Fachbeitrag
Ästhetik
13.12.22
Hochästhetische Frontzahnrestaurationen
Zirkonoxid mit stufenlosem, schichtfreiem Farb- und Transluzenzverlauf
Zirkonoxid ist aufgrund seiner ausgezeichneten mechanischen Eigenschaften sehr beliebt, doch stellt seine Verarbeitung Zahnärzte wie Zahntechniker vor Herausforderungen. Die Autoren zeigen, wie es ihnen gelungen ist, mit e.max ZirCAD Prime hochästhetische Frontzahnrestaurationen herzustellen.
Seit seiner Einführung wurde Zirkonoxid zunehmend bei einer Vielzahl von Fällen zur Herstellung von zahn- und implantatgestütztem Zahnersatz als Alternative zu weniger ästhetischen Behandlungen mit Metall-Keramik eingesetzt [1]. Die Indikationen reichten von einzelnen bis zu mehreren Einheiten [2]. Restaurationen aus Zirkonoxid zeigen im Allgemeinen bessere mechanische Eigenschaften und Beständigkeit sowie Bruchsicherheit im Vergleich zu anderen vollkeramischen Werkstoffen [3]. Insbesondere weist Zirkonoxid die besten mechanischen Eigenschaften und langfristige Stabilität auf [3]. Allerdings stellten Zirkonoxid-Restaurationen Zahnärzte und Labors vor einige Herausforderungen. Zum Beispiel ist Verwirrung entstanden hinsichtlich der korrekten Zementierungsprotokolle, die wesentlich für den Langzeiterfolg von festsitzenden Voll- und Teilversorgungen (zum Beispiel Inlays, Onlays und Veneers) sind [1]. Verfahren zur adhäsiven Zementierung umfassen mehrere Vorbehandlungsschritte der Klebeflächen mithilfe von Primern oder der Verwendung von selbstklebenden ‧Zementen, die Monomere enthalten [2]. Im Gegensatz dazu haben verblendete Zirkonoxid-Restaurationen erwiesenermaßen länger Erfolg bei konventioneller Zementierung. Darüber hinaus ist die geringe Lichtdurchlässigkeit des Materials und das gräulich-weiße Aussehen häufig kompromittierend für die Ästhetik. Wir verwenden daher eine Verblendkeramik, um naturgetreue optische Eigenschaften zu erzielen [4]. Leider tritt gelegentlich Chipping auf, eine Komplikation, die von vielen Faktoren beeinflusst wird [5]. Eine optimale Ästhetik bei Zirkonoxid-Restaurationen erfordert den Ausgleich von verschiedenen Einflüssen, wie Farbe der Abutments, Zementierungsmaterial, Verblendkeramik, Endbearbeitung und Polieren [5].
Der Fall
Eine Patientin stellte sich mit Verfärbungen vor, die durch die Einnahme von Tetracyclin hervorgerufen worden waren. Außerdem waren zuvor Zirkonoxid-Restaurationen platziert worden (zum Beispiel Veneers auf den Zähnen 13, 12, 22 und 23; Kronen aus Zirkonoxid auf den Zähnen 11 und 21) (Abb. 1 und 2). Sie war sehr unzufrieden mit dem häufigen Verlust der Veneers, was auf das Zirkonoxid-Material sowie die Art der Präparation zurückzuführen sein könnte. Auch wenn es nicht die oberste Priorität für die Patientin hatte, so war sie doch besorgt bezüglich der Stellung ihrer Zähne im Unterkiefer. Auf Grundlage einer umfassenden Untersuchung (intraorale Fotos, Bissregistrierung et cetera) wurden der Patientin drei Behandlungsmöglichkeiten vorgestellt und mit ihr die jeweiligen Vorteile und Nachteile erörtert. Die erste Option, die die Patientin schließlich auch akzeptierte, war das Einsetzen von Vollversorgungen an den Zähnen 14 bis 24 und 46, gefräst aus einem Material mit einer optimalen Abdeckung der Stümpfe (IPS e.max ZirCAD Prime). Die zweite Option beinhaltete die gleiche Art und Anzahl an Restaurationen, auch deren Platzierung blieb gleich, jedoch sollte gleichzeitig eine kieferorthopädische Behandlung des Unterkiefers erfolgen. Die dritte Option beinhaltete die Platzierung von provisorischen Versorgungen, einzelne Vollversorgungen auf den Zähnen 14 bis 24 und 46, eine vollständige kieferorthopädische Behandlung des oberen und unterer Bogens und eine post-orthodontische Platzierung des gleichen Typs und Anzahl der Restaurationen der ersten und der zweiten Option.
Vorbereitung und Provisorien
Da die Patientin zunächst die oberen Zähne behandeln und erst später eine kieferorthopädische Behandlung der Unterkieferzähne wünschte, wurde mit der Behandlung begonnen. Zur Herstellung der provisorischen Versorgungen wurden präoperative analoge Abformungen des Ober- und Unterkiefers genommen. Die vorhandenen Restaurationen wurden entfernt, gereinigt und anschließend Abdrücke derselben erstellt. Ein Wax-up wurde entsprechend des präoperativen Eindrucks erstellt, dieses diente dann als Vorlage für die Erstellung der provisorischen Versorgungen. Nach der Herstellung wurden die Provisorien entfernt, poliert und temporär an Ort und Stelle zementiert. Die Patientin war zufrieden mit den provisorischen Versorgungen (Abb. 3), diese bildeten die Basis für die Gestaltung und Fertigung der endgültigen Versorgungen aus Zirkonoxid IPS e.max ZirCAD Prime.
