Fachbeitrag
Implantatprothetik
21.02.24
Digitale Zahntechnik auf dem Vormarsch
Computergestützte Strategien für ästhetisch hochwertige Ergebnisse in der Implantologie
Konventionelle Abformungen, das Arbeiten mit Gipsmodellen oder die Herstellung von Suprastrukturen im klassischen Wachs- und Einbettverfahren mögen zwar teils noch zum täglichen Arbeitsablauf im Dentallabor gehören, verlieren aber zunehmend an Relevanz. Hingegen gewinnt die digitale Zahntechnik zunehmend an Bedeutung. Die Zahl der Anwender wächst rasant, denn computergestützte Verfahren bieten gleichbleibende Präzision und reproduzierbare Ergebnisse in einem optimierten Prozess.
Dabei entstehen Fortschritte auf verschiedenen Plattformen, die synergetisch genutzt werden können. So eröffnen digitale Technologien neue Horizonte in der Prothetik, Implantologie und Zahntechnik. Insbesondere die Implantologie bzw. Implantatprothetik ist ein spannendes Feld. Hier hat die Etablierung der CAD/CAM-Technologie den Weg für implantatgetragene Restaurationen geebnet, die mit Unterstützung subtraktiver (Frästechnik) und additiver Verfahren (3D-Druck) entstehen können. Dieser Artikel beleuchtet die Integration individueller Patientendaten in den digitalen Workflow und die Zusammenarbeit im interdisziplinären Behandlungs- bzw. Arbeitsteam. Vorgestellt wird ein herausfordernder Patientenfall im ästhetischen Frontzahnbereich. Die Kombination aus digitalen Strategien, interdisziplinärer Zusammenarbeit und manueller Expertise führt zu präzisen und reproduzierbaren Ergebnissen.
Behandlungsziel und Herausforderung
