Fachbeitrag
Ästhetik
25.03.22
Der Zahn der Zeit
Implantatprothetische Reproduktion eines alten Zahns im Frontzahnbereich
Analyse, Ästhetik, Einzelkrone, Farbanalyse, Farbkorrektur, Farbnahme, Fotografie, Implantatprothetik, Internal-Live-Staining, Kreuzpolarisation, Metallkeramik
Im Laufe der Jahre verändern nicht nur wir uns und passen uns an unsere Umwelt an, auch unsere Zähne durchlaufen solche Phasen. In dem vorliegenden Beitrag konzentrieren sich die Autoren auf die Rekonstruktion eines alten Frontzahns. Dieser war verlorengegangen und musste implantatprothetisch ersetzt werden. Hilfreich waren dabei die verbliebenen Nachbarzähne, die wertvolle Informationen lieferten. Dabei ist es wichtig, die relevanten Merkmale zu identifizieren und auf die Restauration zu übertragen.
Klinische Phase
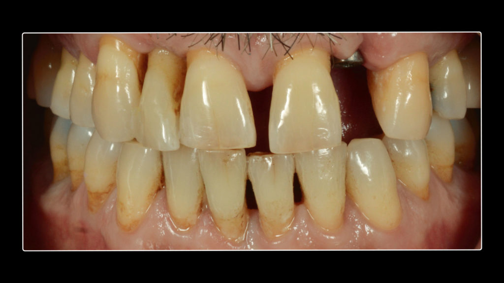
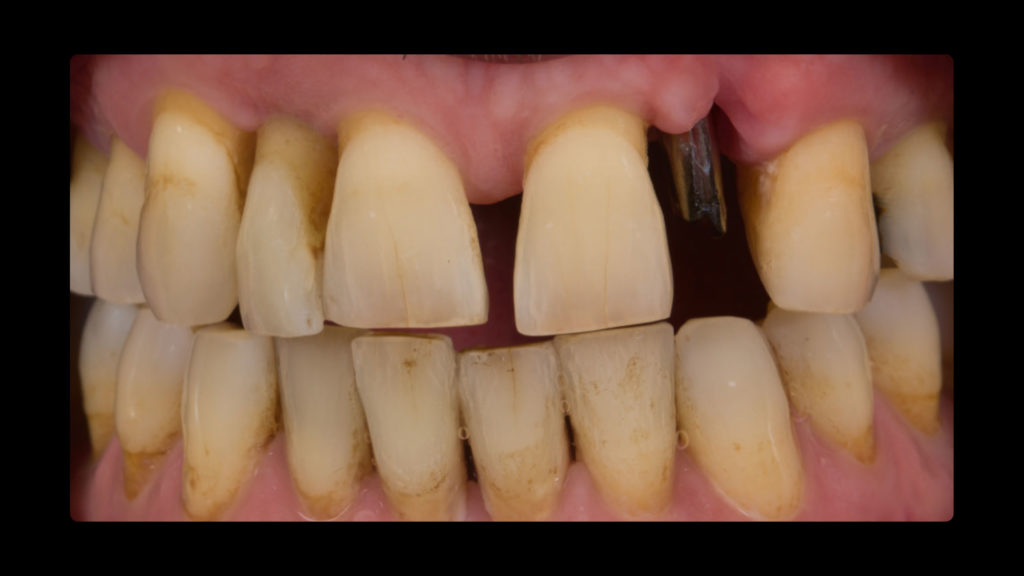
Bei dem Patienten handelte es sich um einen 49-jährigen Mann, Raucher (mehr als eine Packung pro Tag), mit einer Parodontalerkrankung, die vor drei Jahren diagnostiziert und behandelt worden war. Er wurde wegen des plötzlichen Verlusts seines Zahns 25 in der Klinik vorstellig. Im Rahmen der Untersuchung wurde zudem ein Mobilitätsgrad 3 an Zahn 22, aber auch an Zahn 12 konstatiert. Um den fehlenden Zahn 25 zu ersetzen, wurde ein Implantat in Betracht gezogen. Im Verlauf der weiteren klinischen Untersuchung wurden harte und weiche Konkremente und drei Amalgamfüllungen festgestellt. Ein näheres Screening und die Sondierung ergaben, dass weder Parodontaltaschen noch eine aktive Parodontalerkrankung vorlagen. Der Patient wurde über seine Situation informiert und eine Panoramaröntgenaufnahme angefertigt (siehe Abb. 1). Um zusätzlich zu prüfen, ob eine Implantation risikofrei durchführbar wäre und wie es um die Prognose bestellt sein würde, war auch eine DVT indiziert. Zudem wurde der Patient über die Risiken des Rauchens und die damit verbundenen möglichen Komplikationen sowie den Status der Parodontalanamnese aufgeklärt. Die Panoramaröntgenaufnahme zeigt die Merkmale einer älteren parodontalen Vorerkrankung. Die Alveole des Zahns 22 wies keinen Kontakt zum Knochen und Zahn 12 nur noch Knochen um den Apex herum auf (Abb. 1). Bei der Auswertung der DVT-Aufnahme wurde hinsichtlich der Länge und Breite ein gutes Knochenangebot für eine Implantation festgestellt, sodass der Zahn 22 extrahiert und in dieser Region implantiert werden konnte. Es wurde daher beschlossen, neben dem Zahn 25 – wegen dessen Verlusts der Patient die Praxis ursprünglich