Fachbeitrag

Implantatprothetik

28.03.22

Der Punkt, an dem sich Ästhetik und Stabilität treffen

Ein Bericht über neue Konzepte im Bereich vollanatomischer Restaurationen

3D-Druck, Ästhetik, Brenntemperatur, CAD/CAM, Implantatprothetik, Individualisierung, Langzeitstabilität, Liquid Ceramic, Monolithisch, Verblendkeramik, Vollkeramik, Zirkonoxid

Dimitrii Kisel

Vermehrt hört und liest man vom vollanatomischen „Hype“. Auslöser dafür war sicherlich die Einführung der Lithiumdisilikat-Glaskeramiken und Zirkonoxide und dazugehöriger Verarbeitungsmethoden. Allerdings sind Glaskeramiken bezüglich ihrer Indikationen limitiert, da deren Festigkeitsreserven für wirklich weitspannige Brücken nicht ausreichen. Festigkeitsreserven, die einige Zirkonoxidgenerationen dagegen aufweisen. Ein Nachteil der höheren Festigkeit ist jedoch, dass die Trans­luzenz und somit das ästhetische Potenzial des Materials abnehmen. Doch es gibt neue Materialien und Konzepte, die dem Werkstoff Zirkonoxid und den daraus gefertigten, monolithischen Versorgungen richtiggebend Leben einhauchen. Denn Dank der neuen Materialen und Technologien können Zahnärzte und -techniker in ganz anderen Dimensionen denken. Dimension, die zum einen der Festigkeit, und zum anderen der Ästhetik zugutekommen. Somit sind heute monolithische Zirkonoxidrestaurationen möglich, die eine „Verblendkeramikschichtstärke“ von 0,1 bis zum 0,3 mm aufweisen und trotzdem sehr ästhetisch aussehen. Wie ein solches Konzept aussehen kann, demonstriert der Autor dieses Beitrags, Dimitrii Kisel.

Einleitende Gedanken
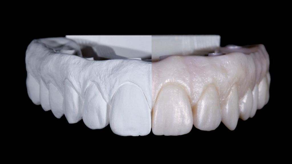
Die Entwicklung neuer Materialien und digitaler Technologien sorgte dafür, dass uns in der restaurativen Prothetik neue Wege und Möglichkeiten geboten werden, um stabilen, schönen und vernünftigen Zahnersatz anfertigen zu können. Mit vernünftig ist gemeint, dass wir keinen Verlust an Stabilität hinnehmen müssen, um das geforderte Maß an Ästhetik zu erreichen. Heutzutage finden immer mehr vollkeramische Restaurationen Anwendung – weil sie zweifellos viele ästhetische Vorteile aufweisen und weil sie sich, wie im Fall von Zirkonoxid, aufgrund ihrer hohen Stabilität sehr gut als Gerüstmaterial eignen (Abb. 1).


Zirkonoxide der 1., 2. und 3. Generation weisen vielfältige Eigenschaften auf, wobei hinsichtlich der lichtoptischen und mechanischen Eigenschaften klar unterschieden werden muss [1]:

  1. Zirkonoxide der 2. weisen eine gute, die der 3. Generation sogar eine sehr gute Licht­durchlässigkeit auf, weshalb man damit eine schöne Farb- und Tiefenwirkung erzielt, was wiederum ausschlaggebend für die naturnahe optische Wirkung der daraus gefertigten Restauration ist.
  2. Zirkonoxide weisen eine hohe Biokompatibilität auf, sodass das Gewebe kaum bis gar nicht damit reagieren und kaum allergische Reaktionen auftreten.
  3. Zirkonoxide weisen eine hohe bis sehr hohe Stabilität auf, wobei sich für weitspannigen, implantatgestützten Zahnersatz aufgrund der dafür geforderten Festigkeit Zirkonoxide der 1. und 2. Generation empfehlen.