Eine der Herausforderungen implantatprothetischer Versorgung im Frontzahnbereich ist das natürliche Erscheinungsbild im periimplantären Bereich. Im dargestellten Fall soll der zu extrahierende seitliche Schneidezahn regio 12 (Milchzahn 52) implantatprothetisch versorgt und das Diastema auf der Gegenseite (Mikrodontie Zahn 22) mit einem vollkeramischen Veneer geschlossen werden. Analoges Handwerk und konservative Herstellungsweise treffen auf digitale Verfahren. In regio 12 soll eine Implantatkrone aus Zirkonoxid angefertigt und ein natürliches Erscheinungsbild des Weichgewebes erzielt werden. Aufgrund der exponierten Lage ist die Herausforderung hoch.
Eine erfolgreiche implantatprothetische Versorgung ist nur gegeben, wenn eine funktionelle und biologische Integration durch eine perfekte Rot-Weiß-Ästhetik erreicht werden kann. Beschrieben wird der chronologische Ablauf der analogen Herstellung des Veneers für Zahn 22 und der digitale Weg zur Einzelimplantat-Restauration regio 12. Die provisorische Versorgung soll der Praxis übergeben werden, bevor der Zahnarzt mit dem operativen Vorgehen beginnt. Der erste chirurgische Schritt ist die Insertion des digital geplanten Implantats und die sofortige provisorische Versorgung mit einer CAD/CAM-gefertigten PMMA-Restauration.
Prothetische Ausgangssituation
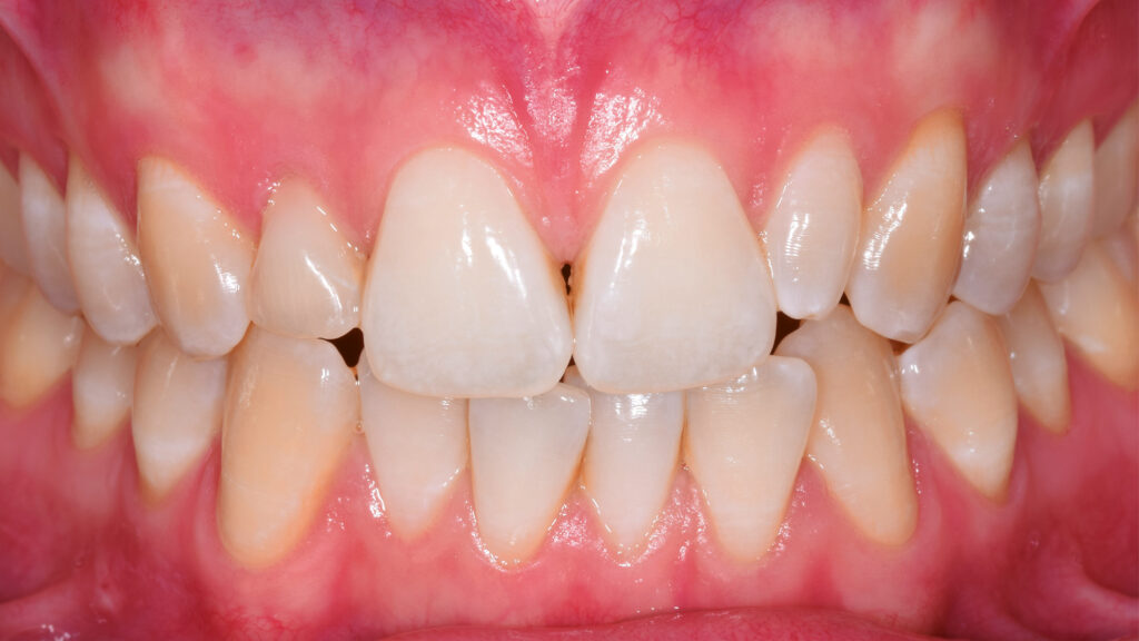
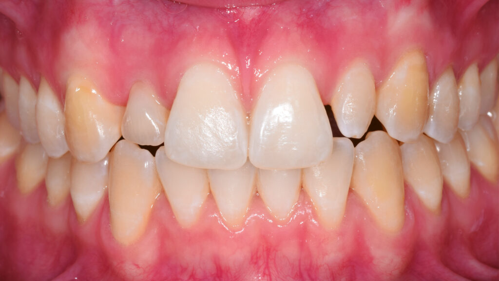
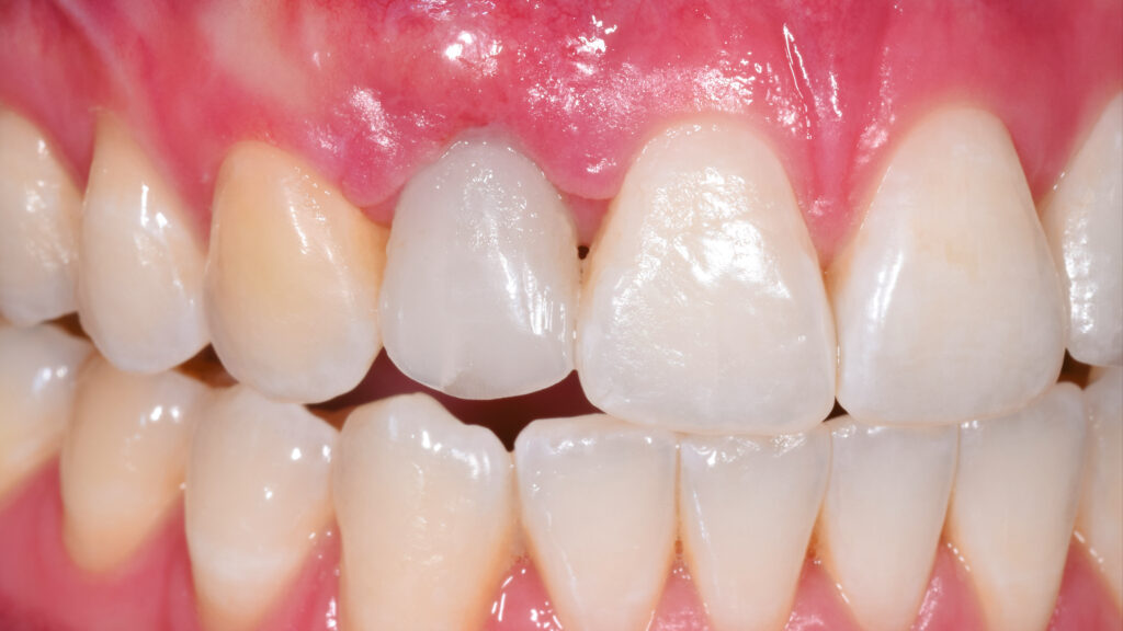
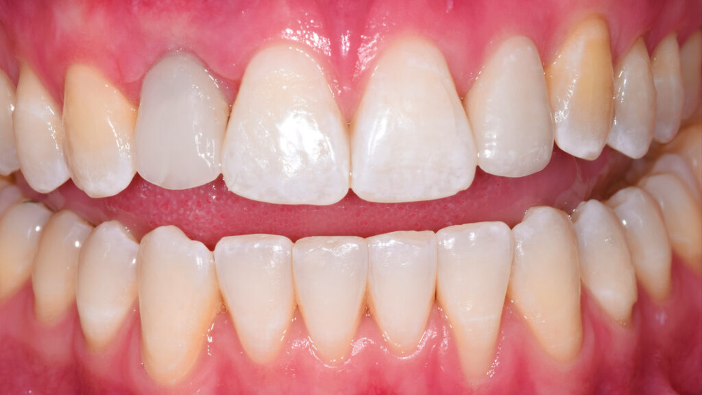
Ein Blick auf die Ausgangssituation (Abb. 1) verdeutlicht die Problematik bei diesem jungen Patienten. Der Milchzahn in regio 12 ist stark verfärbt. Zusätzlich beeinträchtigt der verkleinerte Zahn 22 (Mikrodontie) das ästhetische Bild. Auch der Gingivaverlauf erscheint unharmonisch. Abbildung 2 zeigt die Situation nach kieferorthopädischer Erstbehandlung. Während dieser Behandlungsphase konnte im Frontzahnbereich Platz für das Implantat (TiUltra, Nobel Biocare, Zürich, Schweiz) regio 12 und für das Keramikveneer an Zahn 22 geschaffen werden. Dies bildet die Grundlage für ein natürliches und harmonisches Erscheinungsbild.