konsultiert hatte – auch den Zahn 22 implantatprothetisch zu rekonstruieren. Die prothetische Herausforderung im ästhetisch sichtbaren Bereich ist der Grund dafür, in diesem Artikel lediglich die Versorgung des Implantats in regio 22 zu beschreiben. Inseriert werden sollte dort ein Sweden & Martina Premium One-Implantat mit einem Durchmesser von 4,25 und einer Länge von 11,5 mm. Für ein bestmögliches Implantationsergebnis wurde das Implantat sofort nach der Extraktion des hochmobilen und als nicht erhaltungswürdig eingestuften Zahns 22 inseriert. Die Vorteile der Sofortimplantation wurden erstmals von Prof. Dr. Willi Schulte von der Universität Tübingen beschrieben. Der verbliebene Raum zwischen der Extraktionsalveole und dem Implantat wurde mit einer anorganischen porcinen Knochenmineral-Matrix (MinerOss XP, Camlog) mit dem Volumen 0,5 aufgefüllt. In der Abbildung 2 ist die Situation nach Insertion des Schweden & Martina Premium One-Implantats dargestellt. Nach vier Monaten Einheilzeit waren die Gewebe bereit und der Patient konnte definitiv versorgt werden.
Laborphase
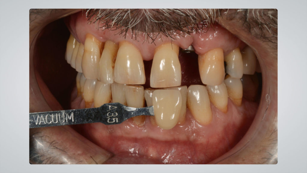
Nach dem Einheilen des Implantats fertigte der behandelnde Zahnarzt Aufnahmen der Situation mit einer DSLR-Kamera an und nahm Abformungen. In dieser Sitzung fotografierte er die Zähne auch mit vorgehaltenen Farbmusterzähnen und sendete alle Fotografien sowie die Abformungen an das Labor. Im Labor wurden die Fotos und Abformungen sowie die darin enthaltenen Informationen benötigt, um eine möglichst „unsichtbare“ implantatprothetische Versorgung herstellen zu können.
Zunächst wurde das Oberkieferfrontzahnsegment mitsamt dem darin befindlichen Abformpfosten und aufgeschraubten Laboranalog ausgegossen. Nach dem Aushärten des Gipsmodells konnte ein Abutment aufgeschraubt und ein diagnostisches Wax-up modelliert werden. Das Emergenzprofil wurde dabei entsprechend des gewünschten Austrittsprofils am Gipsmodell konturiert (Abb. 3a). Daraufhin wurde entsprechend dieser Konturierung eine abnehmbare Zahnfleischmaske angefertigt. Allerdings zeigte sich, dass sich das Wax-up mit aufgesetzter weichbleibender Zahnfleischmaske nicht mehr exakt reponieren ließ (Abb. 3b und c). Aus diesem Grund musste die abnehmbare Zahnfleischmaske entsprechend der zuvor festgelegten Kontur des Austrittsprofils beschliffen werden, sodass sich das Wax-up wieder exakt zurücksetzen ließ (Abb. 4a bis c). Eine abnehmbare Zahnfleischmaske ist hilfreich, um den exakten Sitz des Implantataufbaus auf dem Implantats überprüfen zu können.
