Fachbeitrag
Ästhetik
27.06.24
Frontzahnästhetik zuverlässig auf den Punkt gebrannt
Vita Lumex AC bietet eine reichhaltige Auswahl an Farben und Effekten
Luis Miguel Vera
Wenn zwei unterschiedliche Restaurationsarten in der ästhetischen Zone aufeinanderfolgen, braucht es ein durchdachtes Schichtprotokoll und ein Verblendkeramiksystem für die punktgenaue Umsetzung. Grundlegend müssen sich die jeweiligen Zahnfarben auch in den Keramikmassen wiederfinden und platzierte Effekte auch nach dem Brand dort in der gewünschten Intensität wirken, wo sie angedacht waren.
Nur wenn Anwender sich genau auf diese Punkte verlassen können, ist es möglich, die verschiedenen Schichtstärken unterschiedlicher Restaurationsformen mit der gleichen Farbwirkung zu fertigen. Voraussetzung dafür sind Massen, mit deren fluoreszierendem Maskierungspotenzial sich je nach Platzverhältnissen und Untergrundfarbe flexibel das gleiche Ergebnis erzielen lässt. Im folgenden Fallbeispiel zeigt Zahntechniker Luis Miguel Vera, wie er mit seinem Konzept und dem Verblendkeramiksystem Vita Lumex AC einen solchen Fall punktgenau meisterte.
Der Patientenfall
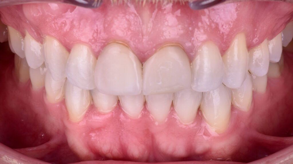
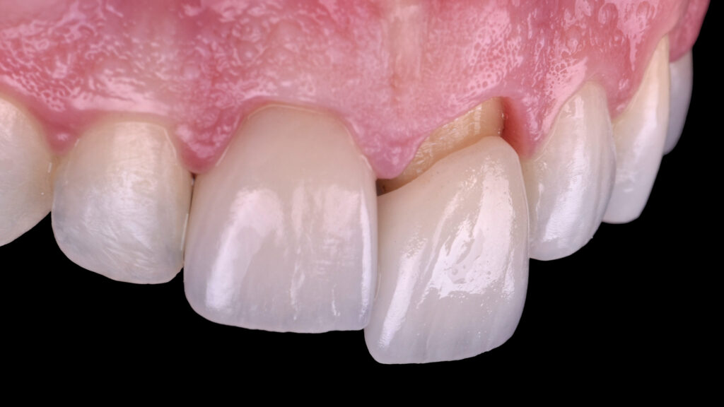
Ein 32-jähriger Patient war mit der Ästhetik seiner mittleren Schneidezähne im Oberkiefer unzufrieden. Nach Kronenfrakturen waren diese direkt mit Komposit aufgebaut worden. Die Zähne wirkten leblos, zeigten eine zu glatte Textur und Morphologie (Abb. 1). Zahn 21 war inzisal zu kurz aufgebaut worden, zervikal zeigten sich Verfärbungen und freiliegende Zahnhälse (Abb. 2). Der Patient wünschte sich eine dauerhafte und natürliche Versorgung der beiden Zähne, die mit der Restbezahnung harmonieren sollte. Aufgrund der wesentlich geringeren Defektgröße und der guten Restmorphologie wurde beschlossen, Zahn 11 mit einem auf feuerfesten Stümpfen gefertigten, minimalinvasiven Veneer zu versorgen. Zahn 21 sollte aufgrund der ausgedehnten Kronenfraktur und der Verfärbungen des Stumpfes mit einem verblendeten Zirkonoxidgerüst rekonstruiert werden, um die nötige Stabilität zu erreichen und zuverlässig zu maskieren.


Zahnfarbbestimmung und Präparation
Die Grundvoraussetzung für die passende Farbwirkung zu den natürlichen Zähnen ist eine absolut präzise Zahnfarbbestimmung. In diesem anspruchsvollen Fall erfolgte diese sowohl digital mit dem Spektrofotometer Vita Easyshade V als auch analog mit dem Vita Linearguide 3D-Master (Abb. 3). Der Farbstandard Vita System 3D-Master deckt den Zahnfarbraum lückenlos ab, weshalb die natürliche Farbwirkung der Zähne in vielen Fällen noch präziser bestimmt werden kann. In diesem Fall wurde eine 2M1 ermittelt. Nach der Präparation wurden die klinische Situation und die ausgewählten beziehungsweise benachbarten Farbmusterstäbchen mit einem Polarisationsfilter fotografisch dokumentiert (Abb. 4). So konnten bei der Reproduktion im Labor auch die unterschiedlichen Stumpffarben berücksichtigt werden. Abschließend wurde die Situation analog abgeformt und ein Meistermodell hergestellt.