Wenn es um die prothetische Versorgung eines komplexen Implantatfalls geht, bei dem aufgrund der höheren Kaukräfte [2] und eventuell anderer vorherrschender, individueller Besonderheiten (etwa die nicht optimale Positionierung der/des Implantate/Implantats) die Stabilität der Restauration gefährdet sein kann oder sogar finanzielle Fragen ins Spiel kommen, dann landet man zwangsläufig bei der Überlegung, den Zahnersatz vollanatomisch zu gestalten.
Das heißt aber nicht, dass derartige Lösungen zwangsläufig künstlich oder unästhetisch aussehen sollten. In diesem Artikel wird daher ein Weg aufgezeigt, der einen guten Kompromiss zwischen einer schönen Versorgung und einem hohen Maß an Stabilität und Zuverlässigkeit bildet.
Exemplarisch wurde eine Oberkieferschauarbeit nach dem bekannten All-on-6-Konzept ausgewählt. Anhand dieser Versorgungsart soll gezeigt werden, wie sich der angedeutete, neue Weg darstellt. Mit derartigen Restaurationen müssen viele anatomische Merkmale wie die Rekonstruktion der roten und weißen Gewebe berücksichtigt und beherrscht werden. Zudem ist man hinsichtlich einer individuellen Zahnstellung und Zahnfarbe etwas freier in seiner Gestaltung. Und trotz oder gerade deshalb stellt es immer eine große Herausforderung dar, solche Brücken zu konstruieren und fertigzustellen und dabei die hohen ästhetischen Ansprüche zu erfüllen und gleichzeitig die geforderte Langlebigkeit zu erfüllen.


Anfertigung der Schauarbeit
Um bei derart „großen“ Versorgungen, wie einer All-on-6-Implantatbrücke, kontrollierbar zu einem korrekten Ergebnis zu kommen, ist es obligatorisch, die gesamte Anfertigung in zwei, oder wenn nötig, sogar auf drei Phasen aufzuteilen. In der ersten Phase, die nach dem Scanvorgang beginnt, wird die Zahnreihe konstruiert. In diesem Schritt ist nur wichtig, die richtige Position und Proportion der Zähne auszuwählen.
Zu diesem Zeitpunkt geht es noch nicht um ein perfektes Design, sondern die Entwicklung eines Prototypen. Im Zahnfleischmodul der Software kann man nun die Gingiva konstruieren. Dabei gestaltet man nur allgemeine, funktionelle Merkmale, wie etwa die basale Breite und legt die Position sowie Höhe der Papillen in den Zahnzwischenräumen fest. Sobald alles „grob“ konstruiert ist (Abb. 2), erfolgt die CAD/CAM-gestützte Herstellung eines Prototyps. Dafür stehen uns im Labor derzeit zwei Möglichkeiten zur Verfügung:

  1. Drucken des Prototyps mithilfe eines 3-D-Druckers (Abb. 3): Obwohl es sich dabei um eine wirtschaftlich kostengünstige Methode handelt, lässt der gedruckte Prototyp im Vergleich zum gefrästen keine richtige Vorstellung hinsichtlich des definitiven, dann gefrästen Zahnersatzes zu.
  2. Fräsen des Prototyps: Ist die bessere Methode, da die definitive Versorgung auf die gleiche Art und Weise gefertigt wird. Daher sind wir mit dem gefrästen Prototypen in der Lage, eventuelle Probleme des Herstellungsprozesses frühzeitig zu erkennen und zu beseitigen.
    Zudem kann der gefräste Prototyp der Brücke zu einem Langzeitprovisorium umgewandelt werden.
    Nach der Prüfung, ob das Objekt tatsächlich unseren Vorstellungen entspricht, können weitere Korrekturen vorgenommen werden. Erst wenn dies geschehen ist, geht es an die perfekte Modellation des Zahnfleischs und die Verfeinerung der definitiven Form der Zähne. Allerdings sollte einem bewusst sein, dass eine frisch aus dem Zirkonoxid-Weißling herausgefräste Versorgung immer noch einer gewissen manuellen Nachbearbeitung bedarf (siehe Abb. 4).
    Bei der frästechnischen Umsetzung der CAD/CAM-gestützt gefertigten Modellation kommt es zwangsläufig dazu, dass unter sich gehende Stellen entstehen. Diese sind auf die begrenzte Neigung des Fräsers und des Fräsrohlings (Freiheitsgrade der Fräsmaschine) zurückzuführen und so gut wie nicht zu vermeiden (vgl.  Abb. 4).
    Für eine manuelle Nachbearbeitung eignen sich alle scharfen Instrumente, zum Beispiel ein Le Cron sowie ein Skalpell, oder ein Sortiment rotierender Instrumente, wie es etwa in einem Set von Amann Girrbach zusammengestellt und in der Ausgabe 8/20 der dental dialogue von Ztm. Joachim Maier vorgestellt wurde [3]. Alle wichtigen Übergänge, tiefe Stellen und Zwischenräume können und sollten vor dem Dichtsintern unbedingt nachgearbeitet werden (Abb. 4). Schließlich erfolgt vor dem Sinterprozess eine Bemalung mit Einfärbeflüssigkeiten (Abb. 5).

