Fachbeitrag
Ästhetik
23.03.22
Dinâmica Da Luz
Individuell geschichtete Veneerversorgungen mit exzellenter Lichtdynamik
Ästhetik, Einzelzahnversorgung, Lichtdynamik, Minimalinvasiv, Mock-up, Noninvasiv, Veneers, Verblendkeramik, Wax-up
Marcio Breda
Die meisten Tools für die Herstellung von Veneers sind bekannt. Insbesondere bei ästhetisch motivierten Behandlungen spielen Vorabvisualisierung und Planungssicherheit eine wichtige Rolle. Doch auch dem verwendeten Keramiksystem kommt eine große Bedeutung zu. Insbesondere bei begrenzten Platzverhältnissen sind die lichtdynamischen Eigenschaften einer Keramik essenziell wichtig. Marcio Breda demonstriert anhand der Lösung eines Patientenfalls, welchen Einfluss die Verwendung einer Verblendkeramik wie der Vita VMK Master auf das Behandlungsergebnis hat.
Bei kosmetisch motivierten Veneerrekonstruktionen in der Front ist während der Planungsphase der intensive Dialog mit den Patienten ein zentraler Schlüsselfaktor für den Behandlungserfolg. Wax-up und Mock-up helfen dabei, zielgerichtet und effizient die gewünschte Morphologie der Soll-Situation zu simulieren und zu visualisieren. Ferner unterstützt das Mock-up den Behandler bei der minimalinvasiven Präparation. Die Herstellung patientenindividueller Veneers mittels Schichttechnik auf feuerfesten Stümpfen sorgt für ein äußerst naturnahes und lebendiges Ergebnis. Dafür muss dem Techniker jedoch ein Verblendkeramiksystem zur Verfügung stehen, mit dem sich das Chroma, Transluzenz, Opaleszenz und Fluoreszenz gezielt steuern und reproduzieren lassen. Der Zahntechniker Marcio Breda geht anhand des folgenden Fallbeispiels auf die Herstellung hochindividueller Veneers mit der Vita VMK Master-Verblendkeramik ein. Diese Keramik sorgt für Ergebnisse mit einer exzellenten Lichtdynamik.
Klinische Ausgangssituation
Die zum Zeitpunkt der Behandlung 38-jährige Patientin wurde in der Zahnarztpraxis von Dr. Rafael Ballista vorstellig, da sie mit dem ästhetischen Erscheinungsbild ihrer Oberkieferfrontzähne unzufrieden war. Nach multiplen Füllungstherapien mit Komposit wirkte die Oberkieferfront leblos und strukturlos. Der Inzisalkantenverlauf befand sich von Zahn 13 auf 23 auf einer Linie, was unnatürlich wirkte. Die mittleren Schneidezähne zeigten ein unterschiedliches Längen-Breiten-Verhältnis (Abb. 1). Beim Lächeln fiel auf, dass der bukkale Korridor beidseitig zu stark ausgeprägt war, weshalb der Oberkiefer im Verhältnis zur Mundbreite zu klein wirkte (Abb. 2). Nach eingehender Beratung entschied sich die Patientin für eine Rehabilitation der ästhetischen Zone mit individuell auf feuerfesten Stümpfen geschichteten Veneers aus der Vita VMK Master-Verblendkeramik.
Planungsphase und Präparation
Nach der Abformung wurden Situationsmodelle angefertigt und in habitueller Interkuspidation artikuliert. Es folgte ein ästhetisches Wax-up im Oberkiefer, das mit einem Silikonschlüssel gesichert und darüber dann mittels provisorischen Kronen- und Brückenmaterials in den Mund der Patientin übertragen wurde. Um den bukkalen Korridor mehr aufzufüllen, erstreckte sich das Mock-up von Zahn 16 auf Zahn 24. Nachdem einige Feinheiten im Dialog mit der Patientin additiv und subtraktiv angepasst worden waren, wurde die Situation überabgeformt. Nach lokaler Anästhesie folgte die Präparation durch das Mock-up hindurch. So wird wirklich nur so viel entfernt, wie für die ästhetische Korrektur notwendig. Es war das erklärte Ziel, die Patientin im Schmelzbereich non- beziehungsweise minimalinvasiv zu versorgen. Der Oberkiefer wurde abgeformt und auf dieser Basis ein Meistermodell mit feuerfesten Stümpfen der zu versorgenden Zähne hergestellt (Abb. 3).