Angleichung des Dentinkerns
Das Meistermodell wurde im Laborscanner inEos X5 digitalisiert, um das Zirkonoxidgerüst aus dem opaken und hochfesten Vita YZ T LL1 (light) CAD/CAM-gestützt in der Milling Unit MC X5 (beide Dentsply Sirona) zu fertigen und anschließend zu sintern. Die Schichtung mit Vita Lumex AC begann nach der Passungskontrolle auf dem Zirkonoxidgerüst, um in einem ersten Schritt den natürlichen Dentinkern zu reproduzieren. Mithilfe der präzisen Zahnfarbbestimmung konnte der Dentinkörper von Zahn 11 einfach auf das Zirkonoxidgerüst an 21 übertragen werden. Im Zervikalbereich wurde mit einer chromatischeren Mischung aus Vita Lumex AC Dentine 2M2 (75 %) und hochfluoreszierendem Powerwash LL2 (25 %) gearbeitet, im Bereich der Schneide mit weniger chromatischem Dentine 2M1 (75 %) sowie einer ausgewogenen Mischung aus Fluo Intense sand und sesame (25 %). Der Dentinkern wurde anschließend gebrannt.
Schmelzschichtung und Finalisierung
Aus der Mikroverzahnung der Keramikpartikel resultiert eine optimale Standfestigkeit, weshalb sich Vita Lumex AC im Folgenden sehr detailliert mit dem Pinsel verarbeiten ließ. Die restliche Schmelzschichtung konnte aufgrund des identischen Dentinkerns für beide Versorgungen gleich vorgenommen werden (Abb. 5). Das Veneer an 11 wurde auf einer Platinfolie geschichtet. Im Bereich der Schneide wurde intermittierend mit Enamel fog gearbeitet. Zentral und im Bereich der Leisten wurde mit Translucent light blond geschichtet. Um einen Halo-Effekt zu etablieren, wurde im Bereich der Schneidekante mit einer ausgewogenen Mischung Mamelon honey melon und Translucent sun intense gearbeitet. In einem letzten Schritt erfolgte die dünne Überschichtung der gesamten Oberfläche mit Enamel light. Nach dem letzten Brand wurden beide Restaurationen auf die gleiche Weise ausgearbeitet, um die gleiche Morphologie, Textur und denselben Glanzgrad zu gewährleisten. Das Licht verhielt sich abschließend auf den fertigen Restaurationen und den natürlichen Zähnen gleich.
Eingliederung und Fazit
Die beiden Restaurationen wurden nach der Einprobe (Abb. 6 und 7) mit dem Vita Adiva Full-Adhesive Luting Set definitiv eingegliedert. Bei dem Veneer wurde dabei transluzentes, bei der Krone weiß-opakes Befestigungskomposit verwendet (Abb. 8). Mit der hohen Fluoreszenz der Powerwash- und Fluo Intense-Massen, des Opaque Dentine und auch Base Dentine lässt sich auf einem Gerüst oder einer Platinfolie mit einer Schichtstärke von lediglich 0,3 mm zuverlässig maskieren. So kann verfärbte Zahnhartsubstanz auch mit geringen Schichtstärken geblockt werden. Vita Lumex AC bietet für die Reproduktion von Dentin und Schmelz eine reichhaltige Auswahl an Farben und Effekten, so dass die verbliebene Zahnhartsubstanz immer patientengerecht und brennstabil rekonstruiert werden kann.
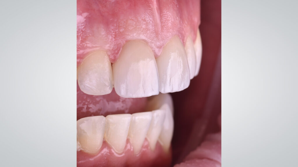
Oberflächentextur und Glanzgrad lassen sich mechanisch sehr einfach einstellen und an die natürliche Zahnhartsubstanz anpassen. Der Wunsch des Patienten konnte so minimalinvasiv erfüllt werden. Er war mit dem Behandlungsergebnis sehr zufrieden (Abb. 9 und 10).






Kontakt
Studio Dental Luis Miguel Vera
Laboratorio dental
Juglar, 3-A, 31
41018 Sevilla/Spanien
Tel. +34 954 920172
macrodentalsl@hotmail.com
Luis Miguel Vera ist seit 1993 Zahntechniker, 1994 erlangte er den Master in Keramik und Implantologie. 1996 gründete er das Laboratorio Macrodental in Sevilla. Heute betreibt er in Sevilla das Studio Dental Luis Miguel Vera. Er ist Mitarbeiter der Zahntechniker-Schulen „Antonio de Solis“ und „Los Viverors“. Seit 2004 ist er Referent der Vita Zahnfabrik und hält nationale und internationale Kurse und Vorträge. Außerdem ist er Referent der Implantatfirmen Mozo Grau, Klockner und Phibo.

Advertorial
Erweitertes Portfolio mit Hybrid-Workflow
CADdent hat seine Fertigungsverfahren um die hochpräzise HYBRID-Fertigung ergänzt. Diese innovative Fertigungsmethode vereint die Vorteile des LaserMelting-Verfahrens mit der CNC-Technik, und ist somit ideal für teleskopierende sowie okklusal direkt verschraubte Arbeiten geeignet. Besonderes Augenmerk liegt bei der inhouse Weiterentwicklung des Fertigungsverfahren auf der Präzision, so kann CADdent nun eine durchgängige Vestibulärfläche mit einer Dicke von nur 0,4 - 0,5 mm realisieren. Zudem ist CADdent das einzige Fertigungszentrum in Deutschland, das die Bearbeitung von Titan im Hybrid-Verfahren anbietet.
Premium
Heftarchiv
Abonnenten mit einem Login auf unserer Website erhalten Zugriff auf unseren stetig wachsenden Pool ganzer Ausgaben der dental dialogue.
Fortbildung
Hochwertige Fortbildung
Auf www.teamwork-campus.de finden Sie Anmeldemöglichkeiten zu aktuellen Fortbildungen.
Bookshop
Fachbücher bestellen
Sie finden unser gesamtes Angebot an Fachbüchern für Zahntechnik und Zahnmedizin im Online-Shop.
Fachbeitrag
Weitere Beiträge zum Thema
Fall
Ästhetik
22.07.25
Zeitlose Werte: Teamarbeit in der ästhetischen Zahnmedizin
Wie dieser Fallbericht zeigt, ist in der ästhetisch-funktionellen Zahnmedizin ein profundes Verständnis für feine ästhetische Nuancen unerlässlich. Zudem unterstreicht der ...
Fachbeitrag
Ästhetik
03.06.25
Hauchdünn und gestochen scharf
Wie im CAD/CAM-Workflow und mit der Feinstruktur-Feldspatkeramik Vitablocs TriLuxe forte eine Fertigung von grazilen Non-Prep-Veneers gelingt, zeigt in diesem Beitrag ...