Vorgehensweise im Labor
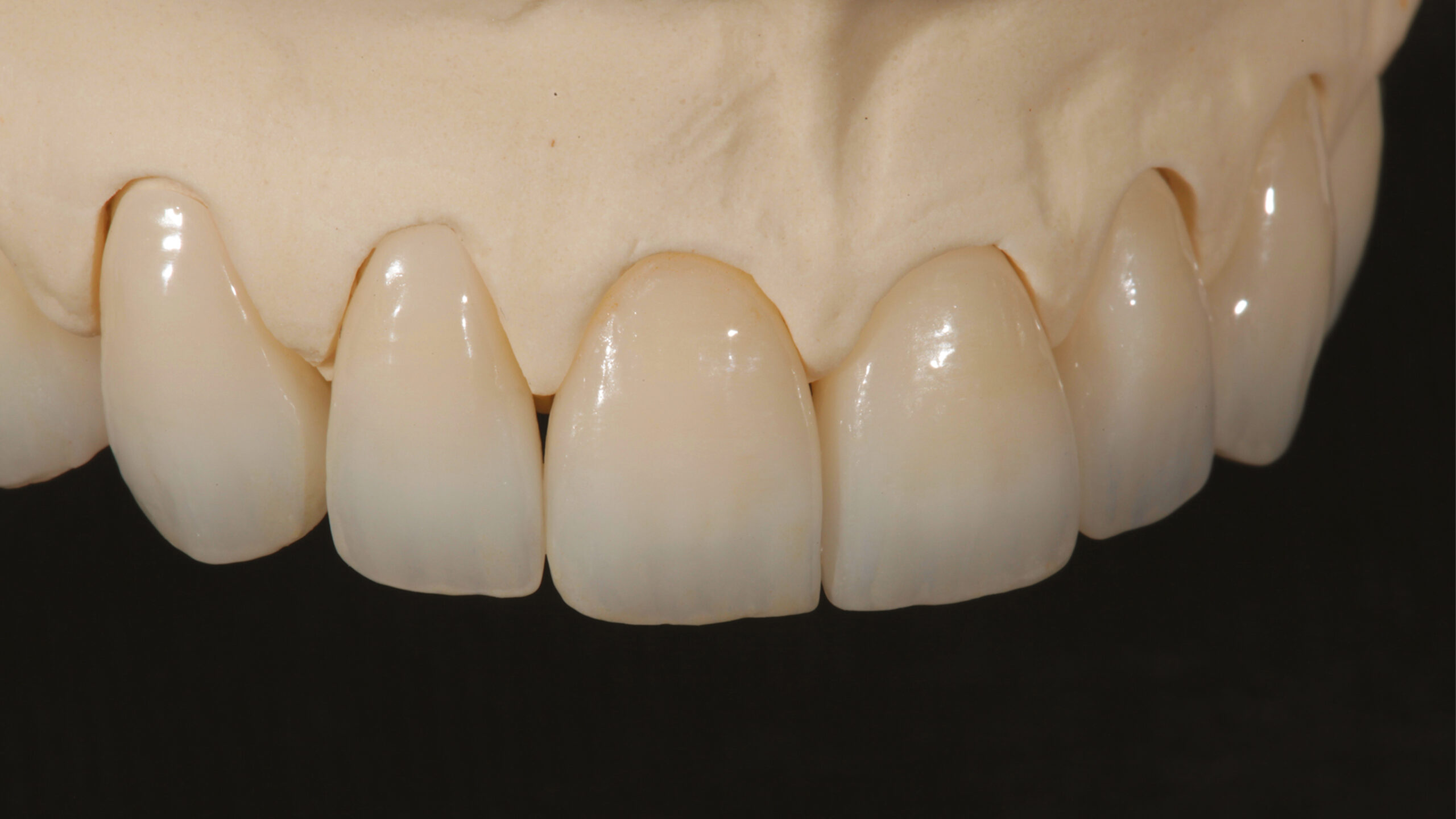
Alle klinischen Informationen, das Wax-up und das Modell der provisorischen Versorgungen wurden an das Labor weitergeleitet. Dort wurde ein analoges Modell der Provisorien angefertigt. Das Modell wurde gescannt und die virtuellen Daten zur Auswahl der idealen Zahnformen aus der Softwarebibliothek genutzt. Anschließend wurde ein digitales Wax-up für die voll‧anatomischen Restaurationen aus IPS e.max ZirCAD Prime (Abb. 4) entworfen. Insbesondere die Farbabstufung der IPS e.max ZirCAD Prime Disc erleichterte die effiziente Herstellung der Frontzahnrestaurationen. Beim Farbton A2, 20 mm, wird die Farbe in der Nähe der A1 abgestuft. Die Disc präsentiert auch eine gewisse inzisal ansteigende Transluzenz (Abb. 5). Sobald der Entwurf fertiggestellt war, wurde ein Modell der Präparate gedruckt, um die Restaurationen nach dem Fräsen zu testen. Nachdem die Passgenauigkeit, die Kontakte und die Form bestätigt worden waren, wurden die Restaurationen gefräst. Nach dem Fräsen (Abb. 6) wurde gesintert (Abb. 7). Das Sintern wurde in diesem Fall früher durchgeführt, um die Eigenfarbe und die Abstufungen der Materialscheibe zu unterstützen. Nach der Sinterung wurden die Kontakte und die Okklusion angepasst und auf dem gedruckten Modell überprüft (Abb. 8). Anschließend wurde Ivocolor Dentin SD2 so dünn wie möglich im Halsbereich aufgetragen. Die Mamelons wurden mit einer Mischung aus Incisal SI1, E01 Weiß und Dentin SD2 supercolour im Bereich der Inzisalkanten hergestellt (Abb. 9). Zuletzt wurde Glasurpaste aufgetragen (Ivocolor Fluo Glasurpaste). Die Restaurationen wurden auf dem Modell platziert, um die Ästhetik zu überprüfen. Mit bloßem Auge erkennt man den stufenlosen Farbverlauf, und die sanften Schattierungen erschienen sehr natürlich (Abb. 10). Werden die Restaurationen von der palatinalen Seite beleuchtet, ist der Verlauf sehr deutlich zu erkennen (Abb. 11). Trotz der Verfärbung der Stümpfe (Abb. 12) sind hochästhetische Versorgungen entstanden, denn die IPS e.max ZirCAD Prime Restaurationen kaschieren die darunterliegende dunkle Farbe (Abb. 13 bis 16).
Fazit
