspiel im Patientenmund. Die markante Schneidecharakteristik mit weißlichem Inzisalsaum und integrierter Mamelonstruktur führte zu einer organischen Farbwirkung, die ausgewogene Transluzenz gleichzeitig zu einer naturgetreuen Lichtdynamik.
Fertigstellen und Ausarbeiten
Ein Silikonschlüssel wurde von den Wachsaufstellungen hergestellt; die Zähne wurden entnommen, gereinigt und basal sowie zervikal für die Umsetzung in Kunststoff konditioniert (Abb. 12). Nach der Repositionierung der Konfektionszähne in den Silikonschlüssel wurden vor dem Ausgießen der kompletten Prothesenbasis mit dem Polymer Castdon das vestibuläre Lippenschild und der Gaumenbereich mit Farben aus dem Denture-Art-System individualisiert. Nach der Repositionierung der Meistermodelle in den Schlüssel und der Autopolymerisation wurden die beiden Prothesen mit einem rotierenden Instrument ausgearbeitet. Die abschließende Politur erfolgte mit Bimsstein, Polierpaste und Polierrad. Je nach Patientenalter kann das Zahnalter durch eine mehr oder weniger starke Reduzierung der Oberflächentextur mit einer kurzen Politur gesteuert werden. In diesem Fall wurde die Oberflächentextur der Zähne konsequent durch die Verwendung eines Handstücks ausgespart, um die jüngere Wirkung der Konfektionszähne zu erhalten (Abb. 13 und 14).
Hochästhetische Totalprothetik
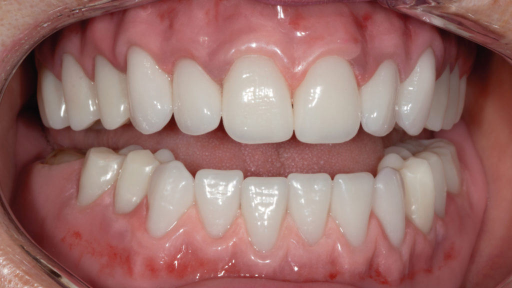
Der Fall zeigt, dass mit den richtigen Konfektionszähnen nach dem ästhetischen Regelwerk und Freude an der zahntechnischen Kunstfertigkeit totalprothetische Rehabilitationen entstehen können, die den Vergleich mit aufwendigen keramischen Ganzkieferversorgungen nicht scheuen müssen (Abb. 15). Die Patientin war von dem hochästhetischen Ergebnis und dem stabilen Sitz ihrer neuen Prothesen begeistert und zeigte unmittelbar nach der Eingliederung ein neues Selbstbewusstsein. Die Konfektionszähne zeigten ein lebendiges Lichtspiel und gaben der Patienten ihr altersgerechtes Aussehen zurück (Abb. 16 bis 18).
| Produkt | Name | Firma |
| Frontzahnlinie | Vitapan Excell | Vita Zahnfabrik |
| Prothesenkunststoff | Denture-Art-System | Dreve Dentamid |
| Prothesenkunststoff | Polymer Castdon | Dreve Dentamid |
| Seitenzahnlinie | Vitapan Lingoform | Vita Zahnfabrik |
Kontakt
Vita Zahnfabrik
H. Rauter GmbH & Co. KG
79704 Bad Säckingen
Fon +49 7761 562-0
info@vita-zahnfabrik.com
www.vita-zahnfabrik.com
Laborbericht
Weitere Beiträge zum Thema




