Vorveredelung des Zirkonoxidgerüsts
Für die vollanatomische Konstruktion wurde in diesem Fall Lava Plus Zirkonoxid von 3M verwendet, da für derartige Restaurationen empfohlen wird, auf ein Zirkonoxid mit einer Festigkeit von 1100 bis 1200 MPa zurück zu greifen. Die zum Lava Zirkonoxid dazugehörigen Einfärbeflüssigkeiten werden in den Zwischenräumen, auf dem Zahnfleischanteil und der Okklusalfläche aufgetragen. Je nach Bedarf, kann im Inzisalbereich noch Violett und Grau aufgetragen werden, um damit mehr Tiefenwirkung zu generieren. Eine Gegenüberstellung des ausgearbeiteten Weißlings und der individuell kolorierten und dichtgesinterten Zirkonoxidbrücke ist in der Abbildung 6 dargestellt. Nach dem Dichtsintern stellt sich das kolorierte Gerüst wie den Abbildungen 7 und 8 zu entnehmen ist, dar.
Für die oberflächliche Individualisierung der dichtgesinterten Zirkonoxidstruktur kommen in meinem Fall die innovativen MiYO Massen von Jensen Dental zum Einsatz. Dabei handelt es sich nicht um Malfarben im klassischen Sinn, sondern um flüssige Keramikmassen, mit der sich selbst bei minimalen Platzverhältnissen/Schichtdicken natürlich wirkende Effekte erzielen lassen. Das Set besteht aus vielfältigen Massen, mit denen sich interessante Effekte erzielen und Details der natürlichen Zähne und des Zahnfleischs sehr gut nachahmen lassen:

  1. Trans (A,B,C,D, Smoke, Cobalt und so weiter)
  2. Halo (beispielsweise Spring und Autumn)
  3. Color (Snow, Fissure und viele mehr.)
  4. Mamelon (Pumpkin, Coral und Wheat)
  5. Structure (Window, Ghost, Blush, Enamel und Ice)

Veredelung des Zirkonoxidgerüsts
Nach dem Sintern des ausgearbeiteten und partiell eingefärbten Zirkonoxidgerüsts wird es final mit der Turbine und Diamantschleifkörpern für die Individualisierung mit dem MiYO Liquid Ceramic System vorbereitet. Bevor die MiYO-Massen aufgetragen werden, wird die Oberfläche mit Gummipolierern bearbeitet und mit Glanzstrahlperlen abgestrahlt, sodass man ein perfekt vorbereitetes Zirkonoxidgerüst erhält (Abb. 9).
Nun erfolgt die Applikation der Farben. Um ein besseres Ergebnis zu bekommen, wird empfohlen, mehrere Brände durchzuführen. Zuerst werden an den zu rekonstruierenden Zähnen und am Weichgewebe Zonen festgelegt und diese durch Auftragen der entsprechenden Massen des MiYO-Systems reproduziert. In diesem Fall wurden für den ersten Brand die Massen Trans A, B, Straw, Smoke, Slate und Clementine benutzt (Abb. 10). Um einen schönen Verlauf der Helligkeit der Zähne von der Kiefermitte zu den Seitenzahnbereichen zu erhalten, kann der Helligkeitswert der Massen mit Lumin oder Lumin Plus erhöht, beziehungsweise gesteuert werden.
Wenn man natürliche Zähne einmal detailliert betrachtet, dann wird sofort deutlich, dass nicht alle Zähne das gleiche Chroma und die gleiche Helligkeit aufweisen (Abb. 11). Zudem bilden natürliche Zähne aufgrund ihrer Stellung und vielfältigen Farbintensitäten sowie Transparenzen unterschiedliche Schattenzonen in den Zahnzwischenräumen. Solche Effekte können durch Mischen von orangen mit grauen Farben reproduziert werden.
Im MiYO-System kann die Farbintensität der Grundfarben durch Zumischen von Smoke oder Slate reduziert werden. Dies ist insbesondere für die Bereiche wichtig, in denen man niedrige Helligkeitswerte finden kann. Dies wären zum Beispiel die Eckzähne, die Interapproximalräume oder Inzisalsäume.
Der Auftrag der Grundfarbe, das Setzen von Akzenten und die Imitation transparenter Zonen erfolgen in mehr oder weniger als drei Bränden. Das Weichgewebe kann mit den MiYO pink-Massen reproduziert werden. Dazu zählen eine Vielzahl an Farben, wie etwa Trans Raspberry, Trans Cooper oder Trans Midnight.
Zusätzlich können noch weitere MiYO pink-Massen aufgetragen werden:

  • Flamingo
  • Crimson
  • Plum
  • Merlot
  • Sorbet
  • Salmon
  • Sable
  • Thistle

Eine lebendige Gingiva ergibt sich, wenn man verschiedene Farben und deren Mischungen nebeneinander benutzt. Das gängige Schichtschema ist nicht schwierig. Im vorliegenden Fall wurden die in der Abbildung 12 dargestellten Massen verwendet. Im letzten Schritt der MiYO-Verblendung bietet es sich an, die Struktur-Massen zu verwenden. Im System stehen fünf verschiedene Structure-Massen zur Verfügung. Dabei handelt es sich um spezielle Massen, die dazu dienen, die Ober­fläche mit einer Textur zu versehen, aber auch kleine Formkorrekturen vorzunehmen. In dem MiYO-Set sind folgende Structure-Massen enthalten:

  • Structure Ice –
  • bläulich transparent
  • Structure Ghost –
  • weißlich transluzent
  • Structure Window –
  • transparente Masse
  • Structure Enamel –
  • klassische Schneidemasse 59
  • Structure Blush –
  • leicht rötlich
  • opaleszierende Masse

Die Reproduktion des künstlichen Zahnfleischs erfordert viel Aufmerksamkeit und etwas Mühe. Und falls das Ergebnis die hohen Ansprüche nicht erfüllen sollte, so ist es möglich, notwendige Korrekturen ohne Farb- und Qualitätsverlust bei niedrigeren Temperaturen vorzunehmen.

Der riesige Vorteil von MiYO ist, dass alle Brände bei geringen Temperaturen von etwa 720 bis 730° C durchgeführt werden können.
Für die Gestaltung einer lebendig und natürlich wirkenden Oberfläche der Gingiva kamen ebenfalls Structure-Massen zum Einsatz:

  • Structure Orchid
  • Structure Rouge
  • Structure Frost

Um natürlich wirkende Übergänge der Weichgewebe nachbilden zu können, werden die MiYO Structure-Massen schichtweise nebeneinander aufgetragen. Mit den standfesten MiYO Structure-Massen, die eher pastös sind, kann man zudem die gewünschte Oberfläche mit dem Pinsel frei formen und sogar Oberflächendetails wie Stippelungen et cetera einbringen (Abb. 13 und 14). Aufgrund ihrer Standfestigkeit und Struktur lassen sie sich gut verarbeiten.

Mit diesen Massen erhalten wir einen großen Spielraum, was unsere anatomischen und kunsthandwerklichen Fähigkeiten betrifft (Abb. 15 bis 18). Zudem kann aufgrund der Brenntemperaturen der MiYO Structure-Massen auch noch während der Individualisierung des Zahnfleischs die Struktur der Zähne ergänzt werden und beispielsweise mit der Masse Halo Spring ein Halo Effekt am Inzisalsaum betont werden.