Beim ersten Behandlungstermin wird die Patientensituation mittels DVT/CT (Abb. 3 und 4), intraoralem Scan und klinischen Bildern digital erfasst. Der digitale Workflow von DTX Studio Implant und DTX Studio Lab (Nobel Biocare, Zürich, Schweiz) optimiert die Zusammenarbeit und Kommunikation zwischen den Behandlungspartnern und steigert gleichzeitig die Effizienz der Behandlung. Bei der computergestützten Implantatchirurgie arbeitet der Chirurg mit Software und digitaler Bildgebungstechnologie, um das Implantat effizient und präzise zu inserieren. Zu den Technologien, die in der computergestützten Implantatchirurgie eingesetzt werden, gehören: 3D-Bildgebung, DVT-Scans (Cone Beam Computed Tomography), CAD/CAM-Bildgebung und digitales Röntgen.
Modellherstellung im Labor
Einer der Vorteile bei der Arbeit mit dem Intraoralscanner ist, dass die digitale Erfassung bei maximaler Okklusion erfolgen kann. Zudem kann die STL-Datei direkt an das Labor übermittelt werden. Die Konstruktion des virtuellen Modells erfolgt mit der Software DTX Studio Design. Anschließend werden die STL-Dateien exportiert und mit einem 3D-Drucker physische Modelle hergestellt (Abb. 5). Um die gescannte Okklusion wiederherstellen zu können, werden die STL-Dateien von Ober- und Unterkiefer getrennt gedruckt. Auf dem Modell wird der Milchzahn regio 12 „extrahiert“ und der periimplantäre Gingivaverlauf ideal gestaltet (Abb. 6 und 7). Höhe und Form des gegenüberliegenden seitlichen Schneidezahns dienen als Vorlage.
Digitales Set-up (DTX Studio)
Nachdem Zahn 12 auf dem gedruckten Modell entfernt worden ist, kann das Modell mit dem Laborscanner (KaVo LS3) digitalisiert und ein Design-Setup am Bildschirm konstruiert werden (Abb. 8). Die Software-Bibliothek bietet eine breite Auswahl an Zähne in verschiedenen Formen sowie Größen und erlaubt eine Zahnaufstellung in optimaler Position (Abb. 9 und 10). Diese Vorgehensweise spart Zeit und ermöglicht noch mehr ästhetische Kreativität. Der KaVo LS3-Desktop-Scanner ist für die Planung von Implantatversorgungen mit DTX Studio verbunden. DTX Studio ist eine digitale Plattform, die Diagnose und Behandlung verbindet und die Kommunikation im Behandlungsteam optimiert.
Herstellung des Eierschalen-Provisorium (TempShell)
Die STL-Datei der provisorischen Implantatkrone wird automatisch erzeugt, ein TempShell (Eierschalenprovisorium) konstruiert und die STL-Datei exportiert. TempShell ist ein verschraubtes Provisorium, das noch am Tag des chirurgischen Eingriffs eingesetzt werden kann. Es wird für jeden Patienten digital erstellt und kann mit DTX Studio Suite einfach an die Implantatposition angepasst werden. Anhand des Datensatzes wird CAD/CAM-gestützt das Provisorium aus PMMA gefräst (Abb. 11). Das gefräste Provisorium (TempShell) hat zwei Flügel. Diese sorgen für die richtige Position und Stabilität im Mund (Abb. 12 und 13). Durch On-Screen-Design-Verfahren passt das Provisorium perfekt auf das gedruckte Modell und in den vorgeschliffenen Gingivaverlauf (Abb. 14).
Old school, old fashion?
Vita Ambria-Workflow
Vollkeramische Veneers sind eine konservative und langlebige ästhetische Lösung, die ein fein abgestimmtes handwerkliches Können erfordert, insbesondere bei minimalinvasiven oder Non-prep-Lösungen, die hauchdünn und mit großer Sorgfalt hergestellt werden. Non-prep-Veneers eignen sich besonders für den Verschluss kleiner bis mittelgroßer Lücken (Diastema) ohne jegliche Präparation. Der Diastemaschluss ist wohl eine der klassischsten Indikationen. Auch in diesem Fall ist ein Non-prep Veneer die ideale Lösung. Der Patient wünscht eine hellere Farbe, die mit dieser Technik zuverlässig erreicht werden kann.