Die vollkeramischen Materialien der neuen Generation (IPS e.max ZirCAD Prime) bieten Keramikern und Zahnärzten die Möglichkeit, langlebige und hochästhetische Versorgungen herzustellen. Sie sind nicht opak wie das traditionelle Zirkonoxid, haben eine mäßige Deckkraft und der Farbverlauf reproduziert die optischen Eigenschaften natürlicher Zähne. Die in diesem Fall dargestellte „Ein-Scheiben-Lösung“ wird den Anforderungen an moderne Vollkeramik-Restaurationen auf dem neuesten Stand der Technik gerecht. Darüber hinaus ist es mit der Einbindung der Färbemethode möglich, die Ästhetik effizient zu verbessern.
Dr. Sam Khayat schloss 2004 sein Postgraduiertenprogramm in Prothetik an der Boston University School of Dental Medicine ab. Nach dem Abschluss des Postgraduiertenprogramms zur Fortbildung in ästhetischer Zahnmedizin an der Tufts Universität, widmet er sich nun seiner Privatpraxis in Hingham, Massachusetts. Er hat ein besonderes Interesse an digitaler Zahnmedizin, ästhetischer Zahnmedizin und der vollständigen Rehabilitation des Gebisses.
Yuki Momma RDT ist Absolvent der Yukioka Dental Technician School in Japan. Nach seinem Abschluss begann er 1998 seine Karriere im Dentallabor Obal. Im Jahr 2000 trat er in die Miyamoto-Zahnklinik ein, wo er direktes Feedback zu jeder durchgeführten Restauration erhielt. Während er in der Klinik arbeitete, setzte er seine Ausbildung im Ausbildungszentrum für Keramik in Osaka fort. Nach Abschluss seiner Ausbildung zog er nach Boston und begann als Keramikmeister im Gnathos Dental Studio in Weston, Massachusetts, zu arbeiten. Er bildete sich sieben Jahre lang zum Keramiker weiter und gründete 2017 das Ceramic Artisan Dental Lab. Seitdem widmet er sich verstärkt der Veröffentlichung von Artikeln und dem Halten von Vorträgen.
Literatur
[1] Blatz MB, Vonderheide M, Conejo J. The Effect of Resin Bonding on Long-Term Success of High-Strength Ceramics. J Dent Res. 2018 Feb;97(2):132–139.
[2] Tartaglia GM, Sidoti E, Sforza C. Seven-year prospective clinical study on zirconia-based single crowns and fixed dental prostheses. Clin Oral Investig. 2015 Jun;19(5):1137–45.
[3] Miyazaki T, Nakamura T, Matsumura H, Ban S, Kobayashi T. Current status of zirconia restoration. J Prosthodont Res. 2013 Oct;57(4):236–61.
[4] Shahmiri R, Standard OC, Hart JN, Sorrell CC. Optical properties of zirconia ceramics for esthetic dental restorations: A systematic review. J Prosthet Dent. 2018 Jan;119(1):36–46.
[5] Tabatabaian F. Color in Zirconia-Based Restorations and Related Factors: A Literature Review. J Prosthodont. 2018 Feb;27(2):201–211.
Fachbeitrag
Weitere Beiträge zum Thema




















