Laborbericht

Aus dem Labor

24.03.22

Konditionieren, Reinigen, Verkleben

Vorbereiten einer Restauration für die adhäsiven Befestigung

dd Redaktion

Der zuverlässige Haftverbund zwischen Zahn und Restaurationsmaterial ist die Basis der Langlebigkeit eines vollkeramischen Zahnersatzes. Bestimmt wird die Qualität des Haftverbunds durch das gewählte Befestigungskomposit und dessen adäquate Anwendung. Zudem nimmt der Zustand der Klebefläche eine entscheidende Rolle ein. Es bedarf einer konditionierten sowie sauberen Zahn- und Restaurationsoberfläche. Sowohl im Dentallabor als auch in der Zahnarztpraxis sind konkrete Vorgaben zu beachten. Im Expertengespräch gehen ein Zahnarzt und zwei Zahntechniker darauf ein.

Lieber Herr Dr. Elsayed, vollkeramische Restaurationen verlangen eine adhäsive Befestigung. Trifft diese Aussage auf alle Restaurationsmaterialien wie Zirkonoxid, Lithium-Dsilikat, ­Hybridkeramik et cetera zu?
Adham Elsayed: Ja und nein, es müssen mehrere Faktoren betrachtet werden. Zunächst sind das die Werkstoffkennwerte, insbesondere die Biegefestigkeit. Es gibt klare Vorgaben, die sich auf die wissenschaftliche Studienlage stützen. Demnach sollten alle Materialien mit einer Biegefestigkeit von weniger als 350 MPa adhäsiv befestigt werden. Die korrekte adhäsive Befestigung stabilisiert Restauration und Zahnsubstanz. Bei Restaurationsmaterialien mit höherer Festigkeit, zum Beispiel verstärkte Glaskeramik, Lithium(di)silikatkeramiken, Zirkonoxid et cetera, kann eine konventionelle Befestigung erfolgen. Allerdings zeigen einige Studien, dass der adhäsive Verbund einen positiven Einfluss auf die ­Gesamtstabilität haben kann. Andere Studien wiederum zeigen keinen signifikanten Unterschied. Weiterer Faktor bei der Entscheidung für ­„adhäsiv“ ist die Präparationsform. Bei Kronen und Brücken ist entscheidend, ob die Präparationsrichtlinien, minimale Stumpfhöhe von 4 mm und maximale Konvergenz von 15 Grad, eingehalten werden, um die für eine konventionelle Zementierung erforderliche Retentions- und Widerstandsform zu erzeugen. Minimalinvasive Restaurationen, beispielsweise Adhäsivbrücken, Veneers sowie Inlay-Brücken, basieren auf einer nichtretentiven Präparationsform. In diesen Fällen kann nur durch eine adhäsive ­Befestigung eine ausreichende Retention sichergestellt werden. Der dritte Faktor ist die Ästhetik. Hier hat neben dem Restaurationsmaterial das Befestigungsmaterial einen hohen Einfluss. Gerade bei hoch transluzenten Keramiken ist es empfohlen, auf die adhäsive Befestigung zurückzugreifen. Während konventionelle Zemente in der Regel nur als opakes Material verfügbar sind, gibt es Befestigungskomposite in verschiedenen Farben. Zudem bieten Komposite eine höhere Farbstabilität. Wir als Zahnärzte sollten uns bewusst sein, dass zusätzlich zu der vom Zahntechniker mit viel Mühe gefertigten Restauration die Auswahl des Befestigungsmaterials einen erheblichen Einfluss auf das ästhetische Ergebnis hat.