Materialwahl
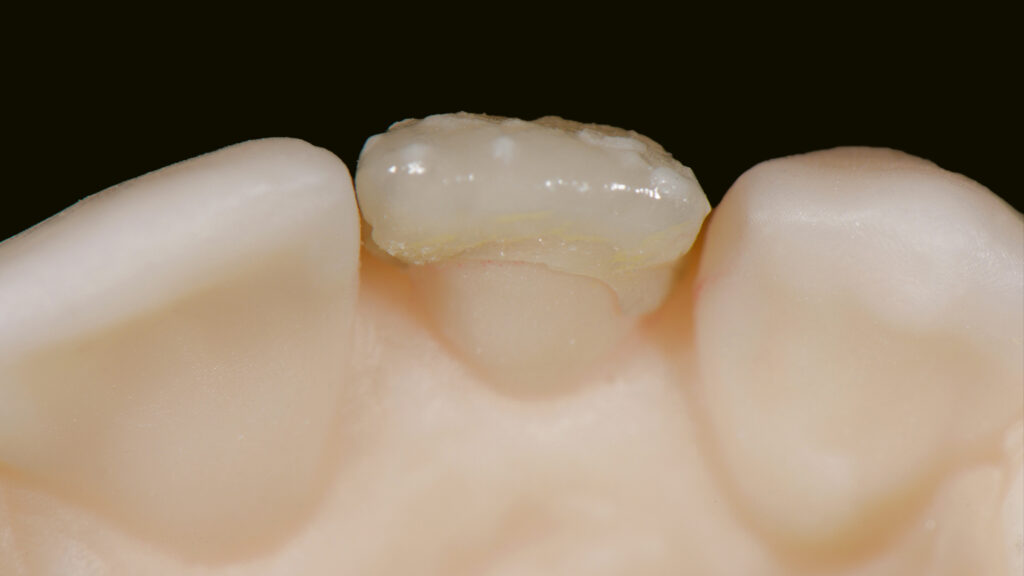
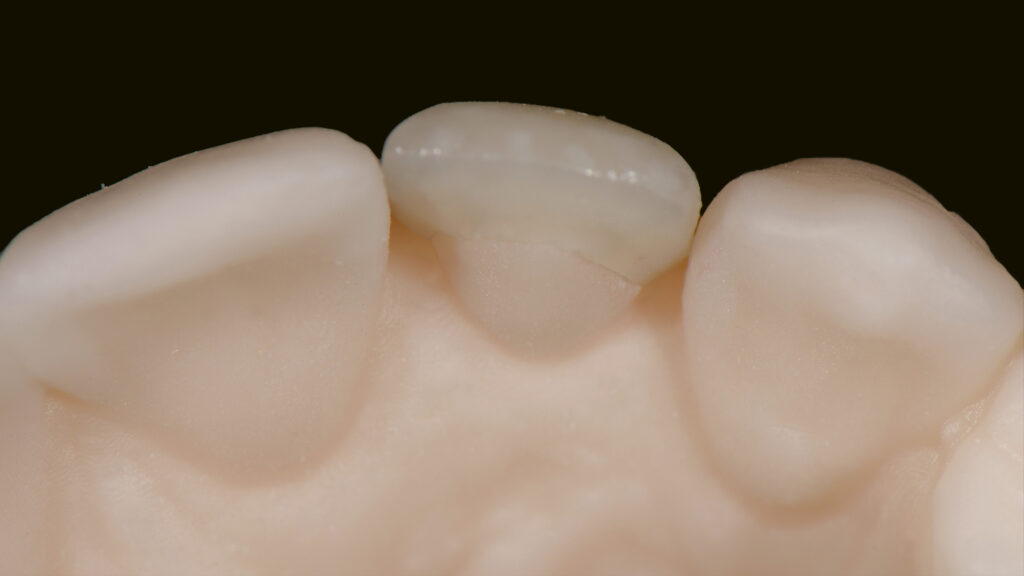
Vita Ambria (Vita Zahnfabrik, Bad Säckingen) ist ein mit Zirkonoxid verstärktes Lithiumdisilikat mit hoher Festigkeit (>500 Mpa), das in der Presstechnik verarbeitet wird. Die Keramik eignet sich besonders für die effiziente Herstellung von hochästhetischen, langlebigen Restaurationen wie Overlays und Teilkronen. Das Presskeramik-System enthält Presspellets in den Transluzenzstufen T (transluzent) und HT (hochtransluzent) (Abb. 15). Ein Vorteil ist, dass die aus Vita Ambria gepresste Restauration vollanatomisch und monolithisch bemalt und glasiert oder mit der Verblendkeramik Vita Lumex AC (Vita Zahnfabrik) fertiggestellt werden kann. Nach dem Modellieren des hauchdünnen Käppchens (Abb. 16) und dem Pressen erfolgt das Ausbetten der Keramikschale. Die minimale Reaktionsschicht kann mit geringem Druck (2 bar) abgestrahlt werden, so dass passgenaue Ergebnisse effizient erzielt werden. Da die Schale in der Farbe A1 (HT-Rohling) gepresst wurde (Abb. 17) und die Schichtstärke nur 0,2 bis 0,3 mm beträgt, wirkt sie sehr transluzent (Abb. 18). Es folgt die Verblendung mit Vita Lumex AC. Hier zeigt sich ein weiterer Vorteil für die Umsetzung dieses Falles. Denn die Verblendkeramik kann auch auf Zirkonoxidgerüsten verwendet werden. Vita Lumex AC ist eine leutzitverstärkte Glaskeramik zur Verblendung vollkeramischer Gerüste aus Zirkondioxid-, Lithiumdisilikat- und Feldspatkeramik sowie zur Herstellung von keramischen Veneers.