Finish und Fazit
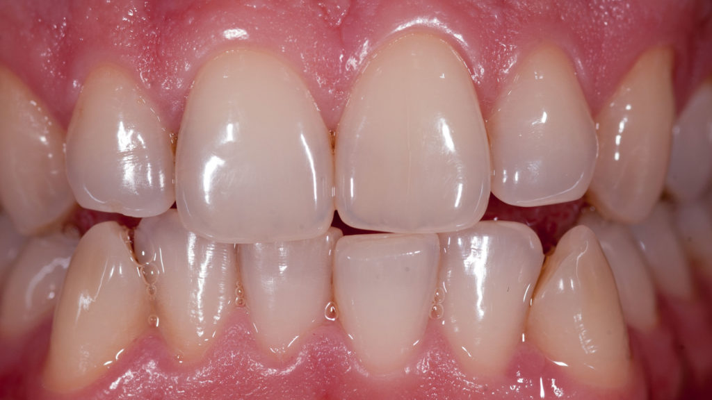
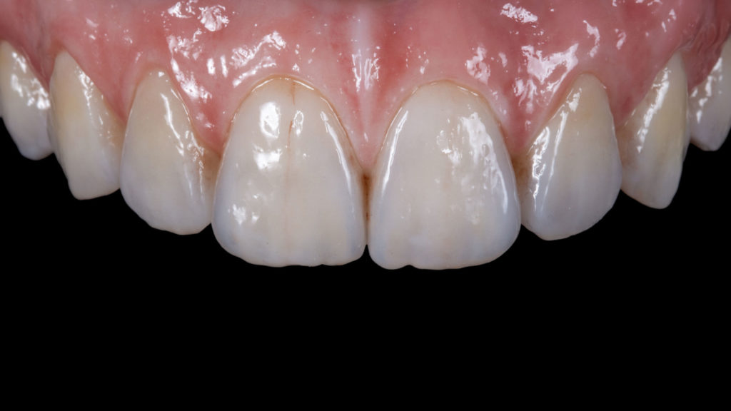
Sobald alle Brände abgeschlossen sind, folgt eine manuelle Politur. Die fertig gebrannte All-on-6-Brücke wird dafür mit Bürstchen und einer adäquaten Diamantpaste poliert. Heraus kommt dabei ein Ergebnis, wie es in den Abbildungen 19 bis 21 dargestellt ist.
Mit dem beschriebenen Vorgehen und den verwendeten Materialien können heutzutage relativ einfach und mühelos Ergebnisse wie das hier dargestellte erzielt werden – sogar ganz und gar ohne klassische Schichtkeramik. Auch wenn es sich nur um eine Demoarbeit handelt, so verdeutlicht sie doch ganz gut, dass sich Restaurationen wie diese (die im zahntechnischen Alltag doch des Öfteren gefragt sind) auf die vorgestellte Art und Weise sehr smart herstellen lassen. Die neuen Materialien und Technologien bieten uns dafür die entsprechenden Wege. Unser Ziel ist es, Zahnersatz zu schaffen, der einen guten Kompromiss zwischen Stabilität und Ästhetik bietet. Mit dem vorgestellten Konzept und den genannten Materialien ist dies gut, sicher und vor allem reproduzierbar möglich.

ProduktNameFirma
3-D-Drucker (SLA)Formlabs Form 2Formlabs
CAD-SoftwareDentalDesigner 20193Shape
CAM-SoftwareDentalCAMvhf
CNC-MaschineK5vhf
Liquid Ceramic SystemMiYOJensen Dental
ImplantataufbauteileMedentika R-Serie, ​Titanbasis 2. GenerationMedentika
ImplantatsystemZimmer Tapered Screw-Vent, 3,5 mm DurchmesserZimmer Biomet Dental
KeramikofenAustromat 3001Dekema
Modellkunststoffpicopolypicodent
ZirkonoxidLava Plus3M
Produktliste

Literatur

  • [1] Stawarczyk B: Werkstoffkunde-Update: Zirkonoxid und seine Generationen – von verblendet bis monolithisch. Zirkonoxid-Keramik: Gegenwart und Zukunft. 29. Januar 2018. https://www.quintessenz-news.de/werkstoffkunde-update-zirkonoxid-und-seine-generationen-von-verblendet-bis-monolithisch/
  • [2] Tokmakidis K, Wessing B, Papoulia K, Spiekermann H: Belastungsverteilung und Belastungskonzepte auf Zähnen und Implantaten. Z Zahnärztl Implantol 2009;25: 44–53
  • [3] Maier Joachim: Erfolgreiches Konzept bei Bruxismus. dental dialogue 2020;8: 48–57

Vita

Dimitrii Kisel studierte von 2006 bis 2009 in Kirov/Russland, an der „Medical School“ Zahntechnik. Nach seinem Abschluss arbeitete er knapp drei Jahre als Zahntechniker an der Zahnklinik „Blik“ in Kirov. 2011 trat er an der Dentalklinik „Imesa“ in Moskau eine Stelle an. Im Jahr 2015 zog er nach Deutschland, um im Dentallabor „Krenz-Dental“ in Frankfurt am Main zu arbeiten. Im Juni 2016 trat er eine Stelle im Praxislabor des „Palti Dentalzentrums“ in Baden-Baden an, wo er bis heute als Zahntechniker arbeitet. 2016 wurde er Mitglied der „Russia Smile Style Association“ und 2018 der Zahntechniker-Gilde „Damaged Goods“. Seit 2019 bereitet er sich an der „Bildungsakademie Karlsruhe“ auf seine Meisterprüfung vor. Dimitrii Kisel hat umfangreiche CAD/CAM-Kenntnisse (3Shape, Cerec und somit auch inLab), ist spezialisiert auf vollkeramische aber auch metallkeramische Restaurationen jeglicher Art, Implantatprothetik, Kunststofftechnik und Totalprothetik. Bisher hat er in den DTG Magazinen (USA) 18 und 19 veröffentlicht. Thema: „Maskierung eines verfärbten Zahns mit einem Keramikveneer auf feuerfestem Stumpf“.