Lieber Herr Stroh, Sie erstellen in Ihrem Dentallabor fast täglich vollkeramische Restaurationen. Inwieweit beschäftigen Sie sich mit dem Befestigungsprotokoll in der Zahnarztpraxis? Haben Sie damit Berührung?
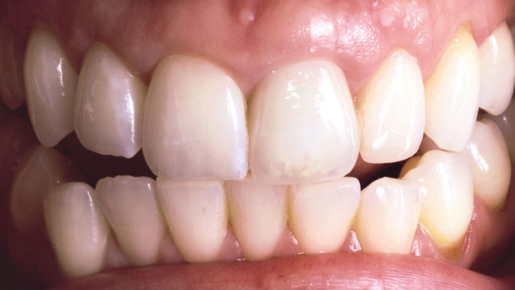
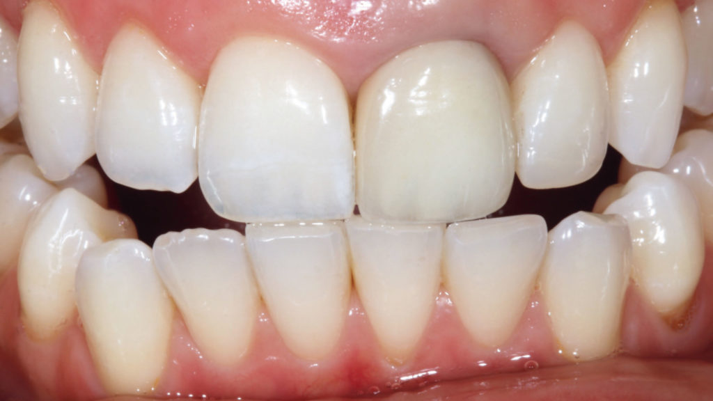
Simon Stroh: Ja, selbstverständlich. Das Befestigen der von uns im Labor erstellten Restaurationen in der Zahnarztpraxis ist für mich ein wichtiges Thema (Abb. 1 und 2). Hier entscheidet sich maßgeblich der Langzeiterfolg einer Restauration im Patientenmund. Ohne eine sachgemäß vorgenommene Befestigung wird selbst die nach allen ­Regeln der zahntechnischen Kunst erstellte Restauration im Mund auf lange Sicht nicht bestehen. Wir müssen uns immer wieder bewusst machen, dass die von uns erstellte Restauration im Patientenmund pausenlos im Einsatz und dem Mundmilieu ausgesetzt ist – 24 Stunden und sieben Tage die Woche. Daher ist das Thema „Befestigung“ auch für Zahntechniker hoch relevant und Teil der zahntechnischen Werkstoffkunde.

Lieber Herr Späth, welche Relevanz hat Ihrer Erfahrung nach die ­adhäsive Verklebung für die Ästhetik einer vollkeramischen Restauration?
Sven Späth: Die adhäsive Befestigung ist bei vielen vollkeramischen Restaurationsarbeiten maßgeblich und bestimmt die Haltbarkeit und Ästhetik einer von uns gefertigten Restauration zu einem großen Teil mit. Wie Dr. Adham Elsayed schon gesagt hat, ist bei Gerüstmaterialien mit einer Festigkeit von mehr als 350 MPa das Verkleben nicht zwingend notwendig (insbesondere im Seitenzahnbereich); hier entscheidet unter anderem die Gestaltung des Gerüstes sowie die Präparation des Zahnes. Doch auch wenn nicht alle Restaurationen adhäsiv befestigt werden müssen, empfiehlt die Wissenschaft heute immer häufiger die adhäsive Verklebung. Und auch wir sind überzeugt, dass gerade in den ästhetischen Zonen auf diesem Wegsehr gute Ergebnisse erzielt werden können.

Herr Dr. Elsayed, wie ist eine keramische Oberfläche für die adhäsive Befestigung vorzubehandeln beziehungsweise zu konditionieren?
Dr. Elsayed: Die Vorbehandlung der Oberfläche hängt von der Struktur beziehungsweise dem Gefüge der Keramik ab. Silikatkeramik, zum Beispiel Glaskeramiken, ­haben eine Glasphase und lassen sich ätzen. Durch das Ätzen vergrößert sich die Oberfläche und wird so für die adhäsive Befestigung vorbereitet. Oxidkeramiken, zum Beispiel Zirkonoxid, oder Verbundwerkstoffe, zum Beispiel Hochleistungskomposite, haben hingegen keine Glasphase. Sie lassen sich nicht ätzen. Hier erfolgt die Konditionierung der Oberfläche durch Abstrahlen mit Aluminiumoxid. Das ist derzeit die einzig wissenschaftlich belegte Methode, um bei diesen Materialien eine sichere adhäsive Befestigung zu erreichen.