Individuelle Minimal-Schichtung
Vor dem Brand wird etwas „Smoky White“ auf das Käppchen gestreut, um den Helligkeitswert zu erhöhen (Abb. 19). Eine Aufnahme unter UV-Licht verdeutlicht die Fluoreszenz der gestreuten Keramikmasse (Abb. 20). Die Vorteile der Streutechnik sind keine Erfindung von uns. Vielmehr hat uns unser Kollege und Freund Oliver Brix darauf hingewiesen, wie solche Käppchen vorbehandelt werden können, um eine bessere Tiefenwirkung zu erzielen. Für den ersten Hauptbrand wird interdental/zervikal eine dünne Schicht Effekt-Chroma aufgetragen und die anatomische Form mit etwas Dentin A1 ergänzt. Nach einem Cutback (Abb. 21) des inzisalen Drittels wird eine Mischung aus Schneidemasse sowie „Light“- und „Waterdrop“-Masse (tranzluzente blau/graue Masse) im Verhältnis 1:1 als Schneideteller aufgebaut (Abb. 22). Auf Opakdentin wurde aus Platzgründen und zur besseren Sichtbarkeit der natürlichen Zahnfarbe verzichtet. Die dünne Kappe bietet genügend Transluzenz und Helligkeit, um mit einer dünnen Schicht Verblendkeramik die gewünschte Helligkeit, Sättigung und Farbe zu erzielen. Die Individualisierung der Inzisalkante erfolgt mit der wärmeren und fluoreszierenden Keramik „Saffron“, die mit Interno Liquid angemischt wird (Abb. 23). Vorteil dieser Mischung ist, dass das Liquid die Masse besser einfärbt und so die Sättigung mit bloßem Auge kontrolliert werden kann. Außerdem ist die angemischte Masse sehr plastisch und lässt sich kontrolliert auf den Inzisalteller auftragen. Zur Imitation von weißlichen Kalkflecken wird „Smoky White“ mit Interno Liquid angemischt und mit dem Pinsel in die Schneidemasse eingearbeitet (Abb. 24). Nach dem ersten Brand der minimalen Schichtung sind alle Merkmale gut sichtbar. Wie in der Natur kommen sie aus der Tiefe (Abb. 25 bis 27).
Beim zweiten Brand wird die minimale Schichtung mit „Tranzluzent Clear“ ergänzt, um eine Art Filtereffekt zu erzeugen. Dies simuliert einen 3D-Effekt (Envelope-Technik), der feine Details aus der Tiefe erscheinen lässt. Der distale Kontaktpunkt wird mit etwas Dentin aufgebaut (Abb. 28). Das Gerüst wurde aus einem HT-Rohling gepresst, um einen Chamäleoneffekt zu erzielen. Dies ist mit transparenten Massen gut möglich. Dieses Vorgehen sollte jedoch nur dann gewählt werden, wenn keine Farbveränderungen (z. B. bei verfärbten Zähnen) gewünscht sind. Grundsätzlich erspart ein detaillierter Auftrag der Keramikmassen ein aufwendiges Beschleifen der Keramikrestauration im Nachhinein (Abb. 29).
Nach dem zweiten Brand wird die Form kontrolliert, um dann auf dem ungesägten Modell die Kontaktflächen und die Ausbildung der Leisten zu überprüfen (Abb. 30 und 31). Die labialen und distalen Leisten definieren die Dimension und die Grundform des Zahnes (Abb. 32). Abschließend wird das Veneer fertiggestellt; es erfolgt ein Glanzbrand (Abb. 33). Die Feinabstimmung des Glanzgrades bei Einzelkronen ist ebenso wichtig wie alle anderen Parameter (z. B. Helligkeit, Sättigung, Farbe). Um einen matten Glanz zu erzielen, wird in diesem Fall eine kürzere Haltezeit von 30 Sekunden und eine niedrigere Endtemperatur von 745°C gewählt. Ein zu hoher Glanzgrad würde den künstlichen Zahn „verraten“. Die Oberflächenstruktur ist patientenspezifisch. In die Zahnoberfläche werden Perkymatien – feine horizontale Wachstumsrillen – eingearbeitet, die mit den Jahresringen eines Baumes vergleichbar sind. Es ist wichtig, die Oberflächentextur dem Restgebiss anzupassen. Auf der Oberfläche entstehen durch die Lichtstreuung der Mikrostruktur bestimmte Lichtreflexe (Abb. 34). Die Natur macht es vor: Durch die Beschichtung der keramischen Restauration mit Goldpulver werden die natürlichen Makro- und Mikrostrukturen deutlich sichtbar (Abb. 35). Zudem macht eine „polar_eyes“-Aufnahme (Kreuzpolfilter) die keramische Schichtung im Zahninneren sichtbar (Abb. 36). Die Aufnahme zeigt die natürliche Fluoreszenz und insbesondere die mit „Smoky White” erzielte Imitation der Kalkflecken (Abb. 37). Dem Einsetzen des Keramikveneers 22 schließt sich die implantologische Therapie regio 12 an.