Nach der Adaption und dem Zurücksetzen des Wax-ups konnte die Situation mit einem Silikonschlüssel gesichert werden. Dadurch erhält man eine anatomische Schablone der angestrebten Restauration (Abb. 5a). Diese Schablone lässt sich beliebig beschneiden, sodass sie – je nach Bedarf – für jedwede Zwischenschritte und zur Kontrolle der finalen Dimensionen jederzeit herangezogen werden kann. So zum Beispiel, um die Platzverhältnisse der Gerüststruktur überprüfen zu können. Zunächst nutzten wir den Schlüssel, um das Wax-up gezielt für das Gerüst reduzieren zu können. So schafften wir ideale Platzverhältnisse für die spätere Keramikverblendung (Abb. 5b und c).
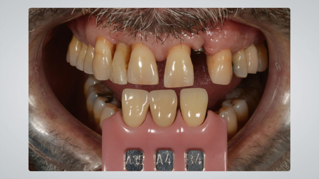
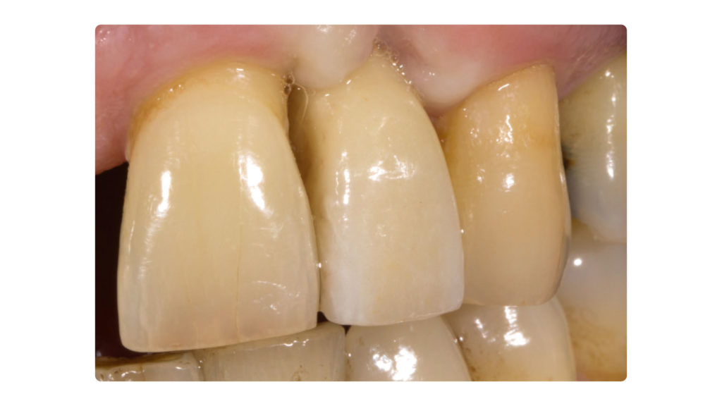
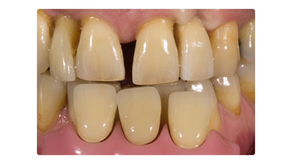
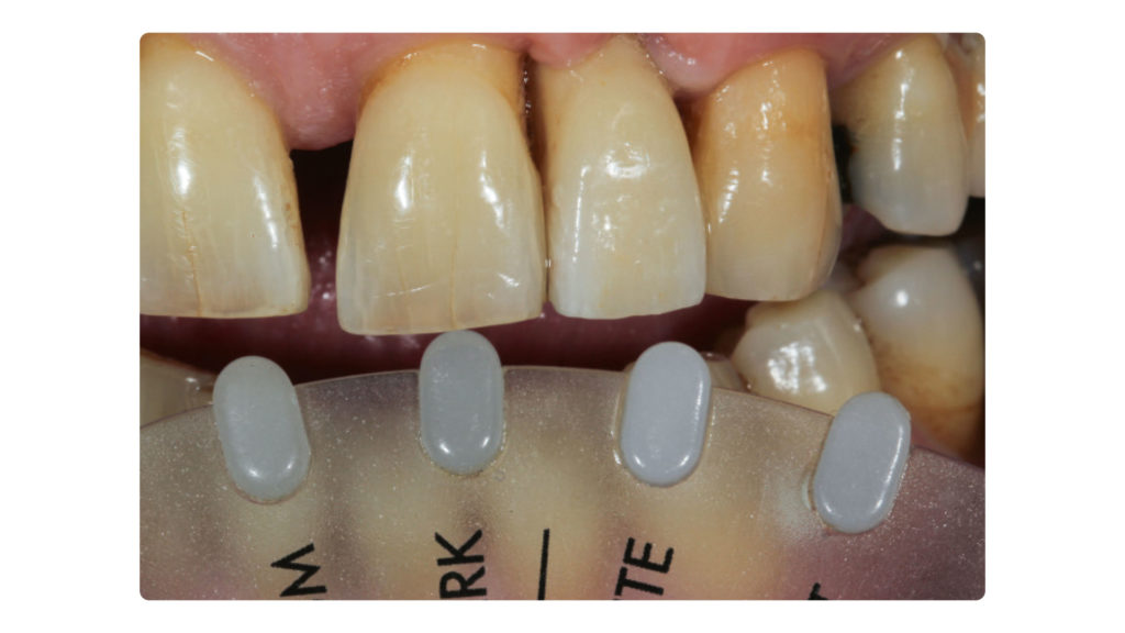
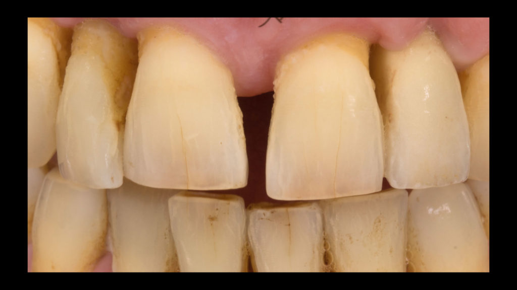
Die Implantatkrone sollte metallkeramisch gelöst werden, was wiederum bedeutete, dass für die entsprechend designte Implantatkrone ein CAD/CAM-gestützt gefertigtes Abutment (vorgefertigt, Schweden & Martina) mit einer Metallkeramik (Ceramco 3, Dentsply Sirona) verblendet werden musste. Es wurde eine zementierte Lösung gewählt, weshalb es keinen Schraubenkanal gab und somit keine Probleme mit dessen Austritt gelöst werden mussten. In den Abbildungen 6a und 6b sind die DSLR-Aufnahmen des Behandlers dargestellt. Die Referenzfarbmuster vermitteln die ungefähre Zahnfarbe, aber nicht alle Informationen und Merkmale, die für die Rekonstruktion des natürlichen Zahns vonnöten sind. Indem man die Belichtung reduziert und den Kontrast sowie die Brillanz in einem Bildbearbeitungsprogramm wie Lightroom (Adobe) erhöht, lässt sich die Histoanatomie des natürlichen Zahns besser darstellen (Abb. 6c).