Erfolgt die Konditionierung der Oberfläche und die Reinigung im Labor oder in der Praxis?
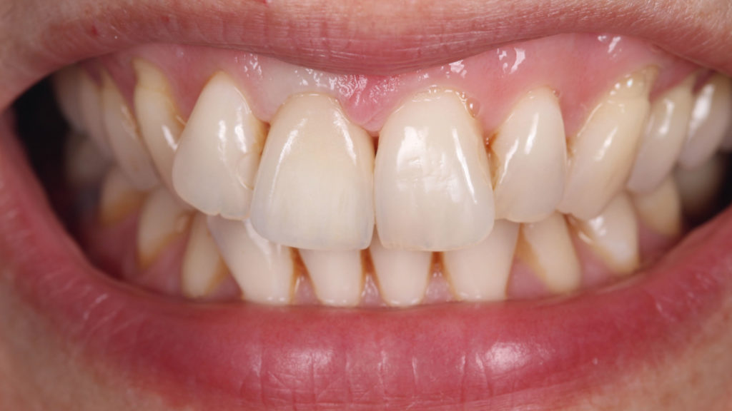
Dr. Elsayed: Idealerweise sollte eine keramische Restauration nach der Anprobe und unmittelbar vor der Befestigung konditioniert werden. Allerdings haben viele Zahnarztpraxen nicht die Möglichkeit des Ätzens oder des Abstrahlens. Hier kann das Dentallabor diese Aufgabe übernehmen. Unabhängig davon, wer diese wichtige Aufgabe übernimmt: Die Restaurationsoberfläche muss direkt vor der Befestigung dekontaminiert werden. Verunreinigungen sind gründlich zu entfernen. Ein Spülen mit Wasser oder Alkohol ist hierfür nachweislich nicht ausreichend. Daher wurden Reinigungslösungen wie Katana Cleaner von Kuraray ­Noritake entwickelt (Abb. 3 und 4).

Herr Dr. Elsayed, wie wichtig ist die adäquate Reinigung der Zahn- und ­Restaurationsoberfläche für den Haftverbund?
Dr. Elsayed: Jedwede Kontamination beeinflusst den adhäsiven Haftverbund negativ; unabhängig vom Material. Beispiel: Bei einer Einprobe der Restauration im Mund wird die Restaurationsoberfläche verunreinigt. Speichel, gegebenenfalls Blut et ­cetera sammeln sich an; die Proteine hieraus wirken als Isolator für alle nachfolgenden Komponenten, zum Beispiel den ­Primer. Daher muss jede Kontamination vor der ­adhäsiven Befestigung gründlich beseitigt werden. Dies gilt Übrigens auch bei direkten adhäsiven Restaurationen. Katana Cleaner bietet hierfür einen einfachen und schnellen Weg.

Was macht Katana Cleaner aus Sicht des Anwenders so interessant?
Dr. Elsayed: Besonderheiten des Katana Cleaners sind das integrierte MDP-Salz und der pH-Wert. Betrachten wir die Funktion des MDP-Salzes: Beim zehn Sekunden dauernden Einmassieren des ­Cleaners bleiben die Partikel der Kontamination, zum Beispiel Verschmutzungen aus dem Arbeitsprozess, Proteine aus Speichel, Blut et ­cetera, am MDP-Salz haften; ähnlich wie an einem Magneten. Anschließend werden die Verunreinigungen durch das Abspülen mit Wasser aus der Oberfläche ­herausgeschwemmt. Diese Fähigkeit obliegt dem MDP-Salz und dies macht ­Katana ­Cleaner interessant und einfach in der Anwendung. Zudem kann die Reinigungslösung aufgrund des ph-Wertes intraoral und extraoral angewendet werden; auch das ist eine Besonderheit. Wir empfehlen immer – bei direkten und indirekten Restaurationen – die Anwendung von Katana Cleaner. Dank der universellen Reinigungslösung bedarf es für alles nur ein Material und eines ­äußerst kurzen Zeitaufwands. Auch beim Verkleben von Abutments auf einer Titanbasis bietet die Reinigung mit Katana Cleaner, vor dem Auftragen des Primers, eine ausgezeichnete Grundlage für die sichere Verklebung. Kontaminationen, zum Beispiel Fingerfett, Reste von Strahlsand, könnten als ­Isolator wirken und den Verbund beeinträchtigen (Abb. 5).