Paradigmenwechsel:
Virtuelle Implantologie
In der Zahnarztpraxis wird der Milchzahn schonend extrahiert und das TempShell-Provisorium mit seinen zwei Flügeln im Mund des Patienten einprobiert (Abb. 38). Nach der Sofortimplantation des Implantates regio 12 erfolgt eine Konturverbesserung, die im Rahmen der Freilegung korrigierend zur Weichgewebsverdickung vorgenommen wird. Dadurch soll ein graues Durchschimmern des Titans verhindert werden (Abb. 39). Einige Wochen später kommt der Patient zur Kontrolle in die Praxis. Die Heilung der Gingiva ist gut. Das Gingivaniveau konnte weiter nach apikal gelegt werden, um einen harmonischeren Gingivaverlauf zu erzielen (Abb. 40 und 41).
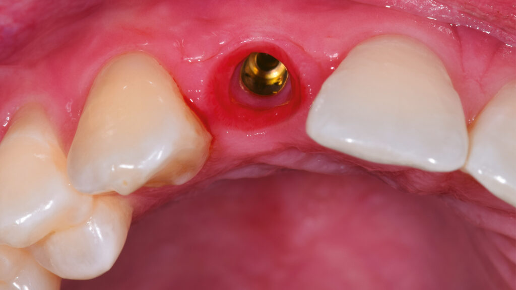
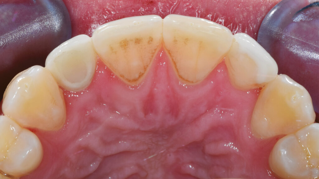
Nach der Heilung des Weichgewebes sind die arkadenförmige Kontur der Gingiva und die Papillen deutlich zu erkennen (Abb. 42 und 43). Etwa sechs Monate nach der Osseointegration und Konditionierung der Gingiva wird die Situation mit dem Intraoralscanner erfasst, um mit der Herstellung der implantatprothetischen Versorgung fortzufahren. Nach dem Aufschrauben des Scanbodys auf das Implantat erfolgt der Scanvorgang (Abb. 44). Intraoralscanner gehören zu den aufregendsten neuen Technologien in der Zahnmedizin. Die digitale Abformung bietet dem Patienten deutlich mehr Komfort. Zudem werden klinische Abläufe vereinfacht und die Kommunikation mit dem Zahntechniker verbessert. Im nächsten Schritt werden die STL-Dateien für den Modelldruck aufbereitet (Abb. 45). Vor dem Scannen der gedruckten Modelle muss das Modellanalog regio 12 eingesetzt werden. Das Modell mit abnehmbarer Gingivamaske ist für die Aufnahme des Modellanalogs durch eine Öffnung vorbereitet und besitzt im unteren Bereich des Ausschnittes eine Art Verriegelungsmechanismus (Abb. 46). Dies gewährleistet einen sicheren Presspassung und eine korrekte, automatisch zentrierte Einschubposition (Abb. 47).
Neue Prinzipien, neue Vorteile
Ein abgewinkelter Schraubenkanal (Angulated Screw Channel, ASC) bietet die Möglichkeit, den Schraubenzugang innerhalb eines Radius von 360° in einem Winkel von 0° bis 25° zu positionieren. ASC-Implantatversorgungen aus Zirkonoxid mit Titanadapter und konischer Innenverbindung (Teil des ASC-Systems, Nobel Biocare) können für eine Vielzahl von Versorgungen – von der Einzelkrone bis zur fünfgliedrigen Implantatbrücke – verwendet werden. Die Abwinkelung ermöglicht verschraubte Restaurationen im ästhetisch anspruchsvollen Bereich ohne labial sichtbaren Schraubenzugangskanal. Das Angulated Screw Channel System ist für konische NP-, RP- und WP-Implantate von Nobel Biocare sowohl für die Herstellung vollanatomischer Zirkonoxid-Implantatkronen (FCZ) als auch für keramisch verblendete Versorgungen erhältlich. Das ASC-Konzept ist vollständig zementfrei. Risiken durch überschüssigen Zement sind ausgeschlossen.