Begutachtung und Analyse der verbliebenen Zähne
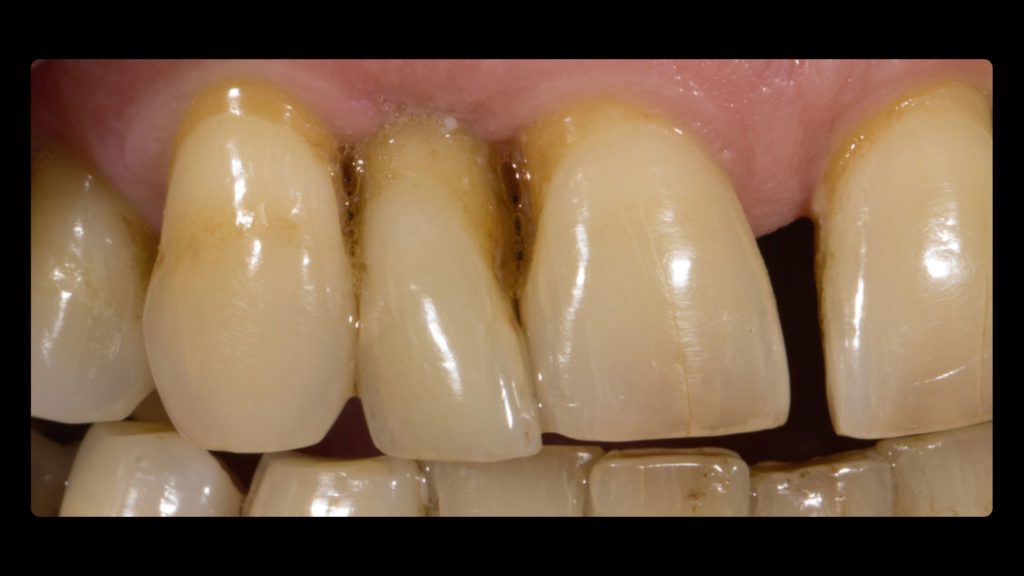
Auf Wunsch des Patienten sollte der zu rekonstruierende laterale Schneidezahn die Charakteristika des mittleren Inzisiven 21, also seines direkten Nachbarzahns aufweisen. Normalerweise hätte man sich an dem noch verbliebenen lateralen Schneidezahn im ersten Quadranten orientiert, doch leider war auch dessen Zustand nicht ideal, sodass auch dieser in Bälde rekonstruiert werden sollte (Abb. 7a und b). Bei der eingehenden Betrachtung des Zahns 21 stellten wir zwar eine gewisse Ähnlichkeit mit den vom Zahnarzt gewählten Farbmusterzähnen fest, erkannten aber auch relevante Unterschiede. Aus diesem Grund starteten wir die laborseitige Analyse mit polarisierten Aufnahmen (Abb. 8a und b). Da der Patient 49 Jahre alt war, suchten wir gezielt nach charakteristischen Merkmalen natürlicher älterer Zähne und und wurden auch fündig.
Merkmale älterer Zähne
- Das Dentin junger Zähne ist von gelblich-weißer Farbe mit hohem Helligkeitswert (Value). Mit dem Alter nimmt die Helligkeit ab und das Dentin verfärbt sich dunkel-gelblich-braun.