Hochindividuelle Veneerschichtung
Für den initialen Schichtaufbau kamen im zervikalen Bereich Vita VMK Master Dentine A1 und im Inzisalbereich Dentine A1 und neutrales Translucent 4 (T4) zum Einsatz. Nach dem Brand wurde über die gesamte Fläche Dentine A1 geschichtet und ein Cut-back durchgeführt (Abb. 4). Anschließend wurden im Mamelonbereich farbintensiver Dentine Modifier 2 (creme) und weißliches T1 in einer Drei-zu-eins-Mischung über das Dentine A1 geschichtet. Inzisal wurde mit hellblauem T5 und grauem T7 sowie zentral mit einer Zwei-zu-eins-Mischung aus weißlichem Enamel 1 und neutralem T4 gearbeitet und das Schichtergebnis gebrannt (Abb. 5). In einem nächsten Schritt entstand auf der kompletten Fläche eine ausgewogene Mischung aus neutralem Window, T4 und opaleszierendem Opal Translucent 1. Um einen Halo-Effekt zu integrieren, wurde auf die inzisale Schneidekante Dentine A2 aufgetragen. Lateral und zentral wurde zur gezielten Aufhellung des Dentinkörpers abschließend mit PLT1 (perlmuttcreme) geschichtet.
Finale Eingliederung und Endergebnis
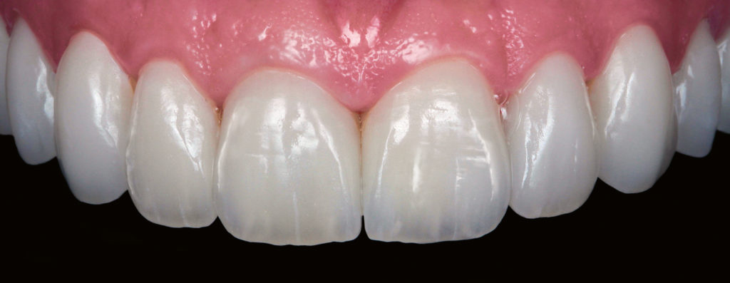
Nach dem abschließenden Brand wurden die elf Veneers vorsichtig ausgearbeitet und poliert (Abb. 6 und 7). Im Rahmen der klinischen Einprobe mit Glyceringel zeigte sich die Patientin sofort begeistert von ihrem neuen Erscheinungsbild. Somit konnte der Kofferdam angelegt und mit der Konditionierung der Klebeflächen der Veneers mit Flusssäure und Silan begonnen werden konnte (Abb. 8 und 9). Nachdem der vestibuläre Schmelz der Zähne sukzessive mit Phosphorsäure geätzt worden war, wurde jeweils das Adhäsiv Clearfil SE Bond aufgetragen und ausgehend vom zweiten Quadranten ein Veneer nach dem anderen mit Befestigungskomposit eingegliedert (Abb. 19 und 11). Das Ergebnis überzeugte alle an der Restauration Beteiligten, und insbesondere die Patientin war mit ihren neuen Zähnen sehr glücklich (Abb. 12 bis 14). Die Veneers wirken absolut natürlich und überzeugen durch ein ausgewogenes Farb- und Lichtspiel.
Fazit
Insbesondere wenn es darum geht, rein ästhetischen Bedürfnissen der Patienten gerecht zu werden, muss das Behandlerteam einen Spagat vollziehen. Da eine ästhetische Korrektur oftmals nicht ohne Präparation möglich ist, muss mit Bedacht und somit möglichst minimalinvasiv vorgegangen werden. Es gilt, mit so wenig Manipulation wie möglich so viel Veränderung wie nötig zu erreichen. Dies hat zur Folge, dass dem Zahntechniker für die Formkorrektur nur sehr wenig Platz zur Verfügung steht – ein Umstand, dem mit entsprechendem Material begegnet werden kann. Die zur Lösung dieses Veneerfalls gewählte natürliche Feldspat-Verblendkeramik Vita VMK Master-Schichtkeramik bringt dafür die nötigen lichtdynamischen Eigenschaften mit, um selbst bei geringsten Platzverhältnissen für ein lebendiges Gesamtbild zu sorgen.
