Produktnews
Produkte & Lösungen
30.03.22
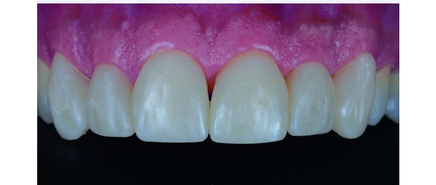
Hohe Ästhetik
Permanente und temporäre Restaurationen aus modernen Compositen
dd Redaktion
Der digitale Workflow in Praxis und Labor bietet zahlreiche Vorteile und ist daher weiter auf dem Vormarsch. Passend dazu werden auch die Materialien für die CAD/CAM-Inhouse-Fertigung stetig verbessert. So überzeugen die nanokeramischen Hybrid-CAD/CAM-Ronden und Blöcke, Grandio blocs und Grandio disc, und die Composite-Ronden und -Blöcke Structur CAD durch ausgezeichnete physikalische Werte und hohe Ästhetik.
Grandio blocs und Grandio disc
Die nanokeramischen Composite Grandio blocs und Grandio disc dienen zur CAD/CAM-Fertigung von permanenten Einzelzahnrestaurationen, wie Kronen, Inlays, Onlays, Veneers und implantatgetragenen Kronen. Grandio blocs und Grandio disc enthalten 86 Gewichtsprozent anorganische Füllstoffe, und damit den höchsten Füllstoffgehalt, in einer Polymermatrix. Es lassen sich mit diesem Werkstoff haltbare Restaurationen mit außerordentlich guten physikalischen Eigenschaften herstellen. Insbesondere die exzellenten physikalischen Werte hinsichtlich Biegefestigkeit und Abrasion zeichnen die Produkte aus, daher eignen sie sich besonders für Zähne, die großen Belastungen ausgesetzt sind. Weiter lässt sich das Material auch bei dünnen Rändern sehr gut schleifen, sodass diese nicht ausbrechen. Grandio blocs sind in zwei Größen (12 und 14 L), Grandio disc in der Größe 98,4 x 15 mm erhältlich. Beide gibt es in zwei Transluzenzstufen (HT und LT) und elf Farben. Bei der Farbbestimmung empfiehlt es sich, die Farbe mithilfe des Vita-Farbsystems am gereinigten und unpräparierten Zahn vor der Anästhesie bei Tageslicht zu ermitteln.
Einfache Verarbeitung
Die Stumpf- bzw. Kavitätenpräparation sollte entsprechend den Regeln für vollkeramische Restaurationen vorgenommen werden. Bei der Herstellung der Restaurationen mit marktüblichen Fräsmaschinen dürfen die Mindeststärken nicht unterschritten werden. Grandio blocs und Grandio disc sind bereits vollständig polymerisiert, weshalb das Composite im Gegensatz zu Keramiken nicht gebrannt werden muss. Mit den gängigen Compositeschleifern, wie mittel, feinen und extra feinen Diamantschleifern, und Compositepolierern werden die Restaurationen ausgearbeitet und poliert. Um einen guten Verbund zu erzielen, wird die Befestigungsfläche der Restauration mit Aluminiumoxid (25 bis 50 µm) bei 1,5 bis 2 bar angestrahlt. Flusssäure oder Phosphorsäure dürfen nicht zum Einsatz kommen. Die vorbehandelte Restauration wird im Ultraschallgerät oder mit Dampf gereinigt. Im Anschluss mit ölfreier Luft trockenblasen. Die Befestigungsfläche wird mit einem Silanhaftvermittler entsprechend der jeweiligen Herstellerangaben behandelt. Mit einem adhäsiven Composite-Befestigungsmaterial in Verbindung mit einem Dentin-Schmelzbond wird die Restauration schließlich eingesetzt. Bei einer geringen Wandstärke von bis zu 2 mm kann ein lichthärtendes, fließfähiges Composite verwendet werden. Alle Restaurationen lassen sich mit Composite auch leicht individualisieren. Dazu die Oberfläche leicht anrauen, beispielsweise mit einem Diamantschleifer. Anschließend wird ein geeignetes Adhäsiv-System nach Anweisung des jeweiligen Herstellers aufgetragen. Im letzten Schritt wird der Bereich ausgearbeitet und poliert.
Structur CAD für Langzeitprovisorien
Structur CAD ist ein Rohling zur Fertigung von hochästhetischen Provisorien sowie Langzeitprovisorien. Die maximale klinische Tragedauer beträgt drei Jahre. Das Material ist als Block (15,5 x 19 x 39 mm) und als Disc (98,4 x 20 mm) in den Vita-Farben A1 bis A3 erhältlich. Es enthält 27 Gewichtsprozent anorganische Füllstoffe in einer Polymermatrix. Durch die Composite-Technologie besitzt es eine gute Abrasionsbeständigkeit und eine hohe Bruchfestigkeit, wodurch es sich sehr gut zur Herstellung von Langzeitprovisorien eignet. Structur CAD ist außerdem fluoreszierend. Die Indikationen reichen von temporären Kronen über temporäre Abutment-Kronen bis hin zu Brücken mit bis zu zwei Zwischengliedern. Neben der Einhaltung der Mindestwandstärken sollte darauf geachtet werden, keine Unterschnitte zu erzeugen. Außerdem sind die Zwischenglieder so zu gestalten, dass deren Höhe mindestens deren Breite entspricht oder diese übersteigt. Structur CAD eignet sich sowohl für die Nass- als auch die Trockenbearbeitung. Für die CAM-Bearbeitung empfiehlt der Hersteller diamantierte Werkzeuge und Composite-Parameter.