- Die Transluzenz der Schmelzschicht nimmt zu, weshalb Dentin- und Schmelz-Dentin-Grenze stärker durchscheinen und eine chromatischere Farbwirkung entsteht. Gleichzeitig ändert sich auch der Opaleszenz-Effekt – von einer eher hellblauen, opakeren Farbe eines jungen Zahns hin zu einer dunkelroten Farbe mit hoher Transluzenz.
- Diese Farbveränderung führt bei „alten“ Zähnen zu einem dunkleren Farbton und einem geringeren Helligkeitswert, gleichzeitig aber auch zu einer Erhöhung der Farbsättigung.
- Das inzisale Drittel ist abradiert, wodurch das visuelle Merkmal eines „alten“ Zahns zusätzlich verstärkt wird. Besonders deutlich wird das in diesem Fall anhand des Gipsmodells (Abb. 9a).
- Durch Abrasion und Attrition wird die Oberfläche inzisal abgeschmirgelt. Zusätzlich entstehen Mikrorisse, aber auch Vertiefungen (Abb. 9b und c), in denen sich Verfärbungen ablagern und Konkremente anlagern – es entstehen charakteristische Verfärbungen. Und auch in den interproximalen Bereichen treten Verfärbungen stärker hervor, da sie sich schwieriger reinigen lassen.
- In einigen Fällen kann exponiertes, besonders opakes Dentin im abradierten Inzisalbereich oder an abradierten Höckern beobachtet werden.
Keramische Schichtung
Nachdem die Farbanalyse abgeschlossen war, wählten wir die für die keramische Verblendung erforderlichen Massen gemäß der Referenztabelle des Ceramco 3-Systems aus. So wurde gewährleistet, dass wir das, was wir analysiert haben und nachahmen wollten, auch mit den entsprechenden Massen nachahmen konnten (Abb. 10). Den Anfang machte das Opakern des Metallgerüsts. Dafür kam der Ceramco 3-Pastenopaker zum Einsatz, auf den noch zusätzlich der systemimmanente Pulveropaker gestreut wurde. Dies sorgte für eine rauere Oberfläche, an der sich das Licht diffus brechen konnte. Nach dem Brand stellte sich das Ergebnis wie in Abbildung 11 zu sehen dar. Der Behandler hatte als Grundzahnfarbe die A3,5 und für den freiliegenden Wurzelbereich B4 ausgewählt. Dementsprechend wurden die Massen gewählt (Abb. 12 und 13). Darüber hinaus verwendeten wir, wie aus den Fotografien, die mit Kreuzpolfilter angefertigt worden waren, ersichtlich (vgl. Abb. 8a und b), im inzisalen Drittel eine Dentin-Masse mit geringerem Helligkeitswert (Abb. 14 und 15).
Mit einer dünnen Schicht der 1:1:1-Mischung aus den Mamelon-Massen Gelb-Orange und Rot-Orange sowie der Modifier-Masse Pink Dentin wurde eine höhere Farbsättigung erreicht (Abb. 16). Um die Transluzenz zu den Flanken hin zu verstärken, wurden die Schmelzmassen Natural Enamel Light und Clear im Verhältnis 1:1 angemischt und mesial und distal aufgetragen (Abb. 17). Der Raum zwischen diesen Schmelzleisten wurde labial, aber auch palatinal mit einer 1:1:1-Mischung aus Light, Super Clear Glaze und Violet Glaze gefüllt (Abb. 18 und 19). Ein Streifen des Dentin Modifiers Violett sorgt im mittleren Drittel für einen Lichtabsorptionseffekt (Abb. 20a und b). Nach dem ersten Brand kann man gut erkennen, ob uns der Grundkörper gelungen ist (Abb. 21) oder ob wir den inneren Aufbau intensivieren, reduzieren oder andere Änderungen vornehmen müssen.