On-screen Design
der Restauration
Digital gefertigte ASC-Implantatrestaurationen sind bei uns zum Standard geworden und bieten die Freiheit, Position und Angulation individuell zu gestalten. Sowohl das Emergenzprofil als auch die Kronenposition der Restauration können individuell gestaltet werden. Vorteil von DTX Studio Lab (Nobel Biocare) ist, dass durch die digitale Fertigung und die besondere Art des Scannens eine verschraubbare Zirkonoxid-Implantatkrone in idealer Form auf Basis einer vorhersagbaren Platzierung gestaltet werden kann (Abb. 48). Mit dem ASC-System kann der Schraubenzugang für maximale Stabilität auf der palatinalen Seite platziert werden (Abb. 49). Abbildung 50 zeigt das OnScreen-Design der verschraubbaren Implantatkrone mit einem Angulationswinkel von 23° und die Gestaltung der labialen Fläche, die später mit Keramik verblendet wird (Abb. 51). Dieser letzte, wichtige Arbeitsschritt, der Weg zur individuellen Ästhetik, ist und bleibt vorerst analog. So lässt sich zusammenfassen, dass wir in unserem Labor „DIGILOG” arbeiten, eine Kombination aus zwei Welten, konservativ und zukunftsorientiert. Zwei Welten, die sich gut verbinden lassen – digital und analog.
Emergenzprofil und Gestaltung des Kronenrandes
Die Gestaltung des marginalen Randes („Präparationsrand”) im bukkalen Bereich erfolgt in Absprache mit dem Zahnarzt ca. 0,2 mm subgingival (Abb. 52). Palatinal endet die Verblendkeramik supragingival, um hier die biologischen Vorteile des Zirkonoxids zu nutzen (Weichgewebekonditionierung) (Abb. 53). Vor allem im Frontzahnbereich wird das individualisierte Emergenzprofil als wichtiger Faktor für die Rekonstruktion einer zufriedenstellenden Ästhetik angesehen. Zudem werden im Frontzahnbereich mit Zirkonoxid biologisch und ästhetisch bessere Ergebnisse erzielt als mit Titan, das bei dünnem Gingiva-Biotyp durchscheinen kann (Abb. 54 und 55).
Die individuelle Formgebung der ASC-Implantatkronen ermöglicht einen reizfreien Schleimhautkontakt mit Titanadapter und konischer Innenverbindung zum Implantat (Abb. 56 und 57). Die keramische Verblendung des Zirkonoxid-Abutments erfolgt analog und ebenso detailgetreu wie beim keramischen Veneer und mit der gleichen Verblendkeramik (Lumex AC). Nach der Verblendung wird die Implantatkrone auf dem Meistermodell verschraubt und eine letzte Kontrolle der Kontaktflächen (Abb. 58 und 59), der Artikulation, der seitlichen Bewegungen und der Eckzahnführung durchgeführt. Abbildung 60 zeigt den nahtlosen Übergang der Implantatkrone zur natürlichen Gingiva. Eine Überkonturierung könnte zu einer apikalen Verschiebung führen. Eine polar_eyes-Aufnahme macht das Innere der Krone und die Details besser sichtbar (Abb. 61).
Ergebnis ist eine ästhetisch hochwertig verblendete Implantatkrone auf einem individuellen Zirkonoxidgerüst mit Titanadapter. Die mesiale Ansicht zeigt das Emergenzprofil und eine vertikale Achsneigung, die quasi von inzisal zur Implantatmitte verläuft. Der subgingivale Anteil tritt schlank aus dem Implantat aus und unterstützt mit einem konvexen Übergang zur Implantatkrone das Niveau der Gingiva (Abb. 62). Die Abutmentbasis aus Titan sorgt für eine präzise Passung, die gut kontrollierbar ist. Abbildung 63 zeigt die verschiedenen Komponenten der Implantatrestauration: Titanadapter, eine Omnigrip-Schraube und Omnigrip-Schraubendreher sowie die Vollkeramikkrone.