Leicht zu individualisieren
Nach der Entnahme der Restauration aus der Fräsmaschine werden die Abstichzapfen mit einem Hartmetallfräser oder einer geeigneten Trennscheibe abgetrennt und die Trennstellen mit feinverzahnten Hartmetallfräsern oder feinen Diamantschleifwerkzeugen verschliffen. Wichtig ist dabei, auf die Kontaktpunkte zu achten. Die Stufe zur Titanbasis bei Abutment-Kronen wird nicht nachbearbeitet. Zur Politur im Labor wird eine Polierpaste mit Ziegenhaarbürsten und Baumwoll- bzw. Lederschwabbel bei geringer Drehzahl verwendet. Die Befestigungsfläche wird, um einen guten Verbund zu gewährleisten, mit Aluminiumoxid (50 bis 100 µm) angestrahlt oder mit einem groben Hartmetallfräser angeraut. Strahlmittelrückstände werden wahlweise mittels Ultraschallbad oder Dampfreiniger entfernt. Anschließend trockenblasen. Die Restaurationen können mit einem provisorischen Zement oder adhäsiv eingesetzt werden. Wird die definitive Versorgung anschließend adhäsiv befestigt, muss eugenolfreier Zement verwendet werden. Für einen mehr als 30 Tage dauernden Verbleib im Mund wird die Restauration mit einem adhäsiven Befestigungsmaterial auf Compositebasis befestigt. Bei der extraoralen Befestigung der Abutment-Krone auf der Titanbasis ist das Vorkonditionieren der Titan-Basis, beispielsweise durch Abstrahlen und Reinigen nach Herstellerangaben, erforderlich. Die Klebefläche der Krone ist mit einem geeigneten Haftvermittler vorzubereiten. Zum Verkleben der Restauration auf der Titan-Basis wird ein geeignetes opakes Befestigungscomposite verwendet. Durch Individualisieren mit einem Composite lassen sich leicht hoch ästhetische temporäre Versorgungen herstellen. Dazu die Oberfläche durch Anschleifen oder Anstrahlen (Aluminiumoxid 50 bis 100 µm bei 1 bis 2 bar) angerauen. Strahlrückstände lassen sich mittels Ultraschallbad oder Dampfreiniger entfernen, anschließend wird die Restauration mit Luft gereinigt. Ein MMA-Primer ist nicht erforderlich. Nach dem Auftragen eines geeigneten Adhäsiv-Systems kann die Restauration beispielsweise mit GrandioSO, Flow oder Heavy Flow in Kombination mit FinalTouch rein lichthärtend schnell und einfach individualisiert werden.
Kontakt
Voco GmbH
Anton-Flettner-Str. 1-3
27472 Cuxhaven
Fon +49 4721 719-0
Freecall 00800 44 444 555
Fax +49 4721 719-109
www.voco.dental
Advertorial
Erweitertes Portfolio mit Hybrid-Workflow
CADdent hat seine Fertigungsverfahren um die hochpräzise HYBRID-Fertigung ergänzt. Diese innovative Fertigungsmethode vereint die Vorteile des LaserMelting-Verfahrens mit der CNC-Technik, und ist somit ideal für teleskopierende sowie okklusal direkt verschraubte Arbeiten geeignet. Besonderes Augenmerk liegt bei der inhouse Weiterentwicklung des Fertigungsverfahren auf der Präzision, so kann CADdent nun eine durchgängige Vestibulärfläche mit einer Dicke von nur 0,4 - 0,5 mm realisieren. Zudem ist CADdent das einzige Fertigungszentrum in Deutschland, das die Bearbeitung von Titan im Hybrid-Verfahren anbietet.
Premium
Heftarchiv
Abonnenten mit einem Login auf unserer Website erhalten Zugriff auf unseren stetig wachsenden Pool ganzer Ausgaben der dental dialogue.
Fortbildung
Hochwertige Fortbildung
Auf www.teamwork-campus.de finden Sie Anmeldemöglichkeiten zu aktuellen Fortbildungen.
Bookshop
Fachbücher bestellen
Sie finden unser gesamtes Angebot an Fachbüchern für Zahntechnik und Zahnmedizin im Online-Shop.
Produktnews
Weitere Beiträge zum Thema
Produktnews
Produkte & Lösungen
20.08.25
Automatisierte Okklusionskorrektur mit KI
Die Firma Promadent aus Nienhagen erweitert ihre BiSS Dental Software Suite: Contact, die Applikation zur automatisierten Okklusionskorrektur mit künstlicher Intelligenz.
Bericht
Produkte & Lösungen
19.08.25
Rotierende Instrumente aus dem Bayerischen Wald
Mit über 45 Jahren Erfahrung in der Herstellung rotierender Dentalinstrumente – davon über 20 Jahre im CAD/CAM-Bereich – zählt acurata ...