Vor dem internen Bemalen (Internal Live-Staining) wurde die Krone etwas in Form geschliffen und dann mit Glasurflüssigkeit befeuchtet. An dieser Stelle zogen wir nochmals die DSLR-Aufnahmen der Ausgangssituation und Nachbarzähne zurate, um relevante Charakteristika erkennen und entsprechend reproduzieren zu können (Abb. 22a bis c). Wir starteten das Internal Staining mit dem Anlegen von Sprüngen, die ausgehend von der Inzisalkante mit Weiß und Creme in Richtung Zentrum der Krone angelegt wurden (Abb. 23 bis 26). Vor dem Fixierbrand wurden die Malfarben noch schnell außerhalb des Ofenraums getrocknet. So wird sichergestellt, dass die Malfarben beim Brennen nicht verlaufen und sich die Position der aufgebrachten Effekte nicht verschiebt (Abb. 27). Da der zu rekonstruierende Zahn für diesen Fall unterschiedliche innere und äußere Merkmale aufwies und dennoch eine in sich geschlossene Einheit ergeben sollte, stellte sich die Schichtung als Herausforderung dar. Die Lösung bildete eine Kombination aus der Internal-Live-Staining-Technik von Meister Hitoshi Aoshima mit Universal Stain and Glaze (Dentsply Sirona) und einer dezidierten Schichtung – und zwar im tatsächlichen Wortsinn in unterschiedlichen Schichten. Denn damit die Technik des Internal Stainings richtig zur Geltung kommt, ist es wichtig, eine korrekte, farbgebende Basis aus Dentin und Schmelz zu schaffen. So, wie wir es in Form des Grundkörpers getan hatten.
Auf den mittels Internal Staining charakterisierten Grundkörper wurde nun mit Dentin Opaque B4 der freiliegende Wurzelbereich akzentuiert. Im zervikalen und mittleren Drittel wurde eine 1:1-Mischung aus Dentin A3,5 und Enamel Clear aufgetragen und ebenfalls mit einer 1:1-Mischung Enamel Light und Enamel Clear das inzisale Drittel vervollständigt. Enamel Extra Light, das an den Rändern aufgetragen wurde, schloss die Schichtung ab (Abb. 28a und b). In den Abbildungen 28c ist der gebrannte Grundkörper der Implantatkrone zu sehen. Dieser Zwischenschritt war somit abgeschlossen. Würden wir Begriffe aus dem Wortschatz eines Visagisten verwenden, dann könnte man diesen Schritt als Foundation-Auftrag bezeichnen. Auf diese Grundierung, die aber auch schon Farbinformationen und Charakteristika aus der Tiefe beinhaltet, wird nun das Make-up aufgetragen.
Der abschließende Auftrag von Verblendkeramik ist eher kosmetischer Natur und kann als Make-up betrachtet werden. Dieser Schritt ist dennoch sehr wertvoll und hilft uns, einen Tiefeneffekt zu erzielen (die in der darunterliegenden Schicht befindlichen Informationen an die Oberfläche zu bringen) und der Restauration seine endgültige Form zu geben (Abb. 29a bis 29c). Entsprechend unserer Beobachtungen und Analysen, der Patientendaten, der Morphologie und der Textur, die wir am Arbeitsmodell ablesen konnten, waren wir nun in der Lage, all diese Merkmale gezielt kopieren und auf unsere Restauration anwenden zu können.
Rohbrandeinprobe
Bei der Rohbrandeinprobe stellten wir einen leichten Helligkeitsunterschied zwischen der Restauration und unserem Referenzzahn 21 fest. Am auffälligsten zeigte sich diese Abweichung insbesondere am inzisalen Drittel und an den Rändern (Abb. 30a bis c). Zur Dokumentation der Farbabweichung und dezidierten Farbauswahl wurden daher im Rahmen der Rohbrandeinprobe nochmals Fotos angefertigt. In diesem Fall kamen die Farben B4, A4 und D2 den natürlichen Zähnen am nächsten. Und auch der zuvor gewählte Schmelz musste aufgrund der falschen Helligkeit und Transluzenz verändert und die Effekte im inzisalen Drittel verstärkt werden (Abb. 31a bis c). Insbesondere die Leuchtkraft und Transluzenz, aber auch die Transluzenz und Sättigung des rot-orangen Opaleszenz-Effekts im Bereich der Mamelons des natürlichen Zahnschmelzes sowie die „gefürchteten“ Schmelzrisse wussten zu beeindrucken und galt es bei der Rekonstruktion zu beachten.