Vita
Marcio Breda ist Zahntechniker und seit 1989 selbstständig. Sein aktuelles Labor „Laboratório Manzoli“ befindet sich in Vitória-ES (Espírito Santo), Brasilien. Breda ist auf Keramikverblendung und anspruchsvolle Ästhetik spezialisiert. Seinen Abschluss machte er an der Facultad de FAESA (Facultad de Administración Espíritu-Santense). Er ist Autor und Co-Autor vieler nationaler und internationaler Veröffentlichungen zu den Themen Ästhetik und Implantologie, unter anderem im „The Journal of Prosthetic Dentistry“ (JPD). Zudem referiert Marcio Breda für die Vita Zahnfabrik in Lateinamerika. Zurzeit leitet er zusätzlich das Bildungsinstitut „Centro de Estudios y formación“.
Advertorial
Erweitertes Portfolio mit Hybrid-Workflow
CADdent hat seine Fertigungsverfahren um die hochpräzise HYBRID-Fertigung ergänzt. Diese innovative Fertigungsmethode vereint die Vorteile des LaserMelting-Verfahrens mit der CNC-Technik, und ist somit ideal für teleskopierende sowie okklusal direkt verschraubte Arbeiten geeignet. Besonderes Augenmerk liegt bei der inhouse Weiterentwicklung des Fertigungsverfahren auf der Präzision, so kann CADdent nun eine durchgängige Vestibulärfläche mit einer Dicke von nur 0,4 - 0,5 mm realisieren. Zudem ist CADdent das einzige Fertigungszentrum in Deutschland, das die Bearbeitung von Titan im Hybrid-Verfahren anbietet.
Premium
Heftarchiv
Abonnenten mit einem Login auf unserer Website erhalten Zugriff auf unseren stetig wachsenden Pool ganzer Ausgaben der dental dialogue.
Fortbildung
Hochwertige Fortbildung
Auf www.teamwork-campus.de finden Sie Anmeldemöglichkeiten zu aktuellen Fortbildungen.
Bookshop
Fachbücher bestellen
Sie finden unser gesamtes Angebot an Fachbüchern für Zahntechnik und Zahnmedizin im Online-Shop.
Fachbeitrag
Ästhetik
23.03.22
Dinâmica Da Luz
Individuell geschichtete Veneerversorgungen mit exzellenter Lichtdynamik
Ästhetik, Einzelzahnversorgung, Lichtdynamik, Minimalinvasiv, Mock-up, Noninvasiv, Veneers, Verblendkeramik, Wax-up
Marcio Breda
Vita
Marcio Breda ist Zahntechniker und seit 1989 selbstständig. Sein aktuelles Labor „Laboratório Manzoli“ befindet sich in Vitória-ES (Espírito Santo), Brasilien. Breda ist auf Keramikverblendung und anspruchsvolle Ästhetik spezialisiert. Seinen Abschluss machte er an der Facultad de FAESA (Facultad de Administración Espíritu-Santense). Er ist Autor und Co-Autor vieler nationaler und internationaler Veröffentlichungen zu den Themen Ästhetik und Implantologie, unter anderem im „The Journal of Prosthetic Dentistry“ (JPD). Zudem referiert Marcio Breda für die Vita Zahnfabrik in Lateinamerika. Zurzeit leitet er zusätzlich das Bildungsinstitut „Centro de Estudios y formación“.
Weitere Beiträge zum Thema
Fall
Ästhetik
22.07.25
Zeitlose Werte: Teamarbeit in der ästhetischen Zahnmedizin
Wie dieser Fallbericht zeigt, ist in der ästhetisch-funktionellen Zahnmedizin ein profundes Verständnis für feine ästhetische Nuancen unerlässlich. Zudem unterstreicht der ...
Fachbeitrag
Ästhetik
03.06.25
Hauchdünn und gestochen scharf
Wie im CAD/CAM-Workflow und mit der Feinstruktur-Feldspatkeramik Vitablocs TriLuxe forte eine Fertigung von grazilen Non-Prep-Veneers gelingt, zeigt in diesem Beitrag ...