Herr Stroh, arbeiten Sie in Ihrem ­Labor mit Katana Cleaner und wenn ja, wann?
Stroh: Ja, wir verwenden Katana Cleaner im Laboralltag fast täglich, und zwar für das Verkleben von Hybrid-Abutments (Abb. 6). Da wir die Verklebung im Labor nur optisch kontrollieren können, nutzen wir jede Gelegenheit, diese so langlebig und stabil wie ­irgendwie möglich herzustellen. Katana Cleaner gibt uns ein gutes Gefühl bei der Reinigung und Vorbereitung der Arbeiten als Grundlage für das sichere Verkleben. Der Erfolg gibt uns hierbei recht. Auch nach einem Try-in in der Zahnarztpraxis kommt das Material zum Einsatz, denn die Restauration sollte vor der definitiven Befestigung immer gründlich gereinigt werden. Mit ­Katana Cleaner ist dies einfach und zugleich sicher gewährleistet.


Herr Späth, wie wichtig ist Ihnen die Abstimmung mit der Zahnarztpraxis?
Späth: Meiner Erfahrung nach ist es grundsätzlich wichtig, eine gute Kommunikation zum Zahnarzt zu pflegen. Wir dokumentieren beispielsweise immer die Stumpffarbe, um die Auswahl des jeweiligen Gerüstmaterials zu erleichtern. Schon bei Beginn der Therapie planen wir, mit welchem Material wir zum optimalen Ergebnis gelangen können. Und auch vor der Eingliederung ist die Interaktion mit der Zahnarztpraxis wichtig, zum Beispiel, wenn es um die Art der Befestigung geht. Heutzutage stehen verschiedenste Befestigungsmaterialien zur Verfügung, die teilweise das ästhetische Ergebnis beeinflussen können. Was wir grundsätzlich machen – ob zementiert oder geklebt: Wir reinigen die Restauration immer mit Katana Cleaner (Abb. 7 und 8). Das geht schnell und unkompliziert. Die wirklich „cleane“ Oberfläche gibt uns einerseits ein gutes Gefühl. Andererseits erzielen wir so die beste Grundlage für eine sichere ­Befestigung. Es ist wenig Aufwand, unterstützt aber die maximale Sicherheit.

Vielen Dank für das Gespräch!

Annett Kieschnick,
Freie Fachjournalistin

Advertorial

Erweitertes Portfolio mit Hybrid-Workflow

CADdent hat seine Fertigungsverfahren um die hochpräzise HYBRID-Fertigung ergänzt. Diese innovative Fertigungsmethode vereint die Vorteile des LaserMelting-Verfahrens mit der CNC-Technik, und ist somit ideal für teleskopierende sowie okklusal direkt verschraubte Arbeiten geeignet. Besonderes Augenmerk liegt bei der inhouse Weiterentwicklung des Fertigungsverfahren auf der Präzision, so kann CADdent nun eine durchgängige Vestibulärfläche mit einer Dicke von nur 0,4 - 0,5 mm realisieren. Zudem ist CADdent das einzige Fertigungszentrum in Deutschland, das die Bearbeitung von Titan im Hybrid-Verfahren anbietet.


Premium

Heftarchiv

Abonnenten mit einem Login auf unserer Website erhalten Zugriff auf unseren stetig wachsenden Pool ganzer Ausgaben der dental dialogue.


Anzeige

Fortbildung

Hochwertige Fortbildung

Auf www.teamwork-campus.de finden Sie Anmeldemöglichkeiten zu aktuellen Fortbildungen.


Bookshop

Fachbücher bestellen

Sie finden unser gesamtes Angebot an Fachbüchern für Zahntechnik und Zahnmedizin im Online-Shop.

Laborbericht

Aus dem Labor

24.03.22

Konditionieren, Reinigen, Verkleben

Vorbereiten einer Restauration für die adhäsiven Befestigung

dd Redaktion

06 - Ztm. Simon Stroh: Vor dem Verkleben eines Hybrid-Abutments mit der Titanbasis wird die Oberfläche mit Katana Cleaner gereinigt. So wird eine saubere Grundlage für das langzeitstabile Verkleben geschaffen.

Weitere Beiträge zum Thema

Interview

Aus dem Labor

02.05.24

Handwerk vs. digital – oder das Beste aus beidem?

Die digitale Technologie hat zweifellos einen großen Einfluss auf die Zahntechnik und hat viele Vorteile mit sich gebracht. Manch begeisterter ...

Laborbericht

Aus dem Labor

10.11.23

Funktion macht Erfolg

Ganz. Ästhetisch. Funktionell. – Mit diesem Leitspruch hat sich Plumanns & Enders als führendes Speziallabor für funktionelle Zahntechnik in Düsseldorf ...