Der Einfluss der Schmelz- und Glasur-Massen
Um zu verdeutlichen, welchen Einfluss Schmelz-, aber auch Glasur-Massen sowie deren Dicke auf die Gesamtfarbwirkung der künstlich hergestellten Zähne haben, werden hier Proben unterschiedlicher Schmelz- und Glasur-Massen, aber auch deren Wechselwirkung dargestellt. Dazu wurden Muster unserer gängigen Schmelz- und Glasur-Massen hergestellt, anhand derer sich der Helligkeitsunterschied je nach Art der Glasur und die Transluzenz in Abhängigkeit von deren Dicke vergleichen ließen. Die Probekörper sind alle an ihrer dicksten Stelle etwa 2,3 mm und an ihrer dünnsten Stelle 0,8 mm stark (Abb. 32). In der Abbildung 33a sind Schmelz-Massen-Proben von links nach rechts nach abfallender Helligkeit sortiert. Ganz links quasi reinweiß, dann von Plättchen zu Plättchen mit abnehmender Helligkeit (Abb. 33b).
Fotografiert man nun Probeplättchen aus Glasur-Masse entsprechend der wie zuvor beschrieben angeordneten Schmelz-Massen-Probekörper, so zeigt sich von links nach rechts ein progressiver Anstieg der Transluzenz um 25 Prozent – links eingetrübt, rechts glasklar. Unter Berücksichtigung der Dicke im dünnsten Bereich der Probe (0,8 mm) und den Erfahrungen, die bei der Herstellung derartiger Zähne bisher gesammelt werden konnten, ist eine Glasur-Masse, wie sie in der Mitte dargestellt ist, für unseren Fall ausreichend (Abb. 34a und b). Getreu der Referenztabelle des Keramikherstellers hatten wir für diesen Fall die Natural Light-Glasur verwendet. Allerdings hatte sich, wie bereits erwähnt, gezeigt, dass es sich dabei nicht um die richtige Glasur handelt. Daher kam entsprechend der Erkenntnisse, die wir aus den Probekörpern gewonnen hatten, die Medium-Glasur zum Einsatz, da sie eine geringere Leuchtkraft aufweist. Zudem galt es, die Lichtdurchlässigkeit zu erhöhen, indem wir dieser Glasur-Masse 50 Prozent einer transparenten Glasur, der Natural Super Clear-Glasur, hinzufügten.
In der Abbildung 35 ist ein Muster aus einer Metalllegierung dargestellt, wie es bei uns zur Herstellung eines individuellen Farbschlüssels für Metallkeramiken (Vita VMK) herangezogen wird. Mit derartigen Farbschlüsseln soll die Farbwirkung metallkeramischer Restauration ennachgeahmt und bewertet werden. Vergleicht man nun derartige VMK-Farbschlüssel, die mit demselben Dentin, jedoch mit verschiedenen Schmelztypen des Ceramco 3-Systems geschichtet wurden (v.li.: White, Extra Light, Light, Medium und Dark), so wird ein deutlicher Unterschied bezüglich der Leuchtkraft des Inzisalbereichs deutlich (Abb. 36a und b). Die Abbildung 36a wurde mit einem Polarisationsfilter, die Abbildung 36b ohne Filter aufgenommen.
Farbkorrektur und Fertigstellung
Um die Implantatkrone farblich korrigieren/exakt an den Nachbarzahn adaptieren zu können, wurde diese zunächst mit Schleifkörpern vestibulär reduziert. Dabei galt es, den „falschen“ Schmelz zu entfernen, um den neuen Schmelz mit der richtigen Leuchtkraft und Transluzenz auftragen zu können. Gleichzeitig konnten weitere, interne Merkmale hinzugefügt werden, die bei der Rohbrandeinprobe identifiziert und nun mit der Internal-Live-Staining-Technik reproduziert werden konnten. Im nächsten Schritt gaben wir der Implantatkrone mit Malfarben, aber auch Schichtkeramikmassen ihre endgültige Charakteristik, Farbe, Form und Textur. Dabei achteten wir auch auf kleinste Details, die notwendig sind, damit der künstliche Zahn seinen natürlichen Nachbarzähnen so ähnlich wie möglich sein wird. Mit Universal Stain and Glaze (Dentsply Sirona) wurden daher zunächst auf dem reduzierten Kronenkörper die internen Charakteristika der natürlichen Nachbarzähne imitiert. Konkret kam eine 1:1-Mischung aus Cooper und Pink zum Einsatz, mit der der mittlere Inzisalbereich intensiviert wurde. Mesial und distal wurde zudem noch eine 1:1-Mischung aus den Inzisalfarben i1 und i2 aufgetragen (Abb. 37a bis c). Mit der Ceramco 3-Schichtkeramik wurden nun die Farbwirkung und die Formgebung der Krone abgeschlossen. Dafür wurde zunächst auf das zervikale Drittel eine 1:1-Mischung aus A4 Dentin und Super Clear Enamel aufgetragen. Im inzisalen, mesialen und distalen Drittel kam eine Mischung aus violettem Schmelz, blauem Dentinmodifikator und superklarem Schmelz im Verhältnis 1:1:2 zum Einsatz. Im mittleren Inzisalbereich fügten wir eine 1:1-Mischung aus violettem natürlichem Schmelz sowie superklarem Schmelz und einen Streifen Mamelon Rot-Orange hinzu und bedeckten das gesamte inzisale Drittel mit einer 1:1-Mischung aus den sogenannten Naturschmelzmassen Medium und Extra Light (Abb. 38a bis c). Mit einem mechanischen Finish wurde die Textur, die Oberflächenstruktur und der Glanzgrad sowie der Natur nachempfundene Abnutzungsspuren erarbeitet. Damit war die Herstellung der Restauration abgeschlossen (Abb. 39a bis c).