Eingliederung der Implantatkrone
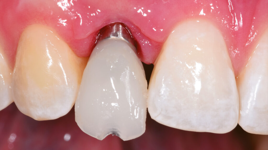
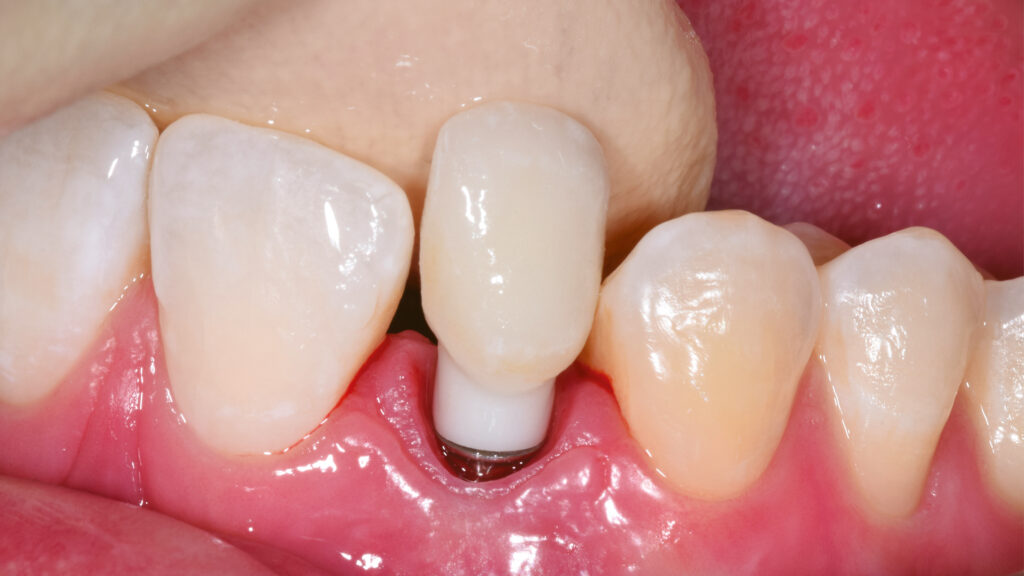
Nach einigen Monaten war das periimplantäre Weichgewebe endgültig stabilisiert. Es zeigte sich noch eine leichte Narbenbildung am Gingivazenit. Nach vorsichtigem Ausdrehen der provisorischen TempShell-Krone offenbart sich eine gut ausgebildete Weichgewebsarchitektur. Die Gewebedicke an der Implantationsstelle ist vergleichbar mit der Situation am zu kopierenden linken lateralen Schneidezahn (Abb. 64). Die Zirkonoxidkrone mit Titanadapter wird definitiv mit dem Implantat verschraubt. Durch die detaillierte digitale Vorbereitung sind oft nur kleine Korrekturen notwendig. Meist können die Restaurationen ohne Einprobe eingegliedert werden. Die biokompatiblen Anteile der Implantatkrone (Titanadapter) und die subgingivalen Anteile der Implantatkrone gewährleisten eine optimale Anlagerung der Gingiva (Abb. 65). Der spaltfreie Sitz der Versorgung auf dem Implantat wird röntgenologisch kontrolliert.
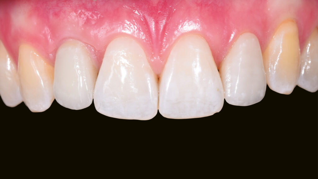
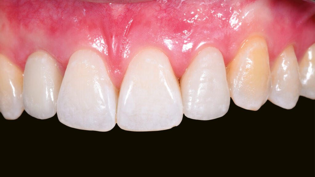
Abschließend kann der Schraubenkanal mit Teflonband und Komposit verschlossen und die statische und dynamische Okklusion überprüft werden. Bei der Eingliederung einer Frontzahnimplantatkrone kommt es vor allem auf eine ästhetische Integration an. Neben der weißen Ästhetik ist die rote Ästhetik mit der Ausformung des Emergenzprofils und der Harmonie des Gingivaverlaufs wichtig. Die Restauration fügt sich ästhetisch gut in die Zahnreihe ein (Abb. 66 bis 68). Das Zusammenspiel der dentalen und gingivalen Umgebung sowie der Lippen mit der prothetischen Versorgung ergibt ein harmonisches Gesamtbild (Abb. 69). Einige Monate nach dem Einsetzen der Implantatkrone hat sich die Gingiva sichtbar gut erholt (Abb. 70).
Fazit
Der digitale Workflow in Zahnmedizin und Zahntechnik ist mehr als nur ein Hype. Einmal verstanden und richtig implementiert, kann die Patientenversorgung optimiert werden. Grundsätzlich sollten digitale Werkzeuge im Vergleich zu herkömmlichen Techniken eine höhere Effizienz, eine verbesserte vorhersagbare Präzision und einen geringeren Zeitaufwand sowie ein hohes Maß an ästhetischen Ergebnissen bieten. Individueller Zahnersatz ist kein Mysterium mehr, sondern Lebensqualität. Um dieses hohe Maß an Zahnästhetik zu erreichen, bleibt der künstlerische Teil einer solchen prothetischen Lösung erhalten und wird bisher analog oder teilweise analog sein. Es ist eine Frage des digitalen Handwerks, eine Restauration am Bildschirm zu entwerfen.
Zahnmedizin und Zahntechnik erleben einen Paradigmenwechsel in einer Ära neuer digitaler Technologien (Software, 3D-Drucker, CAM-Fräsmaschinen usw.). Zahnärzte und Zahntechniker benötigen daher neue Kompetenzen. Gleichzeitig gibt es eine Reihe konstanter Faktoren, die ihre Bedeutung nicht verloren haben. Die Werkzeuge haben sich verändert, aber die bewährten Grundkenntnisse und Richtlinien bleiben die Kernaussagen in der Implantologie, Prothetik und Zahntechnik. Mit der Software DTX Studio ist die Zahntechnik kein reines Handwerk, sondern wird immer mehr zu einem prothetischen Beruf als Teil der Zahnmedizin.
Kontakt
Dental Team bv
Neerstraat 167
B-3980 Tessenderlo
Tel. +32 (0)13 67 04 80
www.dentalteam.be
Fachbeitrag
Weitere Beiträge zum Thema






































