Advertorial

Erweitertes Portfolio mit Hybrid-Workflow

CADdent hat seine Fertigungsverfahren um die hochpräzise HYBRID-Fertigung ergänzt. Diese innovative Fertigungsmethode vereint die Vorteile des LaserMelting-Verfahrens mit der CNC-Technik, und ist somit ideal für teleskopierende sowie okklusal direkt verschraubte Arbeiten geeignet. Besonderes Augenmerk liegt bei der inhouse Weiterentwicklung des Fertigungsverfahren auf der Präzision, so kann CADdent nun eine durchgängige Vestibulärfläche mit einer Dicke von nur 0,4 - 0,5 mm realisieren. Zudem ist CADdent das einzige Fertigungszentrum in Deutschland, das die Bearbeitung von Titan im Hybrid-Verfahren anbietet.


Premium

Heftarchiv

Abonnenten mit einem Login auf unserer Website erhalten Zugriff auf unseren stetig wachsenden Pool ganzer Ausgaben der dental dialogue.


Anzeige

Fortbildung

Hochwertige Fortbildung

Auf www.teamwork-campus.de finden Sie Anmeldemöglichkeiten zu aktuellen Fortbildungen.


Bookshop

Fachbücher bestellen

Sie finden unser gesamtes Angebot an Fachbüchern für Zahntechnik und Zahnmedizin im Online-Shop.

Fachbeitrag

Implantatprothetik

28.03.22

Der Punkt, an dem sich Ästhetik und Stabilität treffen

Ein Bericht über neue Konzepte im Bereich vollanatomischer Restaurationen

3D-Druck, Ästhetik, Brenntemperatur, CAD/CAM, Implantatprothetik, Individualisierung, Langzeitstabilität, Liquid Ceramic, Monolithisch, Verblendkeramik, Vollkeramik, Zirkonoxid

Dimitrii Kisel

Vita

Dimitrii Kisel studierte von 2006 bis 2009 in Kirov/Russland, an der „Medical School“ Zahntechnik. Nach seinem Abschluss arbeitete er knapp drei Jahre als Zahntechniker an der Zahnklinik „Blik“ in Kirov. 2011 trat er an der Dentalklinik „Imesa“ in Moskau eine Stelle an. Im Jahr 2015 zog er nach Deutschland, um im Dentallabor „Krenz-Dental“ in Frankfurt am Main zu arbeiten. Im Juni 2016 trat er eine Stelle im Praxislabor des „Palti Dentalzentrums“ in Baden-Baden an, wo er bis heute als Zahntechniker arbeitet. 2016 wurde er Mitglied der „Russia Smile Style Association“ und 2018 der Zahntechniker-Gilde „Damaged Goods“. Seit 2019 bereitet er sich an der „Bildungsakademie Karlsruhe“ auf seine Meisterprüfung vor. Dimitrii Kisel hat umfangreiche CAD/CAM-Kenntnisse (3Shape, Cerec und somit auch inLab), ist spezialisiert auf vollkeramische aber auch metallkeramische Restaurationen jeglicher Art, Implantatprothetik, Kunststofftechnik und Totalprothetik. Bisher hat er in den DTG Magazinen (USA) 18 und 19 veröffentlicht. Thema: „Maskierung eines verfärbten Zahns mit einem Keramikveneer auf feuerfestem Stumpf“.

Weitere Beiträge zum Thema

Fall

Implantatprothetik

21.08.25

Hybrid-Zirkonoxid im ­Hybrid-Workflow

Dieser Erfahrungsbericht zeigt, wie durch die enge Abstimmung zwischen Zahnarzt, CAD-Designer und Zahntechniker eine anspruchsvolle implantatprothetische Gesamtrestauration realisiert wurde.

Fachbeitrag

Implantatprothetik

20.06.25

Restaurationen mit modernen Nanohybridharzen

Im Fokus des Artikels stehen Restaurationen aus Nanohybridharzen mit hohem Keramikfüllstoffgehalt. Anhand eines Fallbeispiels zeigt der Autor u. a. die Verarbeitungsschritte ...