Einsetztermin
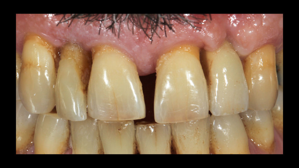
Am Tag des Einsetztermins wurden abschließend nochmals DSLR-Aufnahmen angefertigt und ausgewertet. In den Abbildung 40a und b ist die Situation mit Kreuzpolarisation festgehalte. Dadurch, dass diese Art von Fotografie störende Reflexionen an der Zahnoberfläche eliminiert, kann die Grundzahnfarbwirkung besser bewertet werden. Das Foto mit erhöhtem Kontrast verdeutlicht die internen Details und lässt einen guten Vergleich der transparenten Schmelzanteile zu (Abb. 41). Den Abschluss bildete das normale Foto der Situation mit definitiv eingegliederter Implantatkrone in regio 22. Es zeigte sich, dass die Integration sehr gut gelungen war, aber auch, wie schwierig es ist, eine nicht sichtbare Krone zu kreieren – auch wenn sie noch so klein und unscheinbar zu sein scheint (Abb. 42). Leider zeigte sich am Tag des Einsetzens anhand der Konkremente an den Zahnhälsen, dass die Zahnpflege des Patienten noch verbessert werden kann.
Schlussfolgerung
Farbeffekte, Flecken, Risse, Textur, Form, Grundzahnfarbe, Helligkeit, Sättigung, Transparenz des Schmelzes und Leuchtkraft. All diese Dinge sind uns vertraut, weil es unsere tägliche Arbeit ist, sie zu identifizieren und nachzuahmen. Doch all das Genannte ändert sich, wenn unsere Zähne altern. Das Alter ist einer der wichtigsten Indikatoren, die bei der Entscheidung, welches Material und welche Technik für eine Restauration dieser Art verwendet werden soll, berücksichtigt werden muss. Daher ist die Kommunikation mit dem Behandler, das Anfertigen von Notizen, Testkörpern, Fotos und digitalen Protokollen eine große Hilfe, wenn es darum geht, all die für die naturgetreue Restauration nötigen Aspekte zu sammeln. Allerdings darf die Erfahrung des Zahntechnikers nicht außer Acht gelassen werden. All das zusammen dient dem Arbeitsprotokoll, mit dessen Hilfe sich das komplexe Puzzle, das ein natürlicher Zahn darstellt, zusammensetzen lässt.
| Produkt | Name | Firma |
| Implantat | Sweden & Martina Premium One | Sweden & Martina |
| Knochenmineral-Matrix | MinerOss XP | Camlog |
| Kreuzpolfilter | polar_eyes | Emulation S. Hein |
| Pastenmalfarben | Universal Stain and Glaze | Dentsply Sirona |
| Pastenopaker | Ceramco 3 | Dentsply Sirona |
| Pulveropaker | Ceramco 3 | Dentsply Sirona |
| Verblendkeramik | Ceramco 3 | Dentsply Sirona |
Fachbeitrag
Ästhetik
25.03.22
Der Zahn der Zeit
Implantatprothetische Reproduktion eines alten Zahns im Frontzahnbereich
Analyse, Ästhetik, Einzelkrone, Farbanalyse, Farbkorrektur, Farbnahme, Fotografie, Implantatprothetik, Internal-Live-Staining, Kreuzpolarisation, Metallkeramik

Weitere Beiträge zum Thema













































































